耳朵听不清楚,一般人都认为是耳朵出了问题。但请注意:问题也可能出在大脑内,有些缘由竟然是——小脑脑桥角脑膜瘤。
“桥小脑角脑膜瘤”概述
桥小脑角脑膜瘤的首例报告可追溯到1855年。Cushing在1928~1938年报告了6例。但效果都不够理想,平均术后存活12个月。桥小脑角脑膜瘤的手术处理困难,因为有众多重要神经血管缠绕,所以术后效果差。近年,随着显微手术的发展,本病的治疗取得较大进展。1980年Yasargil报告切除30例桥小脑角脑膜瘤全部成功。桥小脑角肿瘤中以听神经瘤多见,占70%~80%,脑膜瘤仅占6%~8%,胆脂瘤占4%~5%。本组199例桥小脑角脑膜瘤占6.33%,居后颅凹肿瘤第3位,在听神经瘤和胆脂瘤之后。发病以中年女性为多,平均年龄43.8岁,女:男为1.53:1。依肿瘤发生位置不同,本病以第V、Ⅶ、Ⅷ颅神经损害和小脑功能障碍最常见。晚期肿瘤较大时可合并颅内压增高。小脑脑桥角脑膜瘤是桥小脑角第二常见的肿瘤,多起源于岩骨后面和内听道内侧的脑膜上,可与岩上、下窦或乙状窦相连。按照肿瘤基底与内听道的不同部位,把大中型桥小脑角脑膜瘤分为III型:内听道前型、内听道前后型、内听道后型。
桥小脑角脑膜瘤由于解剖关系复杂,位置深在,手术全切困难,术后颅神经功能障碍常见,较大程度切除肿瘤同时保留神经功能为手术目标。
主要症状
听神经损害最多见,90%以上病人有听力障碍和早期耳鸣。眩晕比较少见。前庭功能试验和电测听检查多可发现异常。面肌抽搐或轻度面瘫是面神经损害早期表现,本组共137例,占病例总数的68.8%。
病人面部麻木、感觉减退、角膜反射消失,颞肌萎缩等三叉神经损害表现也较常见,本组病人130例,占65.3%。有18例是以三叉神经痛为主诉来就诊的。
小脑受压,易出现小脑体征。如走路不稳,粗大水平眼震以及患侧共济失调。本组中有2/3的病人来院时已有小脑体征。
本组约有一半病人来院时已有眼底视乳头水肿。本病出现吞咽发呛,声音嘶哑等后组颅神经损害表现比较少见。

▲ 长期耳鸣要警惕脑肿瘤
小脑脑桥角脑膜瘤早期症状
脑干受压迫
症状可能会因生长部位、扩展范围和代偿功能的不同而略有差异。其中以 V、 VII、 VIII型脑神经损伤及小脑功能障碍最为常见。随著肿瘤的增长,小脑及脑干也会受到肿瘤的压迫。接着,由于导水管和第四脑室受压,小脑角桥池和环池被阻塞,颅内压力升高。只有少数病人出现三叉神经痛或颅内压升高,并伴有轻微的小脑症状。
听力受损
失聪和早期耳鸣占90%以上。晕眩很少见。通过前庭功能检查和听力检测可以发现异常。接下来是轻度的面神经损伤,早期表现为侧瘫或侧肌痉挛,约占68%。三叉神经损伤也较为常见,患者面部出现麻木,感觉减退,角膜反射减弱或消失;若累及三叉神经的运动支,可见颞肌萎缩。痛苦的程度很难与继发性三叉神经痛相区别。
声音嘶哑
舌咽肌肉常受损。有咳嗽,声音嘶哑,咽反射消失或消失,软腭下垂或上颚无力。外展神经、舌下神经及桥小脑角脑膜瘤的副神经病变较少。听神经损伤后常见的第二大症状是小脑功能障碍,主要表现为行走不稳,患肢共济失调,水平眼震。在脑干受压的情况下,同侧肢体的肌力可能会减弱,少数患者病变侧会出现感觉减退,到了后期有时会出现双侧锥体束征。
男子长期头晕耳闷 原来是脑膜瘤作祟
雷先生两月前无明显诱因出现走路时突感头晕耳闷等症状,他开始以为自身血压偏高导致头晕等症状,但是随着症状的加重他逐渐意识到严重性,6月下旬在当地医院检查时,发现左侧桥小脑角区占位,主治医生建议他到一线大城市的大医院进一步明确诊断治疗。雷先生一家人不敢耽搁,随后他们来到上海慕名转入上海蓝十字脑科医院进行治疗。

