乳腺癌,常被称为“粉红杀手”, 是中国女性发病率最高的癌症,癌症死亡原因位居第六。
乳腺癌威胁女性健康
世界卫生组织数据显示,中国女性乳腺癌发病例数占全球发病总数的11.2%,仅次于美国,死亡例数比例达到9.2%。我国国家癌症中心的数据显示,我国乳腺癌发病率正以每年2.5%的速度递增。

北京和上海的数据显示,乳腺癌有两大发病高峰:第一个出现在45-55岁之间;另一个出现在 70-74 岁之间,并且诊断为乳腺癌的中位年龄有逐渐增大的趋势。
当乳腺癌进行到晚期,出现远处器官的转移后,易引发不同的临床症状。例如,脑转移患者就会出现颅内压升高的症状,如头疼、喷射性呕吐等。
大量临床实践证明,放疗对于脑转移有较好的疗效,可以显著改善症状和提高生活质量。51岁的王女士就是现代放疗技术——伽玛刀治疗下的一位受益人。
脑转移后身体日渐衰落
去年底,王女士在无明显诱因的情况下,出现头晕头痛、恶心呕吐、肢体乏力。因为之前得过乳腺癌,所以当她在当地医院查出右脑枕顶叶肿瘤时,医生结合她既往乳腺癌伴肺转移的病史,直接考虑为乳腺癌脑转移瘤。

这一结果无论是对王女士,还是对其家属来说,都犹如晴天霹雳。于他们而言,转移就意味着痛苦和不幸,更何况是脑转移。这简直是要人命的事情!
在医生的建议下,王女士接受了药物保守治疗,但控制效果并不理想。不能进食,进食即吐,身体也越来越虚弱,连路都走不了,只好坐进了轮椅,到最后甚至连生活自理的能力都一并失去了。
看着王女士的身体状况一天比一天糟糕,医生也只能建议家属尽快寻找上级医院,评估接受放射治疗的可行性。
“看到了希望的曙光,哪能轻言放弃!”回想当时的情形,王女士的家属感慨万千。多亏了亲友的推荐,才让他们得以了解到上海蓝十字脑科医院,才让他们得以遇见专业的医生团队和先进的放疗设备,才让他们得以有进一步治疗的可能。
“双管齐下”遏制病情进展
入院后,肿瘤科(放疗)头部伽玛刀组主任陈琦,在详细了解王女士的既往病史后,有针对性地完善了相关检查。在这期间,王女士出现持续头晕、呕吐症状,情况不容乐观,家属十分担心。

▲ 陈琦主任分析患者病情
经过一系列抽丝剥茧的探查,诊断逐渐明确后,陈主任结合病情特点和影像检查结果,为王女士制定了科学、个性的治疗方案。同时,他还极力宽慰王女士及其家属,让他们保持良好心态,积极配合治疗,并为他们深入浅出地讲解了伽玛刀的治疗步骤和过程。
第一步,通过立体定向穿刺,引流病灶区域的坏死囊液,快速缓解由病灶占位效应引起的颅高压症状及神经功能障碍。

▲ 安装头架

▲ 立体定向穿刺引流
第二步,开展头部伽玛刀治疗,通过高能伽玛射线照射病变组织,毁损靶区肿瘤组织。

▲ 开展头部伽玛刀治疗
经过“双管齐下”的治疗,癌细胞的发展与扩散得到了有效控制,肿瘤占位效应减少,各种临床症状也得以快速缓解。经过一段时间的康复治疗后,王女士头晕、呕吐等症状明显好转,最终顺利出院。
“刚来医院时,她坐轮椅都会感到头晕恶心,现在已经行动自如了!”王女士的家属开心地说。大家都说,曾经那个喜欢“载歌载舞”的大姐又回来了。

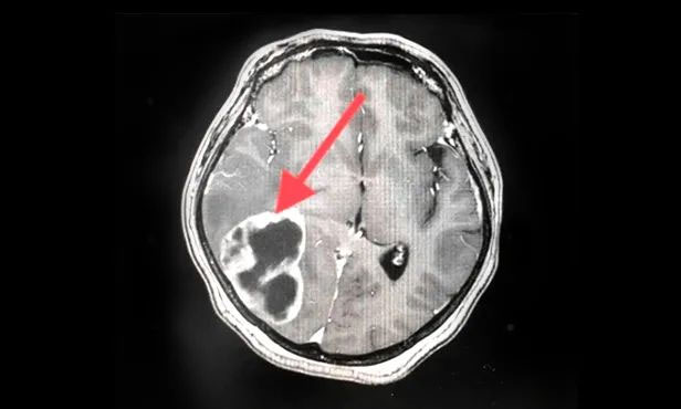
▲ 刚入院时病灶影像

▲ 完成穿刺,黑色囊液被顺利引流

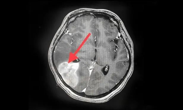
▲ 经复查,病灶较前明显缩小
按照肿瘤复查的标准,复查影像显示王女士颅内病灶相较于来院时明显缩小。家属为此特意向陈琦主任致谢,并对医院的治疗和服务表达了充分肯定。

▲ 家属对陈主任表示感谢
定期筛查 科学施治 预防控制乳腺癌
陈琦主任提醒,预防乳腺癌定期筛查很关键。早期发现是所有癌症降低死亡率的有效方式。随着医学进步,96%以上的乳腺癌都是可以治疗的,只要早期发现,还能免除乳房切除的痛苦。
对于一般女性来说,建议20岁后每月1次乳腺自查;20~29岁每3年1次临床体检;30岁后每年1次临床体检;从35岁开始,每隔一年做一次钼靶检查;40岁后,每1~2年做一次钼靶检查;60岁后,可隔2~3年检查一次钼靶。建议所有30岁后的女性,每年做一次超声检查。对于一些乳腺癌高危人群,请在医生指导下,尽早尽速开始筛查。

▲ 玛西普新一代头部伽玛刀
最后,陈琦主任特别强调,一旦发现乳腺癌转移,哪怕是脑转移,也不必过于惊慌。随着医疗技术的不断发展进步,医生会根据乳腺癌患者不同的分子分型、肿瘤大小、数量、位置以及患者自身身体状况等多种因素综合评估,以拟定相应合适的治疗方案和计划。
科学合理的治疗手段,不仅可以减轻病痛、改善生活质量,而且可以有效延长患者的生存期。
部分数据来源于《中国青年报》2020.11.16.
版权声明:部分图片源自摄图网,如有版权纠纷,请及时联系医院。一经查实,将立即删除。
此文章仅作为临床学术研究、学术交流使用!
上一篇:7旬老翁口腔内出血不止 介入栓塞颌内动脉成功止血 下一篇:神经电生理监测下 李士其教授团队成功切除“鹅蛋大”胶质瘤
学术氛围热烈,思想碰撞不断。3月14日,第十三届芝加哥大学医学...【详细】


