您当前的位置:主页 > 科研教学 > 专业交流 >

女子走路摔倒意外发现多发夹层动脉瘤 席刚明教授团队成功应用血流导向装置化险为夷

日期:2024-03-08 来源:上海蓝十字脑科医院 进入脑科疾病答疑区

医院公告 我院为上海市医保定点单位 如以下文章有不明之处 可以点击客服服务,一对一为您解答!

  颅内动脉瘤是一种常见的脑血管疾病,发病率高,发病速度快,致死率致残率极高。颅内复杂动脉瘤因存在治疗过程复杂、治疗并发症率高、治疗后复发率高等特点,其血管内治疗仍是巨大挑战。近年来,血流导向装置的出现,让临床医生和患者有了更多的治疗选择。近日,上海蓝十字脑科医院学术副院长、神经内科4A病区主任席刚明教授团队成功应用血流导向装置治疗一位大型复杂动脉瘤患者,目前患者已经顺利康复出院。

  走路摔倒意外发现大型复杂动脉瘤

  2月7日,农历年二十八,临近春节,年味渐浓。然而,上海的王阿姨(化名)一家却高兴不起来。原来,当天早上,王阿姨在外出时不慎摔倒,前额着地,伤口可见约3厘米长裂口,伴活动性出血,伤口周围稍肿胀,遂立即赶到附近医院就诊,索性并无大碍,给予伤口缝合三针。随后又进行头颅CT检查,示局部软组织肿胀,颅内未见明显外伤征象,但是却发现可疑动脉瘤,瞬间让一家人心里“咯噔”一下。

  进一步完善头颅CTA示:右侧椎动脉V4段动脉瘤,颅内动脉粥样硬化。这颗深藏于颅内的不定时“炸弹”,让王阿姨感到惶恐不安。为寻求进一步治疗,王阿姨一家慕名求医上海蓝十字脑科医院,收治于神经内科7B病区。7B病区殷昌凤主任详细了解病情后,立即邀请神经内科4A病区主任席刚明教授、神经内科4A病区副主任王贵平博士会诊。

  席刚明教授团队为患者进行了DSA全脑血管造影检查。DSA检查确诊:右侧椎动脉V4段大型梭形动脉瘤、串联多发动脉瘤(多发夹层动脉瘤),远端大动脉瘤的瘤颈 6mm,瘤体13 mm* 15 mm,累及右侧小脑后下动脉,属于大型复杂动脉瘤,近端小动脉瘤的直径约4mm。席刚明教授、王贵平博士会诊认为,该患者的动脉瘤有较高破裂风险,若未得到及时救治,可能导致蛛网膜下腔出血、脑干受压、脑梗死甚至死亡等一系列不良后果,手术指征明确。

  席刚明教授介绍,椎动脉夹层动脉瘤临床相对少见,年发病率为(1.0~1.5)/10万,具有高致残率和高死亡率的特点。椎动脉夹层动脉瘤在颅内动脉瘤中的占比不到3%,其破裂出血的风险明显高于其他部位的囊状动脉瘤。自然状态下约有73%的椎动脉夹层动脉瘤会出现破裂出血,约40%已破裂椎动脉夹层动脉瘤在24 h内发生再破裂出血,除出血外,引起脑梗死的几率也不小。

▲ 梭形动脉瘤

  椎动脉夹层动脉瘤:外科手术极具挑战性

  椎动脉夹层动脉瘤往往病变节段长,易累及小脑后下动脉,而小脑后下动脉作为椎动脉的重要分支,供应延髓的穿支动脉从其近端发出,堵塞后常常会导致延髓处于缺血、缺氧状态,易造成严重的脑梗死甚至死亡,故而对于这种累及小脑后下动脉的椎动脉夹层动脉瘤,保证小脑后下动脉血流通畅并防止动脉瘤破裂再出血是治疗的关键点。

  目前对于椎动脉夹层动脉瘤的治疗通常分为2种方式:一种是通过外科手术治疗,另一种是通过血管内介入治疗。不过由于椎动脉夹层动脉瘤在形态上往往呈梭形,并无明显的动脉瘤瘤颈和瘤囊,所以行动脉瘤开颅夹闭术相较于一些瘤颈明显的动脉瘤来说难度更大。另外,V4段椎动脉位置较深,受累的小脑后下动脉位于后颅窝并且邻近脑干和后组颅神经,手术空间十分狭窄容易造成损伤,故通过外科手术技术来治疗椎动脉夹层动脉瘤存在众多挑战。故近年来血管内介入治疗已经被广泛认为是治疗椎动脉夹层动脉瘤的首选方法,以载瘤动脉闭塞术、单纯的弹簧圈栓塞以及支架辅助弹簧圈栓塞为主。

