胶质瘤是颅内最常见的恶性肿瘤,发病率占颅内原发性肿瘤的50%,居第1位。多见于成人,好发部位以额叶、颞叶、顶叶居多。胶质瘤患者男性发病率高于女性,发病年龄以成人多见,30-40岁为发病高峰年龄。不同病理类型的胶质瘤各有其高发年龄,室管膜瘤的高发年龄在10岁以前,星形细胞瘤多见于中年人,老年人以胶质母细胞瘤多见。
胶质瘤的临床症状主要分为:
(1)由肿瘤占位引起的高颅压症状,即由于颅内压增高,引起患者头疼、恶心、呕吐、眼底水肿等症状。其中,呕吐并不同于普通的吃东西导致的恶心、呕吐,而是一种喷射性呕吐。
(2)肿瘤侵犯不同的功能区,导致不同的功能障碍。发生在额叶的胶质瘤会表现为精神行为的改变,尤其是老年人的额叶胶质瘤,会出现反应迟钝、精神行为异常,甚至随地大小便等;颞叶主管人体的语言和听觉中枢,如果胶质瘤发生在此处,就可能出现感音性失语,就是别人说话,患者听不懂,答非所问;发生在枕叶的胶质瘤会导致患者出现视野缺损;还有一种胶质瘤发生在大脑运动功能区,如大脑中央前回和中央后回,患者会出现感觉障碍或者运动障碍,也就是偏瘫或半身麻木等。
(3)绝大部分脑胶质瘤的患者都以癫痫发作为主要表现,肿瘤发生的位置不同,癫痫发作的部位也不一样。

▲ 肿瘤占位会引起高颅压症状如:头疼、恶心、呕吐等
胶质瘤治疗:以手术为主的综合治疗
根据世界卫生组织(WHO)制定的分级系统,将脑胶质瘤分为Ⅰ级到Ⅳ级。应该注意:Ⅰ级与Ⅱ级胶质瘤生长缓慢,大脑逐渐适应。当出现癫痫小发作、性格改变、记忆与学习障碍等症状时应尽早进行影像学检查。临床上,CT诊断胶质瘤病较为困难,MRI(核磁共振成像)在发现和显示肿瘤范围方面比CT更为清晰和敏感。
对神经胶质瘤的治疗以手术治疗为主,胶质瘤的手术切除原则是既要尽可能彻底切除肿瘤,缓解颅内压增高和占位效应,改善神经功能,又要尽可能保护脑重要的功能区。胶质瘤手术切除的主要目的是获得病理诊断,为选择合适的后续治疗提供组织学依据;切除肿瘤消除占位,降低颅压;减轻肿瘤引起的神经系统症状和体征。
但由于肿瘤浸润性生长,与脑组织间无明显边界,除早期肿瘤小且位于适当部位者外,一般都主张综合治疗,通过手术全切或近全切为放疗和化疗等联合治疗创造条件,即术后配合以放射治疗、化学治疗等,可延缓复发及延长生存期。
中年男子罹患脑肿瘤 保守治疗14年后突发肿瘤卒中昏迷
患者为45岁中年男性,在2009年4月体检时发现颅内占位性病变,就诊上海某三甲医院行头颅MRI增强提示,颅内有一8x8cm占位性病变,考虑肿瘤巨大并且位置深在,给予化学药物治疗。2021年,求医郑州某医院,给予中药治疗。2022年在当地三甲医院复查头颅MRI提示占位性病变,继续给予化学药物治疗。
今年10月7日,患者突发意识不清,伴右手不自主抖动,呼唤有反应,反应迟钝,立即就诊于当地医院。行头颅增强MR提示:左侧额顶叶、胼胝体体部及压部、丘脑占位伴左侧顶叶占位,范围较前明显增大,均以弥漫性胶质瘤考虑伴左顶叶肿瘤卒中出血。10月11日,患者症状较前加重,出现嗜睡,反应迟钝,右侧肢体肌力明显下降。当地医院表示无法救治,希望渺茫。
之后,患者家属抱着最后一线希望,慕名求医上海蓝十字脑科医院。神经外科特需专家李士其教授、周范民教授、黎军主任,神经外科6B病区潘仁龙主任对患者影像资料、病史进行了会诊。李士其教授指出,根据影像资料结合病史,患者主要是吃了过多化疗药物导致肿瘤组织结构改变,发生肿瘤卒中,导致出血,产生颅内高压导致患者昏迷,仍然有手术希望的,但是风险也是不言而喻。
李士其教授一锤定音,让家属看到一线生机。最终,在家属的强烈要求下,决定接受手术治疗。患者在昏迷5天后,顺利由救护车护送跨越500多公里顺利抵达上海蓝十字脑科医院,收治于神经外科6B病区。

