神经外科
神经重症促醒特色诊疗
“爸!你终于醒了!”,守在床边的陈女士看到父亲醒来,一时喜极而泣,赶紧拍视频发到家庭群里报喜。
今年54岁的陈先生,因突发昏迷送医,诊断为“基底节出血”。入院时神志不清,陷入昏迷,经蓝十字脑科医院6B病区神经外科、9楼神经外科重症监护室团队20多天的精心救治,他终于成功苏醒,现已能开口简单说话。

▲ 脑出血急性期死亡率高达30%-40%
惊险万分 驾驶途中突发脑出血
陈先生是家中的顶梁柱,一直为了家人的幸福而劳累奔波,几乎没有节假日的概念。春节前夕的一天,出车时突然感觉身体有些不适,头晕、并伴右侧肢体突发无力,他赶紧减速,靠边停车,拨打120求助。
经当地医院头颅CT 检查提示:基底节区脑出血。立即予以脱水降颅内压、营养神经、补液、控制血压、抗感染等对症治疗。后经该院神经外科会诊,考虑有手术指征,建议手术,但家属当时因顾虑手术风险,拒绝了手术治疗的提议。
之后,经过半个多月的保守治疗,陈先生的病情毫无改观,始终处于昏迷状态,看不到一点希望。这让一家人都情绪黯淡,只能守着昏迷的陈先生,在医院熬过了这个春节。
百般无奈之下,家属议定到上海寻医,不论如何艰难,也要让陈先生醒过来。经过陈先生兄长的多方联络,昏迷的陈先生被转到了上海蓝十字脑科医院,求诊于促醒经验丰富的潘仁龙主任。

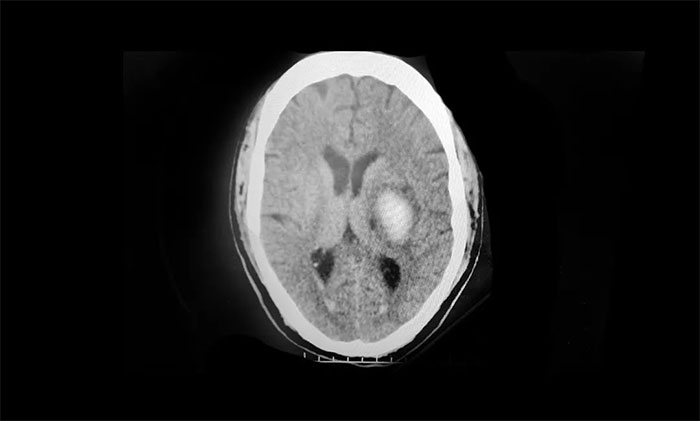
▲ 左侧基底节区出血
入院后确诊为:1、基底节出血;2、高血压2级;3、Ⅱ型糖尿病;4、肺部感染。同时,病程记录陈先生有5年高血压病史,且未规律服药。“他平时很忙,想起来就吃,想不起来就不吃,断断续续的。”回忆起父亲的服药史,陈女士一脸无奈。
揪出元凶 不规律服药诱发基底节区出血
潘仁龙主任指出,脑出血的患者往往由于情绪激动、费劲用力时突然发病,早期死亡率很高,幸存者中多数留有不同程度的运动障碍、认知障碍、言语吞咽障碍等后遗症。 60%~70%脑出血多发生在脑部的“基底节”区,该部位出血常出现三偏征(病灶对侧偏瘫、偏身感觉障碍、偏盲)。
基底节区脑出血的发生并非一蹴而就,病因往往是比较缓慢的病变过程。高血压是导致基底节区出血的罪魁祸首,有些人得知患高血压后,不及时治疗,因而引发动脉硬化、微型动脉瘤。
随着高血压病程的迁延,病情会不断恶化,一定程度上给基底节区脑出血的发生制造了条件。当患者的血压升高时,动脉壁就会因为缺氧,造成动脉内膜的进一步增厚,导致管腔变得狭窄,甚至闭塞。此时,硬化的动脉很容易就会破裂,继而诱发基底节区出血。
大部分脑出血都发生在基底节区,这是由人体的脑部结构决定的。多数血管在体内的分布是弯弯曲曲的,血流比较平缓,而在基底节区正好有大血管分枝成一些小血管,部分甚至呈“90°直角弯”,是血管较为薄弱的位置,因此也就成了脑出血的重灾区。
潘仁龙主任表示,患者本身患有高血压,是诱发脑出血的首要原因。再一个,他平时又不按时服药降压,加上工作劳累,就诱发了脑出血,这才是造成患者陷入昏迷的最终“谜底”。目前高血压的发病日趋年轻化,不规律服药是非常危险的。潘仁龙主任提醒广大高血压患者,一定要遵医嘱按时服用降压药,平时更要注意工作压力的自我调节,养成良好的生活作息习惯。

