生活中,人们有时会被些“小毛小病”所扰,例如头晕、头疼、心慌等,有些人对此习以为常,不会引起重视,但小问题的背后却常常隐藏着“大危机”。
危机来临时,身体会通过各种各样的信号,向我们示警——一些平常被忽视的小状,都可能是大病来临前的征兆。比如头痛、头晕可能和脑肿瘤有关,若发现身体出现了这些“预警信号”,千万要引起重视,最好去医院做脑部影像学检查排除脑部疾病可能。
头晕头痛半年,花季少女查出脑肿瘤
《荆楚网》2024年1月18日报道:17岁的小妍是一名高中生,每天的生活充实而幸福,唯一的小忧虑是作业没做完,努力搞成绩之类的事情,横亘在面前最大的Boss就是高考,她绝不会想到就在积极备战高考的时候她会罹患脑肿瘤。
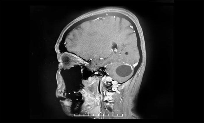
6个月前,小妍在无任何诱因的情况下出现了头晕,一旦发作就觉得天旋地转,2月前在头晕发作时还会出现枕部头疼,10余天前又出现了行走时步态不稳症状。小妍的母亲赶紧将小妍带到了当地医院检查,经行头颅MRI显示,在小妍的左侧小脑半球有一长T1长T2圆形囊实混合占位,大小约4.2*3.2cm,考虑为“脑血管母细胞瘤”,并且合并脑积水,建议其手术治疗。
这一结果无异于一个晴天霹雳,让这个刚从痛苦深渊跋涉出来的家庭再一次坠入了痛苦深渊。原来就在几年前,小妍的父亲也因为得了脑血管母细胞瘤,在本省医院做了几次手术后,终究无力回天,带着深深的眷恋离开了人世。不想,几年后,小妍也得了这个病,一想到此,小妍的母亲就肝肠寸断,眼泪止都止不住。
上海蓝十字脑科医院【同济大学附属上海蓝十字脑科医院(筹)】神经外科特需专家李士其教授指出,血管母细胞瘤虽然是一种良性的肿瘤,但它有个最大的问题就是会遗传,本人可能发,孩子可能发,孙子也可能发,一家可能好几个,呈现出家族性发病的特点。这种病给社会和家庭都带来了非常大的负担,所以一定要及时去发现,一定要做好优生优育。

▲ 头痛头晕,要警惕脑肿瘤
罕见肿瘤:血管母细胞瘤
李士其教授介绍,血管母细胞瘤又称血管网状细胞瘤,为良性肿瘤,起源于中胚叶细胞的胚胎残余组织,为颅内真性血管性的肿瘤。血管母细胞瘤是发生在脑和脊髓血管中的罕见肿瘤。它们可能出现在大脑的任何地方,但最常见于小脑和脑干,亦即是后颅窝的部位。据估计,血管母细胞瘤占该部位肿瘤的8%-12%,但仅占所有脑肿瘤的1%至2.5%。
随着血管母细胞瘤的生长,日益增大的肿瘤将会压迫到脑部,并且造成一些神经学上的症状,患者临床上以头痛为首发症状,大部分患者还可见呕吐、眩晕和复视等。本病可散发,也可家族遗传,患者可能单发肿瘤,也可能颅内脊髓多发。
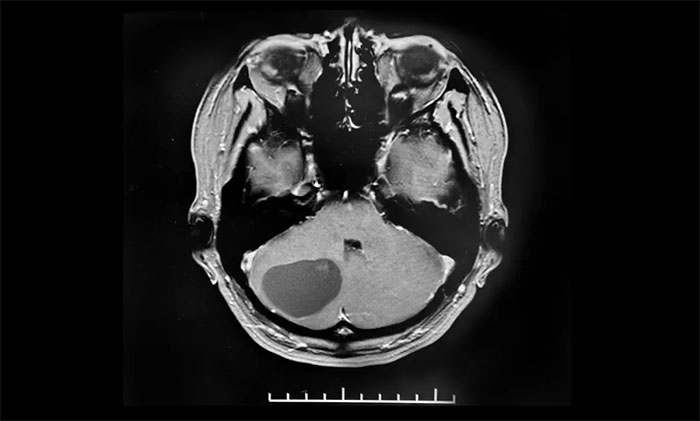
近日,上海蓝十字脑科医院6B神经外二科就收治了一位血管母细胞瘤患者。患者为中年女性,于入院前两个月无明显诱因出现头痛头晕症状,当时未引起重视,未治疗。随着时间推移,入院前一个月,头痛头晕症状加重才就医,最终确诊血管母细胞瘤。后辗转转入上海蓝十字脑科医院,最终经李士其教授手术,顺利切除肿瘤。

▲ 右侧小脑血管母细胞瘤,大小约34x34mm
早诊早治疗,手术切除是治疗血管母细胞瘤的首选
李士其教授指出,虽然血管母细胞瘤是良性肿瘤,但如果它们位于重要结构附近,则可能构成严重威胁并且难以治疗。如果肿瘤位于脑干延髓内部,切除手术需要冒着心跳骤停、呼吸衰竭、大出血、四肢瘫痪的巨大风险。通常血管瘤附着在软脑膜、大脑和脊髓被膜,从这些部位获得血液供应。因为血管母细胞瘤涉及血管,所以容易破裂,并且由于它们生长缓慢,它们可能在数月或数年内未被检测到。以前未确诊的血管母细胞瘤有时会在任何其他症状出现前破裂,导致脑内出血。
血管母细胞瘤治疗选择在大多数情况下,手术切除血管瘤被认为是治疗的首选,手术方法因肿瘤的位置和个体特征而异。尽管大约50%的血管母细胞瘤是实体瘤,但也有的包含液体的囊肿,这些囊液可能被排出,使得瘤体更易鉴别和切除。

▲ 李士其教授在为患者手术
李士其教授提醒,血管母细胞瘤多以头痛为首发症状,主要表现为间断性枕下痛,一些患者可有呕吐、眩晕等不适,肿瘤影响脑脊液循环时可产生脑积水而出现颅内压增高的表现。一旦出现上述症状,需尽早到有条件的医院排查病情,早诊早治疗,切莫拖延!
版权声明:部分图片源自摄图网,如有版权纠纷,请及时联系医院。一经查实,将立即删除。
此文章仅作为临床学术研究、学术交流使用!
上一篇:动脉粥样硬化导致多处脑动脉重度狭窄达90% 分期介入手术打通血运通道 下一篇:频繁肢体麻木,当心是脑梗死征兆!
学术氛围热烈,思想碰撞不断。3月14日,第十三届芝加哥大学医学...【详细】


