手麻、口角歪斜,身体突然没知觉,对此很多人会认为是中风了。殊不知,这可能是患了脑胶质瘤的预警信号。胶质瘤呈浸润性生长,除了头痛、恶心、视物不清外,一旦脑组织受肿瘤的压迫、浸润、破坏,还可能表现出神经中枢受损伤的症状,比如感觉障碍、运动障碍、语言障碍、精神障碍等。
出现癫痫、偏瘫等症状 要警惕胶质瘤
岛叶位于脑深面,毗邻重要的血管及内囊丘脑等重要的神经结构,在优势半球恰好位于语言区的深面,因此与运动感觉及语言功能相关联。同时岛叶与边缘系统关系密切,调节人体内脏感觉运动及高级认知功能。
文献报道原发岛叶区肿瘤几乎均为胶质瘤,以低级别胶质瘤多见,包括低级別星形细胞瘤、少突胶质细胞瘤等,间变型星形细胞瘤和胶质母细胞瘤少见。岛叶胶质瘤的患病率并不低,在最近的流行病学调查中,岛叶胶质瘤占脑低级别胶质瘤中的25%,占高级别胶质瘤中的10%。
岛叶区肿瘤位置隐匿,临床症状轻微,几乎均以癲痫为首发症状,当肿瘤较大侵犯邻近额颞叶及基底节区时,可伴有肢体轻瘫或言语功能障碍等。其早期发现的病例少见,可能与脑岛皮层无明显特定功能、外侧裂的代偿及病变进展缓慢有关,一旦发现多已体积较大仅行放疗或化疗难以奏效,因此尽可能的广泛切除肿瘤才是基本的治疗手段。如何进行岛叶胶质瘤较大程度地手术切除,较大限度地保护岛叶所涉及的功能,是神经外科医生努力的方向。
上海蓝十字脑科医院神经外科李士其教授提醒,此类疾病早期除了偶尔头痛外几乎没有明显症状,容易被忽视,只有当肿瘤长到一定程度,压迫到周围组织或血管,才会引起肢体运动或言语等功能障碍。多数患者惧怕手术,存在侥幸心理,实际上肿瘤会逐渐增大,且该部位的肿瘤还会向深部侵犯,破坏基底节区一些重要功能,或向颞叶内侧、颞叶和额叶底部发展,最终发展为一个复杂的、侵犯多部位的肿瘤。因此,岛叶肿瘤应在发现后尽早手术。

▲突发偏瘫,要警惕脑胶质瘤
下肢偏瘫、手麻,口角麻 五旬男不幸罹患脑胶质瘤
江苏刘先生是一位工艺美术大师,在事业上取得了不俗的成绩,家庭幸福美满,然而最近身体却出现异常。他于十天前无诱因突感双脚无法走路,手麻,口角麻,口角向右侧偏,到当地医院检查,头颅CT提示: 颅脑占位可能,辗转多家医院均未能明确。随后刘先生一家到上海寻求进一步治疗,慕名转入上海蓝十字脑科医院。
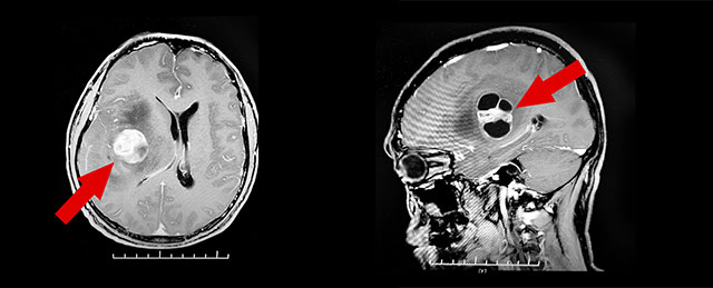
PET/CT检查,结果显示:右侧额顶叶岛叶见团片混合密度灶。头颅增强磁共振检查发现,右侧颞岛叶团块状囊实样占位,病灶大小约2.9*2.5*3.9cm,毗邻右侧侧脑室及第三脑室受压变窄、左侧偏移。结合病灶影像特点,考虑为胶质瘤可能性大。

▲右侧颞岛叶团块状囊实样占位
胶质瘤是最常见的原发性颅内肿瘤,占颅脑肿瘤的40%~50%。李士其教授指出,功能区胶质瘤治疗要以保护功能的前提下,手术较大程度切除肿瘤为首选,然后在手术的基础上,针对分子病理结果进行个体化的化疗及放疗,也可以理解为靶向治疗,目前很多患者都可以从中受益。
这其中第一步是手术,手术治疗的目的不仅在于切除肿瘤,可以解除肿瘤及水肿对脑组织的压迫,改善颅内高压和由于物理压迫造成的神经功能下降;还能明确病变性质、级别和恶性程度的高低、肿瘤属于哪种类型,这些都有助于医生分析预后、评估放化疗的敏感性以及制定放化疗及靶向治疗方案等。只有明确病理性质及分子病理,才能有针对性的开展下一步治疗,为后续治疗打下良好基础。

▲ 李士其教授正在为患者手术
但该胶质瘤与正常脑组织边界不清,尤其像这样体积较大的肿瘤,手术极有可能损伤邻近的重要功能中枢神经系统和血管,风险很大。更加棘手的是,肿瘤位置特殊,位于右侧岛叶,深部为基底节区,基底节区是组成锥体外系的主要结构,也是人体运动和感觉神经传导束最集中的部位。“如果手术中基底节区一旦受损,会造成对侧肢体完全瘫痪。”李士其教授解释说。
李士其教授团队认真评估患者术前病情,经过术前讨论,制定了详细的手术方案及术后的诊疗计划。在明确告知相关风险并充分征得家属同意后,7月4日,李士其教授团队为患者进行了颞岛叶病损切除手术。
李士其教授在吴治群博士及医护团队协助下,凭借精湛的手术技巧和丰富的临床经验对肿瘤进行精细剥离。在充分保护重要神经组织结构及血管的前提下,经过5个多小时终于顺利切除肿瘤。术后病理提示为胶质瘤。
目前患者恢复良好,手麻、口角麻症状消失,上肢、双手活动利索,下肢活动明显改善。
尽早发现胶质瘤,尽早积极进行治疗
李士其教授提醒,在临床上,大多数胶质瘤是因为头痛、癫痫被发现的,而且到医院就诊的患者往往不会直接去检查胶质瘤,而是在检查头痛等症状的过程中才发现了胶质瘤。因此,当出现经久不愈的头痛时,不要以为只是普通的感冒;当突然出现视物不清,对症用眼药水也不好转时,也要及时到神经外科就诊;如果肿瘤发生在语言功能区,可出现说话结巴、说话不流利等语言障碍;肿瘤长在了运动功能区或长在其他部位压迫到了运动功能区,就会出现偏瘫、肢体不协调等运动功能障碍。
胶质瘤大多缓慢发病,自出现症状至就诊时间一般为数周至数月,少数可达数年。恶性程度高的和后颅窝肿瘤病史较短,较良性的或位于静区的肿瘤病史较长。
上一篇:没有了 下一篇:野火烧不尽,春风吹又生——罹患脑胶质瘤怎么办
学术氛围热烈,思想碰撞不断。3月14日,第十三届芝加哥大学医学...【详细】