▲ 外科手术技术来治疗椎动脉夹层动脉瘤存在众多挑战

  血流导向装置化解难题

  对于大型动脉瘤,传统的弹簧圈栓塞或支架辅助弹簧圈栓塞效果并不理想,不仅术后可能加重动脉瘤的占位效应,而且远期复发率超过五成。近年来,血流导向装置的发展更新了颅内动脉瘤的治疗理念,即从瘤囊内填塞向血管壁重建的转变,对大型或巨大型颅内动脉瘤的治疗结果产生了革命性的变化,开启了颅内动脉瘤治疗的新纪元。

  血流导向装置,又称之为密网支架,是目前治疗颅内动脉复杂动脉瘤(包括巨大动脉瘤,梭形动脉瘤,多发串联动脉瘤等)的重要方法。密网支架置入载瘤动脉后,不追求即刻影像学效果,一方面其血流导向特性引起血液在动脉瘤腔内瘀滞;同时其为血管内皮爬行提供支撑,最终达到动脉瘤的解剖学治愈,使许多过去难以治疗的复杂动脉瘤得到根治。

  为了让患者获得更好的预后,在征得家属同意后,席刚明教授、王贵平博士决定采用血流导向装置联合弹簧圈来化解难题。通过改变血流方向促进动脉瘤内血流淤滞和血栓形成,促进支架内的内皮细胞和新生内膜组织增生,进而依靠瘤颈的内膜化达到修复载瘤动脉的作用。

  历时2个小时 血管重建成功

  尽管血流导向装置Pipeline的治疗效果显著,但是操作难度系数也较大,对术者的技术要求很高。血流导向装置Pipeline要求术者非常熟悉支架的性能、特点和关键步骤的注意事项,并且需要高超的血管内操作技能。

▲ 席刚明教授团队在为患者手术

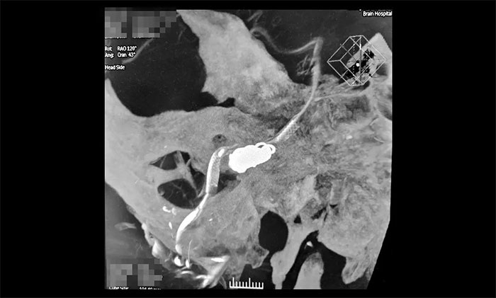
  术中,席刚明教授在王贵平博士协助下,克服血管迂曲等困难,在微导管到位后缓慢释放Pipeline血流导向装置到达术前预定位置,右椎动脉V4近段。随后,通过Echelon-10微导管行动脉瘤栓塞,向右侧椎动脉瘤内填入大小不同的弹簧圈共计3枚,造影提示右侧椎动脉夹层动脉瘤显影减慢减少、瘤内造影剂滞留,右椎动脉、基底动脉、右侧小脑后下动脉、右侧小脑前下动脉显影可。行3D造影见右椎动脉、左椎动脉V4段、基底动脉、双侧大脑后动脉、双侧小脑上动脉、双侧小脑前下动脉、双侧小脑后下动脉显影可;行支架CT见支架成形满意。术后CT检查,颅内未见出血,手术顺利完成,患者获得了理想的血管重建。术后,患者顺利苏醒,无新发神经功能缺损。目前,患者已康复出院,计划术后3个月随访。

▲ 血流导向装置置入、弹簧圈栓塞后

  “如果用传统的多支架覆盖瘤颈,不仅步骤多,而且要求填塞大量弹簧圈。但我们采用血流导向装置则可不用填塞或者填塞少量弹簧圈,如此一来,占位效应就可减轻,动脉瘤也会逐渐缩小,同时降低复发风险,降低耗材的费用,减轻患者的经济负担,改善患者的预后,可谓一举多得。”席刚明教授表示,血流导向装置置入术可以重建血管结构,使动脉瘤内血栓化,逐渐萎缩消失。

  版权声明:部分图片源自摄图网,如有版权纠纷,请及时联系医院。一经查实,将立即删除。

此文章仅作为临床学术研究、学术交流使用!

上一篇:五旬女子反复癫痫发作 竟是海绵状血管瘤“潜伏”在大脑深处 下一篇:七旬患者罹患脑转移瘤“偏瘫” 伽玛刀治疗助其恢复行走能力
医院简介专家教授科室介绍医院荣誉医学百科就医指南上海蓝生脑科公司