▲ 患者昏迷,危在旦夕
迎难而上 李士其教授团队顺利切除8公分巨大肿瘤
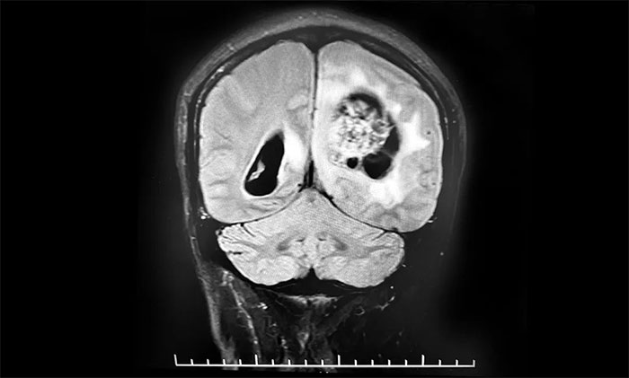
头颅MRI平扫+增强+DWI+MRA提示,左侧顶枕叶巨大肿瘤伴局部瘤卒中,幕上脑室系统、脑干受压变形,中线结构右移19mm,大脑镰下疝形成。李士其教授等专家团队会诊指出,患者脑内巨大占位,性质不明,并且患者已经发生脑疝昏迷,生命危在旦夕,应尽快进行手术治疗,挽救患者生命,同时明确病理诊断。

▲ 左侧顶枕叶巨大肿瘤伴局部瘤卒中

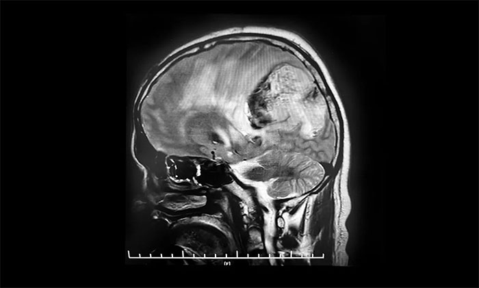
▲ 术前MRA,了解肿瘤供血情况
李士其教授指出,手术治疗的目的不仅在于切除肿瘤,可以解除肿瘤及水肿对脑组织的压迫,改善颅内高压和由于物理压迫造成的神经功能下降;还能明确病变性质、级别和恶性程度的高低、肿瘤属于哪种类型,这些都有助于医生分析预后、评估放化疗的敏感性以及制定放化疗及靶向治疗方案等。只有明确病理性质及分子病理,才能有针对性的开展下一步治疗,为后续治疗打下良好基础。
术前,潘仁龙主任给予患者脱水剂、白蛋白、甘露醇等药物治疗,患者病情逐渐稳定,可以睁眼,身体相关指标达到手术条件。为了进一步降低手术风险,李士其教授等专家团队进行了详细的术前准备,包括手术设计、切口大小设计、手术备血等。同时,术前进行了磁共振血管成像,详细了解肿瘤供血情况,确保手术可控,万无一失。
李士其教授表示,由于肿瘤较强的浸润性,常导致与正常脑组织之间边界不清。如何在尽可能切除病变组织的同时,以最小的创伤获取最大的治疗效果,是这一类手术的难点。神经电生理监测可以为主刀医师提供重要信息,协助辨别重要神经或脑组织结构,以保护重要的神经组织,减少术后并发症的发生。
10月15日上午,历时5个小时,籍由神经电生理监测对病灶的精准定位,有着丰富手术经验的李士其教授在黎军主任协助下,显微镜下精准地完成了肿瘤切除手术,并保留了患者脑功能区在解剖上和功能上的完整性。术后,患者神志清楚,肢体活动和语言功能正常,右侧肢体活动逐渐恢复,无新发功能缺损,复查CT,中线移位已经回归正常,手术圆满成功。

▲ 李士其教授团队正在为患者手术
“一直不知道可以手术治疗,耽误了这么多年,这次多亏了周范民教授、李士其教授、黎军主任、潘仁龙主任!”术后半个月再见时,患者激动地说。
术后病理确诊为胶质瘤,李士其教授据此与放疗科专家行MDT讨论,制定进一步放化疗方案。有鉴于手术的成功,才为后续的综合治疗打下了良好的基础,提高了患者的生存质量。李士其教授还不忘叮嘱患者,出院后一定要定期检查,以防再次复发和恶化。
李士其教授郑重提醒,对于胶质瘤应争取做到早期确诊,及时治疗,以提高治疗效果。一旦进入晚期,不但手术困难、危险性大,而且常伴有神经功能缺失后遗症。
版权声明:部分图片源自摄图网,如有版权纠纷,请及时联系医院。一经查实,将立即删除。
此文章仅作为临床学术研究、学术交流使用!
上一篇:视力突然下降 要警惕这种容易复发的中枢神经系统肿瘤 下一篇:气温骤降 五旬阿姨面肌痉挛症状加重 微血管减压术助她重拾笑颜
2026年5月25日是世界预防中风日。脑卒中防治重在“早发现、早预...【详细】


