大脑主要包括左、右大脑半球,是中枢神经中较大和较复杂的结构体,是调节机体功能的器官,也是意识、精神、语言、学习、记忆和智能等高级神经活动的物质基础。大脑半球借沟和裂分为5叶:即额叶、颞叶、顶叶、枕叶和脑岛。颞叶主要负责处理听觉信息,也与记忆和情感有关。
让人“头痛”的颞叶肿瘤
临床上,颞叶肿瘤的发生率在大脑半球肿瘤中居第二位,仅次于额叶肿瘤的发生率。该脑区常见肿瘤为胶质瘤和脑膜瘤,另外转移瘤等亦常在此部位发生。
颞叶肿瘤的常见症状包括:
1.头痛、头晕、恶心、呕吐:这是颞叶肿瘤最早且最常见的症状,是由于肿瘤压迫大脑颞叶部位组织,引起颅内高压所致。
2.视野改变:这也是颞叶肿瘤早期症状之一,可据此判断肿瘤位置。
3.感觉性失语:患者能够理解他人说话的意思,自己也可以说话,但往往无法清楚表达意思,常用错字、讲错词。
4.癫痫发作:颞叶癫痫发作的特点是先兆多样,症状复杂,可有神志恍惚、言语错乱、精神运动性兴奋、情绪和定向力障碍、幻觉、错觉、记忆力缺损等。
5.精神症状:主要表现为人格改变、情绪异常等。
上海蓝十字脑科医院神经外科主任沈建康教授指出,需要特别注意的是,颞叶肿瘤早期多无典型的临床症状。尤其肿瘤位于右侧者,多数仅表现为头痛头晕等颅压增高症状,其他症状和体征较少出现,容易被忽视。
头痛四月余 查出巨大颞叶肿瘤
今年四十岁的女性患者洪某(化名),于四个多月前无明显诱因出现头痛呕吐症状,当时并没有太在意,未及时就医。近期,因头痛不适感持续,加之语言表达能力明显下降、情绪烦躁易怒,前往当地医院就诊检查。行头颅CT检查发现,右侧颞叶占位。
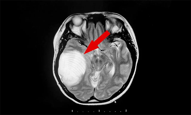
由于当地医疗条件所限,患者遂在亲友推荐下慕名来到上海蓝十字脑科医院寻求进一步诊断治疗。入院后,经头颅增强核磁检查,发现患者右侧颞叶单发巨大混杂信号占位病变,病灶约 5.4×6.7×4.9 cm,结合病灶影像特点,诊断其为胶质瘤可能性较大。

▲ 患者右侧颞叶单发巨大混杂信号占位病变
胶质瘤是最常见的原发性颅内肿瘤,占颅脑肿瘤的40%~50%。对于胶质瘤,国际上公认的首选治疗方法是以手术为主的综合治疗,应在保证安全的前提下尽量全切肿瘤。但生长于颞叶区的胶质瘤与正常脑组织边界不清,尤其像这样体积较大的肿瘤,手术极有可能损伤邻近的重要功能中枢神经系统和血管,风险很大。
在进一步完善相关检查,明确无明显禁忌症的情况下,沈建康教授与医院神经外科6A病区侯增欣主任团队针对这一病例开展了严谨的术前评估讨论。大家一致认为,颞叶肿瘤位于脑部重要功能区,治疗以手术为首选,考虑肿瘤较大,手术难度较高,需做好充分的术前准备和应急预案。在向家属明确告知手术必要性和风险,获得充分理解并签字同意后,沈建康教授亲自主刀,在侯增欣主任的协助下,为患者开展了手术。

▲ 沈教授通过蔡司显微镜(双荧光)进行手术
术中可见,患者颞后部颞底处脑组织颜色发黄,沈教授小心翼翼地切开脑组织表面,游离脑组织即可见深处有黄色胶冻样肿物,肿物与脑组织边界不清。
借助蔡司显微镜(双荧光),沈教授逐步将镜下可见的肿物全部切除,整台手术历时3.5小时。术后患者生命体征平稳,安返监护病房。经对留取肿物进行病理分析,该肿物为胶质瘤。由于手术进行顺利,患者头晕头痛等症状基本消失,未出现严重并发症。
胶质瘤需要综合治疗,手术切除是治疗的一部分。手术切除样本除进行常规病理检查外,还需要进行分子病理学检测和基因检测。根据检测结果,选择敏感的化疗药物,进行标准同步放化疗治疗。
为什么脑胶质瘤切除后,患者还需要接受放化疗治疗呢?
这是患者家属普遍关心的问题。原来,胶质瘤是恶性肿瘤,一般都是弥漫浸润性生长,多数范围都很大并且弥散,除了少数一级的或二级体积小的且位于非功能区的胶质瘤可以切干净外,大多数的胶质瘤是达不到细胞层面全切的。举例来说,胶质瘤就像大树的树根,手术切掉了主根,小的扎到远处泥土里的根须都切除干净是非常困难的,这是因为脑部有很多重要的功能区,比如运动及语言等等,一旦功能区在手术中受损会带来功能障碍,影响生活质量甚至造成患者死亡。那么,残留的肿瘤细胞就需要用放疗和化疗等方法来进行抑制或消灭,来延长患者的生存期。
沈建康教授提醒,脑胶质瘤所导致的症状和体征,主要取决其占位效应以及所影响的脑区功能。患者一般会出现头痛、恶心及呕吐、癫痫、视物模糊等症状。此外,胶质瘤由于恶性程度不同,其所产生症状的速度也不同。因此,对于胶质瘤应争取做到早期诊断、及时治疗。同时,胶质瘤患者务必做到定期检查,以防再次复发和恶化。
此文章仅作为临床学术研究、学术交流使用!
上一篇:八旬老伯大脑中动脉重度狭窄致瘫 DSA介入及系统治疗后能生活自理 下一篇:他头晕并记忆力下降疑患阿尔兹海默症 潘仁龙团队行颞肌贴敷术两周出院
学术氛围热烈,思想碰撞不断。3月14日,第十三届芝加哥大学医学...【详细】