▲ 高血压是导致基底节区出血的罪魁祸首
多管齐下 终于从昏迷中醒来
入院时,陈先生病情复杂,GSC(格拉斯哥)评分9分,中度昏迷,无法脱离呼吸机辅助。潘仁龙主任带领团队,针对陈先生的病情及生理状态进行了全面评估,并据此制订了精准的生命支持及后续治疗方案。包括继续应用呼吸机辅助呼吸,予以降颅内压、预防癫痫、抗感染、控制血压、化痰、营养支持等对症治疗。
同时,医护团队通过床旁电子支气管镜引导下行经皮气管切开术、床旁支气管镜反复吸痰等来减少呼吸机相关性肺炎的发生;通过植入PICC(经外周静脉穿刺中心静脉置管)减少导管相关性血流感染发生,并进一步加强对陈先生的生命体征监测,做好重要脏器的营养支持治疗。
此外,潘仁龙主任还特邀中医科、康复科专家、高压氧科专家一起会诊,制定相应的辅助治疗计划,并严密观察患者病情变化,做好各项应急预案。
在陈先生的日常护理上,护士、护工更是尽心竭力,心往一处想,劲往一处使。为了促进痰液引流,她们一起为他翻身、拍背、变换体位;为了避免关节挛缩畸形,她们每天间断性地帮助他活动肢体;为了提高他的自体免疫力,抵抗感染并发症,她们为他制定了营养饮食计划,并根据情况酌情调整。这一切,都是为了帮助陈先生早日醒转。家属们也深受感动,在医生建议一下,录制了各种声音,以配合刺激陈先生“沉睡”的意识。
经过6B病区医护团队20多天的精心治疗,陈先生终于从昏迷中开始醒转。并于3月1日脱离呼吸机辅助,转入普通病房。
如今,陈先生正在积极接受康复锻炼,已经恢复了自主进食的能力,并且可以用简单语言沟通。

▲ 苏醒后的陈先生
潘仁龙主任提醒,脑出血后进行康复锻炼,必须争分夺秒。一般脑出血患者在病情稳定(患者意识清醒,血压、呼吸、心跳都没有异常,体温正常没有发烧)后,就可以开始康复锻炼了。通常来说,只要患者病情不是太严重,出血量不是很大,那么度过危险期一周后,就应开始康复锻炼。即使是重度患者,也应在其意识清醒后,尽快开始康复治疗。抓住康复最佳时机,早期介入,才有可能让患者早日回归正常生活。
解除“沉睡魔咒” 助推“植物人”促醒
上海蓝十字脑科医院在昏迷患者促醒,特别是“植物人”患者的促醒中,积累了较为丰富的经验,尤其是在医院应用脊髓神经电刺激技术(SCS)对“植物人”患者进行促醒治疗后,其促醒率明显得以提高。
近年来已经成功开展了10例脊髓电刺激电极植入手术,其中3例封闭气管,5例意识清醒,2例昏迷患者恢复到浅意识状态,正在康复中。

▲ 院领导慰问“宁波好人”莫钢廷
随着脑复苏中心的发展,越来越多的患者慕名前来,最终在上海蓝十字脑科医院找回了康复的希望,如“宁波好人”莫钢廷、“电大好院长”郑元齐等。
脑复苏学科是医院的重点学科,以潘仁龙主任、李士其教授、吴治群博士等为代表的专家团队,不断探索脑促醒治疗方法,积累了较为丰富的临床经验,形成了以神经外科、重症医学科、电生理等多学科协作,脊髓刺激、高压氧、亚低温治疗等多手段结合的特色治疗体系。
“让更多的昏迷患者苏醒过来!”这是潘仁龙主任常常鞭策自己和团队的一句话。为此,潘仁龙主任团队始终没有停止探索、学习国内外前沿技术,只希望能帮助到更多长期昏迷的患者。
上一篇:经鼻蝶切除垂体巨腺瘤 中年男子重回光亮世界 下一篇:医患情 ∣ 并辔携手驱病邪 共筑健康防护堤
学术氛围热烈,思想碰撞不断。3月14日,第十三届芝加哥大学医学...【详细】


