随着年龄的不断增长,老年人的身体机能开始走下坡路,各种疾病也随之而来,偶尔会出现“头痛、头晕、走路不稳”等情况,大多数老人都认为是小毛病,用“休息一下或缓一缓再说”的话语搪塞过去,64岁的邓先生(化名)也是如此。
邓先生最近半个月偶尔会出现头晕、恶心、走路不稳的情况,孝顺的儿子劝他去医院做做检查,但执拗的邓先生却总说:“都是小毛病,过两天就好了”。直到有一天,他突然走路不稳如醉汉,并逐渐加重,这时他才发现情况不妙……
走路不稳如醉汉,病情逐步严重
64岁的邓先生家住上海金山,他干了一辈子的农活,总是早出晚归,由于儿子在县城工作,家里六七亩地都是他一个人打理,在他的眼中总有干不完的农活,因此也很少休息。他的身体一直还算可以,但最近半个月却常常感到头晕,偶尔还会出现恶心的症状,儿子劝他去大医院检查一下,他最后却去了当地的小诊所,医生检查是高血压,让他注意休息,还开了降压药,但邓先生觉得不是什么大病,也就没吃药。
3月16日的早晨,邓先生一如既往的来到菜地里干活,干了快半个小时候后,起身准备去另一块菜地时,却突然走路不稳,并不自觉的向一个方向偏,步态蹒跚,跟喝醉酒似的,腿脚都不听使唤,这时邓先生才意识到问题的严重性,赶紧给正在工作的儿子打电话。
之后邓先生在儿子的陪伴下,就诊于上海金山区某医院,并在该院进行了头部CT检查,影像结果显示:患者左侧小脑半球占位伴脑积水,医生告诉他们,很可能是小脑肿瘤问题,随后邓先生头痛加重,还出现了小便失禁的情况,医生建议他们去上海市大医院就医,那里的医疗水平和仪器更为先进。
查明病因 幸遇专家
为了寻求进一步治疗,3月17日患者在儿子的陪伴下就诊于上海蓝十字脑科医院,神经外科副主任吴治群博士接诊,并收录于神经外科6B病区,完善相关检查。
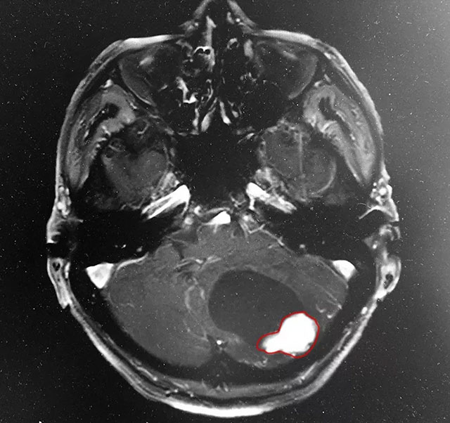
为了进一步明确病因,吴主任建议患者增强扫描:头颅MRI平扫+增强+DWI+MRA,影像学结果提示:患者为良性的小脑肿瘤,同时结合患者病情、病症和病史,考虑为血管母细胞瘤可能性很大。

▲ MRI影像显示:患者为小脑肿瘤
据吴博士介绍,患者的小脑肿瘤为良性——这算是不幸中的万幸。但他当时的情况还是很严重的,由于肿瘤压迫,脑部水肿情况比较明显,第四脑室受压变形,导水管与脑池也受压,双侧侧脑室及第三脑室明显扩大,颅底中线结构向左侧偏移。为了患者更好的治疗,吴博士特邀神经外科特需专家李士其教授进行会诊,经过商量讨论,他们一致认为患者头痛、恶心、走路不稳症状严重,手术指征明显,应尽早手术。
邓先生这次手术由李士其教授主刀,他是蓝十字神经外科特需专家,拥有丰富的临床经验,尤其擅长显微镜下脑肿瘤手术,邓先生的儿子得知后,非常高兴地说道:“ 我父亲真的很幸运,小脑肿瘤是良性的,又是李士其教授亲自主刀,他也是金山人,在我们老家很有名,由他主刀我们心里很踏实”。
德国蔡司显微镜下,精细操作除脑瘤
完善患者各项检查,并告知家属相关风险,邓先生手术安排于3月19日11点开始,此次小脑肿瘤切除手术,是由李士其教授领衔的神经外科专家团队进行的。据李教授介绍,这次手术的关键是要完整切除血管性肿瘤,而囊肿被穿刺后囊液流出,会使血管性肿瘤结节“隐身”于周围脑组织中,这对手术专家的技术和经验要求非常高。

▲ 德国双荧光Zeiss显微镜下,李教授(左一)与吴博士(右一)在精细操作
手术开始,李士其教授主刀,吴治群博士及医护团队协助,手术是在显微镜下进行的,整个手术操作李教授都一丝不苟,他与吴博士配合的更是默契。在显微镜下见患者脑组织表浅见淡红色血管团块,从旁边用双极切开脑组织,见菲薄灰白色囊性组织,与周围脑组织边界较清,切开后见淡黄色液体流出,自血管团块周围逐步切断血供,最终完整切除血管性肿瘤结节……经过专家团队两个多小时的同心协力,手术顺利完成。之后患者肿瘤标本送检,报告提示为良性的血管母细胞瘤。

▲ 逐渐康复的患者,露出了久违的笑容
术后一周,邓先生情况明显好转,头痛、恶心症状逐渐消失,饮食也正常了,小便失禁情况正在恢复中。“我父亲之所以能恢复的这么好,这都是李教授和蓝十字医疗团队的功劳,他现在已经能正常走路了,看着父亲脸上久违的笑容,真替他开心”,邓先生的儿子感激道。
小科普:血管母细胞瘤
李士其教授介绍,血管母细胞瘤是由脑神经和脊髓神经所产生的一种高度血管分化的良性肿瘤。它主要有两种基本的形态,包括实体状和囊泡状,实体状肿瘤几乎全部由细胞所组成,而囊泡状肿瘤则是小部分的细胞伴随着大部分的囊泡所组成的。
在脑中,这种肿瘤通常发生于整个脑部的后下部,也就是所谓的小脑之中,而小脑在脑部的主要功能是平衡和协调。随着血管母细胞瘤的生长,日益增大的肿瘤将会压迫到脑部,并且造成一些神经学上的症状,如头痛、行走不稳、共济失调等症状,也可形成继发性脑积水等问题。
李教授指出,血管母细胞瘤是一种良性的肿瘤,因此大家无需“谈瘤色变”,通过如今先进的神经外科设备,大多数的血管母细胞瘤是可以安全地切除的,患者应该结合自身情况尽早手术。
此文章仅作为临床学术研究、学术交流使用!
上一篇:六旬男士嘴歪流涎体乏力 是“中风”还是...... 下一篇:上班族必看!这个病未列入“职业病”,健康危害却不容小觑
学术氛围热烈,思想碰撞不断。3月14日,第十三届芝加哥大学医学...【详细】