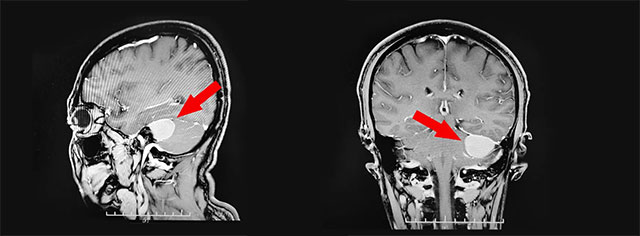
▲ 肿瘤位于左侧桥小脑角区
头颅MRI平扫+增强显示:左侧桥小脑角区可见团块状异常信号,形态不规则,毗邻左侧小脑半球可见受压。神经外科6B病区李士其教授分析指出,根据影像考虑为小脑脑桥角脑膜瘤。由于肿瘤较大,位于颅脑底部,位置较深,且与“生命中枢”脑干毗邻,周围相关颅神经有9条,有非常重要的小脑前下、后下动脉,肿瘤血运丰富,手术难度极大,稍有不慎将带来巨大风险及严重的手术并发症,甚至危及生命!
为此,李士其教授团队进行了严谨的术前讨论,制定了周密的手术方案,做好了充分的术前准备,决定为雷先生在全麻下行“左侧枕下乙状窦后入路开颅小脑脑桥角脑膜瘤切除术”。

▲ 李士其教授正在为患者手术
7月6日上午8:00,手术开始。李士其教授在吴治群博士及医护团队协助下全神贯注,在蔡司显微镜 (双荧光) 下进行手术,发现一大小约2.5X3X2 cm 肿物,质地中等,血供丰富,与周围组织界限清。李士其教授处变不惊,小心翼翼地将肿瘤与小脑幕分离,在显微镜下完整切除,暴露并保护面听神经及相邻血管,残腔止血彻底……整台手术历时5个多小时,终于将患者脑部肿瘤顺利切除。根据病理检测,患者确诊为小脑脑桥角脑膜瘤。
术后,雷先生头晕、耳闷症状消失,无其他神经功能障碍,目前正在康复中。
大多数脑膜瘤是良性,预后良好
李士其教授介绍,脑膜瘤是起源于脑膜及脑膜间隙的衍生物,发病率占颅内肿瘤的19.2%,仅次于胶质瘤,居第2位。50%位于矢状窦旁,另大脑凸面、大脑镰旁者多见,其次为蝶骨嵴、鞍结节、嗅沟、小脑桥脑角与小脑幕等部位。脑膜瘤虽属于良性肿瘤,生长慢病程长,但其呈膨胀性生长,病人往往以头痛和癫痫为首发症状,还可以出现视力、视野、嗅觉或听觉障碍及肢体运动障碍等。
因脑膜瘤生长缓慢,等到发现时肿瘤往往长得很大,患者若忽视早期症状,可能会错过治疗时机。若未及时治疗,患者病情将呈现进行性加重,会导致多种恶性循环因素,使病情迅速恶化甚至威胁生命。目前,手术切除脑膜瘤是治疗手段;尤其随着显微手术技术的发展,手术切除脑膜瘤不断提高,使大多数患者得以康复。
此文章仅作为临床学术研究、学术交流使用!
上一篇:神经内科余志良主任解读一种十分罕见的疾病——发作性非运动诱发性运动障碍 下一篇:五旬男子眼睛失明 原来是脑动静脉畸形导致
学术氛围热烈,思想碰撞不断。3月14日,第十三届芝加哥大学医学...【详细】


