头晕头痛在生活中十分常见,很多人不以为意,常当作小毛病处理。然而,这可能是脑部发出的危险信号!
头晕一个月,查出巨大脑膜瘤
深圳市卫生健康委员会官网2024年8月26日报道,李大哥(化名)今年49岁,是个勤勤恳恳的上班族。他身体素质不错,精力旺盛,干起活来比许多年轻人干得都要好。
一天,李大哥从工位上起身,突然感到一阵头晕眼花,他赶紧站定缓了一缓,头晕的劲儿很快就过去了,李大哥也就没太放在心上。可没想到,头晕的症状渐渐频繁了起来,持续了一个多月还未见好。李大哥心下有些不安,决定去医院做个检查,最终查出巨大脑膜瘤。
为何脑膜瘤发现时常常很大?上海蓝十字脑科医院【同济大学附属蓝十字脑科医院(筹)】6B神经外二科副主任卢云鹤博士解释:脑膜瘤多为颅内良性肿瘤,生长缓慢。尤其在“神经功能哑区”(对早期症状不敏感的区域),患者在早期几乎没有明显不适。只有当肿瘤长到一定程度,压迫周围组织或血管,影响大脑功能时,才会出现较明显的症状。一旦症状显现,往往意味着肿瘤已无生长空间,随时可能诱发脑疝甚至呼吸心跳骤停等致命危险,必须尽快手术。

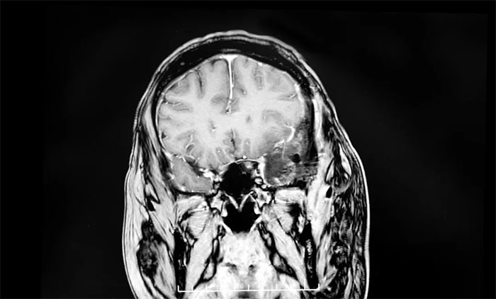
▲ 脑膜瘤早期症状较为隐匿
这些症状出现,务必提高警惕!
卢云鹤博士介绍,脑膜瘤起源于颅内硬脑膜或蛛网膜组织,是最常见的原发性脑肿瘤之一,约占中枢神经系统肿瘤的三分之一。好发于20-40岁人群,发病率随年龄增长,女性多于男性(男女比例约1:2)。多为良性单发,也可多发。常见位置包括矢状窦旁、大脑凸面、大脑镰旁,以及蝶骨嵴、鞍结节、嗅沟、桥脑小脑角等部位。
脑膜瘤症状因位置不同而异,常见首发症状包括头痛和癫痫:
1. 颅内压增高:头痛、恶心、呕吐(任何部位的脑膜瘤都可能引起)。
2. 癫痫发作:邻近运动皮层等区域的肿瘤可能刺激神经,导致全身性或部分性癫痫。
3. 脑功能受损:头晕、记忆力减退、反应迟钝、精神呆钝、步态不稳、肢体震颤(肿瘤巨大时常见)。
4. 颅神经功能障碍:复视、面部麻木、饮水呛咳、吞咽困难(颅底脑膜瘤典型表现)。
5. 运动/感觉异常与失语:运动区、感觉区或语言区受压所致。
6. 听力下降、记忆丧失、嗅觉丧失:可能因听神经、嗅神经受压迫。
早发现、早治疗,切勿讳疾忌医!
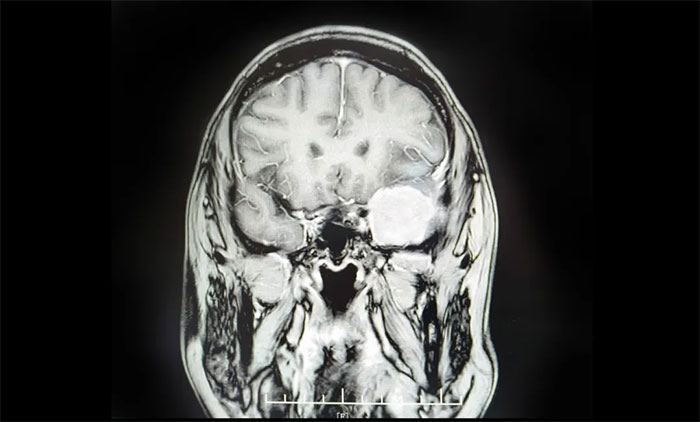
张女士的病例极具警示意义。两年前体检发现“颅内占位”,因担心手术风险选择了保守治疗。今年6月下旬,她突发持续性头晕,两周未缓解,预感不妙,遂前往上海蓝十字脑科医院求诊。
检查证实为左侧蝶骨嵴脑膜瘤。该肿瘤位置极其凶险:紧贴左侧语言中枢和运动皮层,损伤可能导致失语或瘫痪;与大脑关键供血主干——大脑中动脉(MCA)及重要静脉窦紧密粘连;深埋于蝶骨嵴颅底,手术视野狭窄,难度巨大。
最终,卢云鹤博士团队迎难而上,成功运用翼点入路手术,顺利切除了这枚4.5公分的巨大肿瘤。术后第二天,患者即肢体活动自如,言语清晰流畅,无新增神经功能损伤,目前正在康复中。

▲ 卢云鹤博士团队在为患者手术
专家强调:定期筛查是关键
卢云鹤博士再次强调,脑膜瘤生长隐蔽,尤其位于“哑区”时,早期难有症状,极易延误诊治,等发现时肿瘤往往已很大。忽视早期信号,可能错过最佳治疗时机。有条件者应定期进行脑部疾病筛查(如头部CT或MRI),早发现、早治疗,不能讳疾忌医!当出现肿瘤进行性增大、颅内压症状(头痛、恶心、呕吐)加重、视力改变或癫痫发作等症状,需要尽快就医,以免疾病继续进展,引发更严重的后果。目前,手术切除脑膜瘤是首选治疗手段。尤其随着显微手术技术的发展,显著提高了切除成功率和患者愈后。
若未及时治疗,患者病情将呈现进行性加重,会导致多种恶性循环因素,使病情迅速恶化甚至威胁生命。同时脑膜瘤会随着时间的推移越长越大,一旦长成巨大肿瘤,手术风险将成倍增加。一旦肿瘤长大,不仅会造成颅内压增高,引发脑疝(脑组织移位),而且瘤体过大,不仅给治疗带来困难,术后也容易造成神经功能损害,导致肢体活动障碍、昏迷、视力视野缺损等。
版权声明:部分图片源自摄图网,如有版权纠纷,请及时联系医院。一经查实,将立即删除。
专业指导:卢云鹤 博士 6B神经外二科副主任
上一篇:手脚麻木无力莫忽视,可能是中风预警信号! 把握急性溶栓“黄金时间窗”抢生机 下一篇:颈动脉:大脑的“生命线”为何易堵?席刚明教授解析斑块形成与脑梗死的紧密关联
学术氛围热烈,思想碰撞不断。3月14日,第十三届芝加哥大学医学...【详细】


