脑动静脉畸形(AVM)是脑动脉和脑静脉之间毛细血管发育障碍所形成的异常血管团。脑动脉血直接通过畸形团内的动静脉瘘流入静脉,由于缺乏毛细血管而产生一系列脑血流动力学改变,出现相应的临床症状,如出血、头痛、癫痫和“脑盗血”引起的进行性神经功能障碍等。AVM的治疗方法主要有AVM病灶切除、血管内介入栓塞和立体定向放射外科治疗。目前,血管内栓塞结合立体定向放疗已经成为体积较大、位置较深的复杂AVM的治疗手段。
脑动静脉畸形通俗地说,就是原本我们脑袋里的动脉和静脉是通过“媒人”——毛细血管来进行沟通交流的,可在脑动静脉畸形患者的脑袋里,动脉与静脉“天雷勾动地火”,直接跳过了媒人“纠缠”在一起。缺少了毛细血管动静脉直接相连,也就是动脉和静脉之间出现了许许多多的瘘口,就像绕成一团的毛线球一样。动脉的血流直接从瘘口流向静脉,这样不仅静脉的压力被提高,而且还会引起“盗血”、血流淤积、静脉内血流倒流等危险因素发生。

▲ 脑动静脉畸形就像绕成一团的毛线球一样
上海蓝十字脑科医院脑血管病科科主任张琪博士指出,临床上,脑动静脉畸形常见症状为颅内出血、抽搐发作、神经功能障碍、智力减退、颅内杂音等,其中最危险的是颅内出血。
脑血管畸形的症状有时不易判断,它常表现为以下四大症状:
脑出血:
占52-70%,往往发病突然。常为首发症状,表现为蛛网膜下腔出血或脑内血肿。这是本病最为危急的时刻,卒中时刻。而不出现时,相对平稳,甚至被忽视。
脑缺血:
表现为轻度偏瘫等脑功能障碍。
癫痫:
发生率为28-64%。可为首发症状或见于出血后,多为全身性发作或局限性发作,与病变刺激局部病变有关;多发生于脑叶病灶,局限性发作有定位意义。
头痛:
约60%的患者平时有血管性头痛,可能由于血管扩张引起,另外,还可能引起脑积水、眼球突出、复视、心衰等症状。脑血管畸形一旦发生出血,就有可能导致脑卒中,危及生命。因此当上述症状出现后,要进行相应检查,包括头颅CT、MR,以及CTA、MRA检查来证实,不过金标准是DSA检查。
五旬男子因脑动静脉畸形导致眼睛失明 张琪博士顺利介入栓塞
张琪博士介绍,在动静脉畸形的治疗中,目的是完全消灭畸形血管团,防止出血并较大限度保存神经功能。当前,根据AVM的类型,也分成几种治疗方式:一般位于皮层表浅非功能区的小AVM,应首选显微外科手术。位于脑中央区的小AVM可首选血管内治疗。体积中等大小的AVM可先行血管内栓塞,缩小病灶体积再行显微外科手术或立体定向放射外科治疗,最终顺利消除畸形血管团。

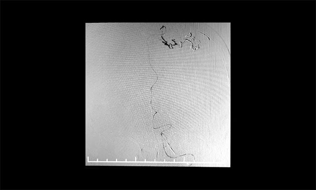
▲ DSA检查显示,中央后回动静脉畸形
患者为55岁男性,4月份突发右眼失明,头颅CT+CTA显示,左侧顶叶异常强化灶,考虑血管畸形AVM可能。经医院DSA检查,确诊为功能区动静脉畸形,畸形团分布较弥散,位于中央后回,主要由大脑前动脉分支供血,通过皮层静脉向上矢状窦引流。该患者畸形血管团体积较大,且与其相连的供血动脉及回流静脉交织纷乱、复杂、异常粗大,病灶紧邻运动中枢、语言中枢、书写中枢等重要结构。
张琪博士指出,考虑到患者畸形血管团结构复杂,而且在功能区,外科开颅切除风险很高,对于功能区的脑动静脉畸形,直接手术切除常会导致偏身感觉减退、肢体偏瘫等并发症。因此功能区的脑动静脉畸形通常是采用综合治疗的方法,即先通过介入栓塞一部分畸形团,残余畸形团体积较小时可以结合伽马刀治疗,达到较满意的治疗效果。同时介入栓塞是微创治疗,痛苦小,创伤小,避免了开颅手术带来的组织创伤,术后愈合时间缩短,并发症少。在征询患者及家属的意愿,并充分沟通后,立即制定了介入手术方案。
本手术成败的关键在于微导管超选择插管是否到达病变供血动脉,进入畸形血管团,并避开供应正常脑组织的穿支血管,这样行血管内栓塞治疗才不致引起并发症和后遗症。
另外,还要防止过度灌注综合征。过度灌注综合征主要发生在高血流病变栓塞时,尤其应用生物胶栓塞时,由于在瞬间将动静脉短路堵塞,原被病变盗去的血液迅速回流向正常脑血管,因正常脑血管长期处于低血流状态,其自动调节功能失调,不能适应颅内血流动力学的变化,将会出现过度灌注,致严重脑水肿、脑肿胀甚至发生不可控制的颅内出血。

▲ 张琪博士在为患者手术

▲ 微导管造影确认后,注入 Onyx 18胶
张琪博士团队制定了严密的手术计划,预料各种术中、术后可能出现的意外及并发症。7月12日行动静脉畸形介入栓塞术,术中导管在动静脉畸形部位缓慢推注Onyx18生物胶,DSA透视下显示胶在畸形中弥散良好,无明显反流,顺利栓塞。
术后,患者遵嘱动作,无四肢无活动及感觉障碍,无神经功能缺损,手术取得成功。下一步将结合伽马刀治疗。
张琪博士提醒,颅内动静脉畸形最危险的症状是破裂大出血,早发现、早诊断、早治疗,预防血管畸形破裂出血的发生是该病治疗的关键。如果有癫痫发作,或不明原因头痛等症状应尽早前往医院检查头部核磁共振平扫加血管造影术,以排除血管畸形的可能。
此文章仅作为临床学术研究、学术交流使用!
上一篇:探索生命“禁区”:神经外科李士其教授完成高难度小脑脑桥角脑膜瘤切除手术 下一篇:脑梗患者千里求医路艰难,终能行走送锦旗表谢意!
学术氛围热烈,思想碰撞不断。3月14日,第十三届芝加哥大学医学...【详细】


