“鬼火”摩托车又称“炸街车”,速度飞快,灯光刺目、噪声轰鸣,不仅严重扰民,而且存在很大的交通安全隐患。
少年搭乘“鬼火”摩托发生意外
“嘀嘟~嘀嘟……”今年4月20日17时许,一辆从江西远道而来的救护车,匆匆驶入上海蓝十字脑科医院。车上躺着的,是年仅13岁的男孩小宝(化名),此刻的他,头上正缠着厚厚的纱布,少言寡语,生命体征还算平稳。
就在两天前的晚上,小宝搭乘着好朋友的“鬼火”摩托车在外游玩。在行驶中,坐在后座的小宝突然失去平衡,整个人向后翻倒摔落,后脑偏顶部着地,当场昏迷不醒。

▲ 小宝向后翻倒摔落,头部着地
事故发生后,小宝的家人闻讯赶来,迅速将受伤的孩子送至当地医院急救。据家属介绍,当时小宝头顶后方头皮有挫伤出血,人虽然未昏迷,但完全记不起事发经过,精神萎靡,不愿言语。经急诊行头颅CT检查,小宝因颅骨遭遇重击致重型颅脑损伤、硬膜外血肿、颅骨骨折,立即予防脑水肿、降颅压等治疗。
连夜手术化险为夷
上海蓝十字脑科医院神经外科专家解析,颅脑损伤是一种常见外伤,可单独存在,也可与其他损伤复合存在。多数病人伤后即可出现意识丧失,时间长短不一;可有头痛、呕吐等表现,不断加剧时应警惕颅内血肿。需要特别注意的是,部分颅脑损伤者在受伤后第一时间可能不会表现出明显的异常症状,但由于常伴有颅内血肿或其他损伤,延误治疗可出现颅内压增高表现,严重的可出现癫痫、神志不清、昏迷、休克,甚至因脑疝而死亡。

对于重型颅脑损伤患者,除了要严密观察病情变化、行降颅压治疗防治脑水肿治疗外,还应根据患者实际情况,在必要时考虑进行手术,清除颅内血肿,复位骨折的颅骨,防止出现并发症及后遗症。小宝年龄尚小,家人最担心的是可能突然出现的病情恶化及相关后遗症的发生,为寻求进一步治疗,经多方联系,最终决定将小宝转送至上海蓝十字脑科医院神经外科6A病区行进一步治疗。

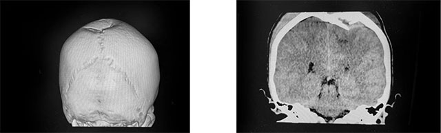
▲ CT影像显示,小宝顶骨大块凹陷性骨折,脑顶叶皮层受压
小宝被收治入院后,神经外科6A病区医生团队第一时间为患者开展了全面的检查,并采取了降颅压等治疗措施。CT检查报告很快出来了,患者两侧顶骨(左侧为主)大块凹陷性骨折(约5cm*6cm),下陷约2cm,脑顶叶皮层受压、凹陷,骨折区域硬膜外、脑表急性期血肿,左侧幕上轻度高颅压。由于损伤部位涉及脑部重要功能区,需通过手术,减轻颅骨骨折压迫,清除颅内血肿并修复受损的颅骨,防止可能出现的脑神经功能损伤。

▲ 小宝连夜接受手术治疗
在明确告知患者家属诊疗方案、手术风险等并获得签字同意后,在入院两个多小时后,即当晚7时45分许,小宝在全麻状态下接受了颅骨骨折减压、硬脑膜外血肿清除及颅骨修补手术。整台手术历时约90分钟,顺利完成。
经半个多月的术后观察和恢复,小宝很快恢复了往日的神气,复查符合出院条件后,于近期顺利出院了。“鬼火摩托车太危险了,我以后再也不坐了!”小宝心有余悸地表示。
延伸阅读:“鬼火”摩托频酿悲剧
差点将小宝送进“鬼门关”的“鬼火”摩托车,究竟是怎么一回事?众所周知,只有符合国家相关规定的摩托车才能上牌,取得驾照的驾驶人才能骑行上路,这是对道路交通安全的基本保障。不过,时下有相当多的摩托发烧友,甚至是没有驾驶资格的年轻人,会对无证车辆进行非法改装,改装后的摩托车称为“鬼火”摩托,动力大幅提升,时速可以达到百公里以上,高速行驶时极易出现意外。除了动力强劲,“鬼火”摩托车还会刻意减配降噪装置,营造轰鸣刺激的效果,加上奇特魔幻的外观,被不少年轻人视为“潮流时尚”,趋之若鹜。

▲“鬼火”摩托可谓劣迹斑斑
近年来,“鬼火”摩托车已酿成了不少严重的交通事故。就在今年4月下旬,广东某市两名少年,骑着一辆白色“鬼火”摩托车在街巷飞奔,车辆失控直接从背后将正常行走的五名路人撞飞,导致路人不同程度受伤,事故现场血迹斑斑;2020年10月,广西某地一学生骑行“鬼火”摩托在人行横道线上撞倒一50多岁中年女性,被撞行人经现场抢救无效,不幸身亡……

正由于对社会危害巨大,目前“鬼火”摩托车已成为各地交警部门严厉查处的重点对象。据广西梧州官方公众号“梧州网警巡查执法”近日通报,3月28日,藤县公安局交管大队突击开展集中统一“灭鬼”行动,一次行动就查扣“鬼火”摩托车35辆。对于涉及的无证驾驶、非法改装、不戴头盔、超员等交通违法行为,交管部门依照《中华人民共和国道路交通安全法》进行处罚。民警还结合驾驶“鬼火”摩托车大多数是青少年、年龄处在“叛逆期”的特点,对他们进行了交通安全宣教。
交管部门提醒,非法改装摩托车、在马路上耍酷飙车等行为,不光影响周边群众的生活,而且还会给自身、他人带来诸多安全隐患,一旦发生事故极易引发意外,甚至付出生命的代价。
所以,请别再玩“火”了!
此文章仅作为临床学术研究、学术交流使用!
上一篇:52岁男子两次动脉瘤手术后再次出血昏迷,神外潘仁龙团队多学科诊疗使其重获新生 下一篇:囊性脑转移瘤患者不耐受手术怎么办?可考虑立体定向穿刺引流联合伽玛刀治疗
学术氛围热烈,思想碰撞不断。3月14日,第十三届芝加哥大学医学...【详细】


