突然“两眼一黑”失去意识,不一会儿又恢复正常——3月以来,年逾六旬的章女士(化名)身上多次发生蹊跷“怪事”。去医院后,意外查出颅内藏着一枚鸭蛋大的脑膜瘤。近日,上海蓝十字脑科医院神经外科于耀宇、沈建康主任团队历时6小时,顺利切除肿瘤,患者化险为夷。
无诱因意识丧失 查出了脑肿瘤
患者章女士今年65岁。从2024年3月起,多次无明显诱因出现的意识丧失,打破了她原本平静的生活。发作时,章女士会突然“眼前一黑”没了意识,好在持续时间并不长,从几秒钟到数十秒不等。“恢复后感到手脚麻木,但没有明显头晕头痛的感觉。”章女士表示。
随后,章女士前往当地医院检查头颅CT,意外查出了右侧额叶占位病变伴脑水肿。患者远在新疆,经亲友推荐,章女士了解到上海蓝十字脑科医院神经外科学术副院长兼神经外科6A病区主任于耀宇,及神经外科团队在颅脑肿瘤规范化治疗方面有丰富的临床经验,便与于耀宇主任取得联系。在于主任悉心安排下,患者不远千里,慕名来到医院,寻求进一步治疗。
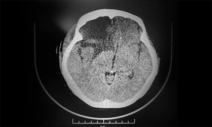
入院后,于耀宇主任为章女士完善检查。头颅MRI增强示:右侧额叶不规则团块状异常信号影,边界不清,最大直径约5.6cm,大小与鸭蛋相仿。病灶周边有大片水肿信号影;邻近大脑脚、胼胝体及双侧侧脑室受压、变形;中线结构左偏。

▲ 肿瘤大小与鸭蛋相仿
结合影像学检查和患者症状表现,于耀宇主任与神经外科主任沈建康等开展严谨细致的病情分析和治疗方案评估后,一致认为,患者右侧额叶大面积占位;中线结构偏移,高颅压伴脑疝形成,考虑侵袭性脑膜瘤可能大(不排除恶性肿瘤),若不尽快手术切除,病情可在短时间内迅速恶化,甚至直接危及患者生命。
6小时手术全切肿瘤
患者手术指征明确,未见明确手术禁忌。在进一步完善手术预案,并取得患者家属同意后,于耀宇主任和沈建康主任联手,为章女士开展了肿瘤切除手术。

▲ 于耀宇、沈建康主任联手开展肿瘤切除手术
神经外科团队按照预定方案,在蔡司显微镜(双荧光)辅助下,充分显露肿瘤边界后,仔细分离肿物周边密集的神经血管,逐步分块切除肿物及附着的硬膜。在确保重要功能组织和动脉不受损害的前提下,经过6个小时的艰苦奋战,终于将肿瘤予以全切,同时完整地保留了重要的神经血管结构。

▲ 术后影像,肿瘤已切除
手术顺利完成后,患者生命体征平稳,安返监护病房。留取病理标本送检,确定为脑膜上皮型脑膜瘤(WHO I级),为良性肿瘤。

▲ 病理分析确定为脑膜上皮型脑膜瘤(WHO I级)
于耀宇主任介绍,脑膜瘤通常生长慢病程长,早期可无明显体征表现。但其呈膨胀性生长,患者往往以头痛、癫痫为首发症状,也可因肿瘤生长于不同的脑功能区,压迫到神经和重要血管,出现视觉、听觉、嗅觉及肢体运动障碍等不同体征表现。
发生于额叶部位的脑膜瘤,除了头痛、呕吐等颅内压增高的症状和体征外,还可出现精神改变、记忆力和理解力减退、意识障碍或意识丧失(多为一过性),以及癫痫、锥体束损害、额叶性共济失语等症状。
不过,大家也不必谈“瘤”色变。于耀宇主任表示,目前,就像本例脑膜瘤手术达到肿瘤全切,目前大多数低级别脑膜瘤患者通过手术全切,能够获得良好的临床预后。
个别不能全切的脑膜瘤,通过放射治疗等综合治疗手段,亦可改善生活质量,提高生存率。因此,在出现相应症状时,应及早就医检查诊断,积极干预治疗,以免贻误治疗时机。
上一篇:七旬老知青突发脑梗万里奔赴求医蓝十字 ,席刚明教授团队介入治疗及时化险为夷 下一篇:六旬男子罹患复杂动脉瘤合并血管重度狭窄,席刚明教授团队介入治疗化险为夷
学术氛围热烈,思想碰撞不断。3月14日,第十三届芝加哥大学医学...【详细】


