颅脑病变都是大问题?头颅MRI检查提示鞍区病变,是不是就是脑肿瘤?不,也可能只是囊肿!
近日,16岁的女孩玲玲因头晕在当地医院查出颅内占位,考虑可能是肿瘤,一家人被“吓”得不轻。
所幸,经上海蓝十字脑科医院神经外科李士其教授团队诊断,确诊为垂体囊肿,只是虚惊一场,最终手术顺利切除。
神经外科专家解析:垂体囊肿并不是肿瘤
Rathke囊肿也被称作垂体囊肿,是发生在鞍区的一种常见良性病变,可以理解为“一包水”。胚胎时期在垂体中间残留着狭小的间隙,正常情况下,这个间隙在出生后便退化消失了。如果这个间隙持续存在,周围细胞分泌的囊液进入间隙内,使间隙逐渐扩大,就会形成我们所说的垂体囊肿。
“很多时候,垂体囊肿并不会出现明显的症状,可能仅是在检查其他疾病时被偶然发现。”李士其教授介绍,当囊肿明显压迫周围组织如视神经及垂体时,患者可能出现头痛、头晕、视力下降以及垂体功能减退所导致的精神萎靡、疲乏无力、多饮多尿、月经不调、性欲减退等症状,其中以头痛症状较为多见。
症状性的鞍内Rathke囊肿患者应采取手术治疗,鼻蝶窦入路显微神经外科手术是治疗Rathke囊肿常用的方法。

头晕当地就医疑患肿瘤,赴蓝十字求治
正在读初中的玲玲从半个月前无明显诱因下出现持续性头晕症状,刚开始玲玲父母以为女儿可能是学习太累导致。
但是,一连三天都持续头晕,引起家长警觉,玲玲父母不敢耽搁,迅速带孩子到当地医院求医。医院查头颅CT提示鞍区占位,医生考虑是肿瘤。
一听到肿瘤,玲玲一家被“吓”得不轻。为谨慎起见并寻求进一步诊断,父母带着玲玲慕名来到上海蓝十字脑科医院,求医于李士其教授团队。

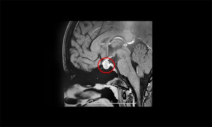
鞍区MRI显示:蝶鞍稍扩大,鞍底骨质下陷。鞍内垂体上缘稍膨隆,腺垂体中央见一枚类椭圆形异常信号,大小约1.6×1.2×0.9cm。
T1WI上呈高信号、T2WI呈低信号,轮廓光整,静脉团注Gd-DTPA后多个时相动态增强。冠状位T1WI见早期病变强化不明显,与明显强化垂体对比明显,病变相对于正常腺体呈低信号,境界变清晰。
垂体柄缩短,未见偏移;视交叉轻度上抬;双侧海绵窦未见异常改变;所示蝶窦局部黏膜增厚。
专家会诊排除肿瘤,成功手术返校
“你颅内的病变应该不是脑肿瘤。”李士其教授、潘仁龙主任、吴治群博士会诊认为患者颅内病变更符合Rathke囊肿的诊断。
当听到女儿颅内不是肿瘤时,玲玲父母悬着的心也暂时放下了。既然不是脑肿瘤,那要不要手术?
对于患者和家属的疑问,李士其教授回答:“垂体、垂体柄及视交叉受压明显,建议手术切除。手术可以采取神经内镜经鼻蝶入路微创切除,手术较安全、恢复较快。”

▲ 李士其教授正在为患者手术
10月17日,在征得家属同意后,李士其教授在其医护团队协助下顺利为患者实施“经鼻蝶鞍区占位性病变切除术”,将病变切除。
术后,玲玲情况良好,头晕症状消失,无发热、脑脊液鼻漏等术后并发症。术后病理诊断为Rathke囊肿。经过一段时间恢复,玲玲已经顺利出院,回到学校继续学业。
Rathke囊肿和颅咽管瘤很容易混淆
李士其教授提醒,颅咽管瘤和Rathke囊肿,尤其是鞍内囊性颅咽管瘤和较大的Rathke囊肿,临床上很难鉴别。两者的名称、组织起源、临床表现和影像学征象都极易混淆,容易造成误诊。
颅咽管瘤,曾因其组织学特征和发生部位有过不少名称:釉质瘤、表皮瘤、髓样癌、Rathke肿瘤和Rathke囊肿病、垂体管肿瘤、颅咽管囊肿瘤以及垂体柄肿瘤等,直到 1930 年Mclean 提出颅咽管瘤的命名方才沿用至今。
Rathke囊肿又称垂体胶样囊肿、垂体囊肿、上皮黏液囊肿、上皮样囊肿等。显然,命名上两者就有很多相似之处。
从组织来源上溯源,垂体发育自口咽膜外胚层的Rathke囊和前脑泡神经垂体芽。胚胎早期,颅咽管和Rathke囊是同时存在的。Rathke囊包括颅咽管瘤,颅咽管瘤只是Rathke囊一部分,但两者大约于胚胎11周时消失。
Rathke囊肿与颅咽管瘤的异同
颅咽管发育残留细胞发生突变而产生颅咽管瘤,因其来自口咽膜外胚层,因此易出现与骨化相关的钙化。
Rathke囊袋前壁和后壁两者之间有部分成人残留一小腔隙,该腔隙在大多数成人逐渐被上皮细胞内折所填充,但部分成人该腔隙可一直保留下来。当腔隙内分泌物增加,腔隙明显扩张时可形成Rathke囊肿。
因此颅咽管、Rathke囊都源自垂体的胚胎发育过程。颅咽管瘤的出现类似于畸胎瘤的存在,是垂体的胚胎发育残留细胞发生突变而产生的良性肿瘤。
Rathke囊肿只是Rathke囊袋前壁和后壁之间残留的腔隙,系垂体胚胎发育不完全的产物。
两者的类似之处为颅咽管瘤与Rathke囊肿均可以引起垂体功能低下、视力视野障碍。不同之处在于,大多数颅咽管瘤患者年龄轻,尤其囊性颅咽管瘤多见于儿童,肿瘤主体位于鞍上,病灶大、病情重,影响部位多,可能引起脑积水、颅内压增高;Rathke囊肿多见于成人,病灶较小,多局限于鞍区,病情较轻。
上一篇:脑健康 | 罕见“虎纹征”小脑发育不良性神经节细胞瘤 下一篇:肿瘤防治宣传周︱癌症防治 全面行动 “三级预防”要牢记
学术氛围热烈,思想碰撞不断。3月14日,第十三届芝加哥大学医学...【详细】


