颅内海绵状血管瘤又称海绵状血管畸形,可分为脑内和脑外两种类型。发生在鞍旁部位的脑外型海绵状血管瘤临床少见,虽为良性血管病变,但当其侵犯相邻重要组织并压迫神经时,可导致神经功能障碍,如头晕,视力模糊等,并持续加重,应引起足够重视。
上海蓝十字脑科医院肿瘤科(放疗)头部伽玛刀组主任陈琦介绍,海绵状血管瘤并非真性肿瘤,而是由众多薄壁血管组成的异常血管团,剖面呈海绵状或蜂窝状,故而得名。
荆楚网(湖北日报网)2020年11月1日报道,一名女子在毫无征兆的情况下喝水莫名呛咳,感觉嘴巴喉咙不受自己控制,声音也变得嘶哑。其后,她又出现头晕恶心、一侧肢体麻木的症状。家人见状十分害怕,以为她是中风(脑卒中)了,将她紧急送到医院。经详细检查,竟是脑干、小脑多发性海绵状血管瘤“作祟”。
“海绵状血管瘤因发生位置的不同,导致的临床症状和危害程度以及临床治疗方法上也有所差异。”陈琦主任着重就鞍旁海绵状血管瘤进一步讲解道,在我们的颅内,鞍旁部位是一个非常复杂的解剖学区域,位于颅底中央蝶鞍区两侧,该区域及周围有视神经、滑车神经、视交叉、颈内动脉等大量重要的神经血管结构。

▲ 鞍旁海绵状血管瘤可引起视力模糊等神经功能损害
临床上,生长于鞍旁部位的海绵状血管瘤较少见,通常由毛细血管和畸形动静脉构成,可影响周围的神经和血管结构。当它侵犯海绵窦等相邻重要结构,对神经产生压迫时,可引起头晕,视力模糊、复视甚至失明等一系列神经功能损害表现并持续加重,严重影响患者生活质量。
不耐受手术者 应评估进行放射治疗
根据《中枢神经系统海绵状血管瘤的诊断和治疗(2020)》,对于颅内脑外型海绵状血管瘤,立体定向放射外科治疗是重要治疗方法之一。当患者存在手术禁忌或不耐受手术、健康状况不稳定等情况,应评估是否采取立体定向放射治疗,如伽玛刀等手段进行治疗。
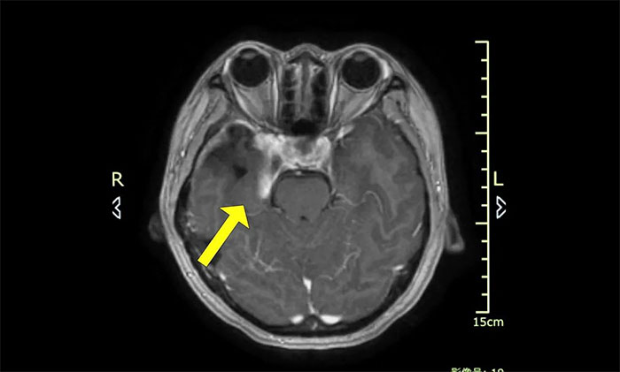
今年初医院收治了一位女性患者。该患者因突发视力模糊,头晕无法独立行走,在外院检查发现脑部右侧鞍旁肿块,手术病理诊断为海绵状血管瘤。

▲ 入院时MRI检查影像
肿瘤科(放疗)头部伽玛刀组陈琦主任完善检查并开展多学科评估讨论,其右侧鞍旁海绵状血管瘤与视神经等重要结构相邻,若不及时干预治疗,可因占位压迫进一步加重神经功能障碍,甚至导致失明。而该部位病灶的手术治疗难度高、风险大,术中可能对患者神经功能造成严重损害,应考虑采用创伤较小的伽玛刀治疗。

▲ 为患者进行伽玛刀治疗
陈琦主任团队根据患者病情,精心设计了分期治疗的靶区和治疗剂量,用伽玛射线聚焦于病灶,使病变组织凋亡并逐渐阻断血供,从而达到治疗目的。完成治疗后患者顺利出院,半年后来院复查,病灶较前明显缩小。

▲ 治疗后病灶明显缩小
陈琦主任表示,海绵状血管瘤在核磁共振成像(MRI)上有特征性的改变,随着影像检查技术的进步,颅内海绵状血管瘤的诊断也愈发快速准确。临床上,一些无症状的海绵状血管瘤就是在体检时偶然发现的。而对于已出现相应症状的患者来说,则应尽快到具备救治能力的医院就医,通过科学合理的治疗手段,可以减轻病痛,阻止病情进展,从而改善生活质量。
版权声明:部分图片源自摄图网,如有版权纠纷,请及时联系医院。一经查实,将立即删除。
上一篇:没有了 下一篇:没有了
学术氛围热烈,思想碰撞不断。3月14日,第十三届芝加哥大学医学...【详细】


