垂体瘤,是颅内最常见的神经内分泌肿瘤。尽管是良性肿瘤,切除即可,但很多垂体瘤的生长具有侵袭性,一旦出现垂体瘤侵袭到海绵窦,对于患者和医者来说都可能面临灾难性的后果:或因肿瘤残留而复发,或因颈内动脉破损出现致命后果,尤其是当垂体瘤侵袭海绵窦的Knosp分级达到4级时,意味着术者已经迈进了禁区中的禁区。
近日,上海蓝十字脑科医院神经外科李士其教授团队行经蝶和经颅联合入路分次手术,顺利切除4公分巨大侵袭性垂体瘤。术后,患者恢复良好,目前已康复出院。
巨大垂体腺瘤——神经肿瘤外科的一大难题
垂体腺瘤发病率在颅内肿瘤中仅次于颅内胶质瘤和脑膜瘤,约为颅内肿瘤的10%。其中直径在3cm以上且向鞍旁和视丘下部伸展者称为巨大腺瘤,而巨大垂体腺瘤则更为少见,约占垂体瘤的6%,包括侵袭性及非侵袭性巨大垂体腺瘤。
巨大垂体腺瘤生长体积较大,可向各个方向生长。一般可将巨大型垂体腺瘤分为4型:
Ⅰ型:鞍隔下型,可侵入蝶窦,无或有轻度海绵窦受累。
Ⅱ型:海绵窦受累,垂体瘤向着鞍膈以上或鞍旁生长,压迫或侵及海绵窦,第三脑室可受压移位。
Ⅲ型:鞍内-鞍上型,肿瘤向鞍前后及侧方发展,海绵窦轻度受压,第三脑室底受压明显或室间孔受阻。
Ⅳ型:广泛侵袭型,鞍内生长并侵犯蝶窦及海绵窦,无或有第三脑室受累。
由于其肿瘤生长区域神经血管丰富、解剖结构复杂,容易压迫视神经、视交叉及下丘脑等重要结构,手术难度大,全切率较低,肿瘤术后死亡率及术后复发率较高,术后出现并发症多,使其治疗成为神经肿瘤外科的一大难题。现存在多种手术入路方式切除,大体可分为经鼻蝶入路、幕上开颅手术、经鼻-开颅联合入路等手术方式。

▲ 巨大垂体腺瘤手术难度大
指南推荐联合入路手术
《中国垂体腺瘤外科治疗专家共识》指出,垂体腺手术治疗目的包括切除肿瘤缓解视力下降等周围结构长期受压产生的临床症状;纠正内分泌功能素乱;保留正常垂体功能;明确肿瘤组织学。其对垂体瘤手术指征做出以下推荐:
1、经鼻蝶入路手术
①存在症状的垂体腺瘤卒中。
②垂体腺瘤的占位效应引起压迫症状。可表现为视神经、动眼神经等临近脑神经等受压症状以及垂体受压引起的垂体功能低下,排除催乳素腺瘤后应首选手术治疗。
③难以耐受药物不良反应或对药物治疗产生抵抗的催乳素腺瘤及其他高分泌功能的垂体腺瘤(主要为ACTH瘤、GH瘤)。
④垂体部分切除和(或)病变活体组织检查术。垂体部起源且存在严重内分泌功能表现(尤其是垂体性ACTH明显增高)的病变可行垂体探查或部分切除手术;垂体部病变术前不能判断性质但需治疗者,可行活体组织检查明确其性质。
⑤经鼻蝶手术的选择还需考虑到以下几个因素:瘤体的高度;病变形状;瘤体的质地与血供情况;鞍隔面是否光滑完整;颅内及海绵窦侵袭的范围大小;鼻窦发育与鼻腔病理情况;患者全身状况及手术意愿。
2、开颅垂体腺瘤切除手术
不能行经蝶实入路手术者;鼻腔感染患者。
3、联合入路手术
肿瘤主体位于鞍内、鞍上、鞍旁发展,呈“哑铃”形。
体检发现巨大侵袭性垂体瘤,手术治疗迫在眉睫
患者为57岁男性。两年前无明显诱因出现头晕不适,呈间断性发作,伴有手指头麻木不适,当时未予诊治。最近,患者在体检时行头颅CT 检查发现垂体占位。后为寻求进一步治疗,慕名求医上海蓝十字脑科医院。
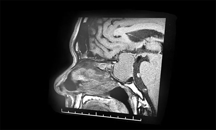
行鞍区磁共振增强提示:蝶鞍显著扩大,鞍区见一典型的“哑铃”状肿块,大小约40*43*24mm。病变向鞍上生长,凸入鞍上池,推移视交叉;向下生长,鞍底受压变薄、凹陷,蝶窦受压;右侧海绵窦可见包绕。
李士其教授、黎军主任、潘仁龙主任组成的专家团队通过详细了解病史和仔细阅片后,为患者认真分析了目前的病情及手术风险,并反复讨论、仔细评估。从影像学资料上看,肿瘤呈“哑铃”形,并且瘤体已经非常大了,属于巨大垂体瘤。瘤体占据鞍区,并向蝶窦和鞍上发展,侵袭右侧海绵窦,视神经、视交叉受压,所以需要马上进行手术切除,解除压迫,若任其发展,患者将来有失明的风险。

▲ 巨大垂体瘤,呈“哑铃”形
经蝶和经颅联合入路分次手术 顺利切除巨大侵袭性垂体瘤
李士其教授分析,病变已经侵袭海绵窦,单纯采用以往经鼻入路或经颅入路的术式均难以全切肿瘤,并且颈内动脉损伤的风险极大。如何将颈内动脉损伤风险降到最低,又能尽可能全切肿瘤?李士其教授团队经过充分讨论,决定采用经蝶和经颅联合入路手术策略切除肿瘤。目前联合入路切除垂体瘤通常有两种方式,一是采用联合入路一次手术实现肿瘤全切除,二是分次手术以达到肿瘤切除的目的。
李士其教授介绍,此类手术,对患者的视力保护极其重要,对于巨大垂体瘤难以一次性手术切除的肿瘤,可以先行一次手术,然后在数周或数月后执行进行二次手术,即经蝶和经颅联合入路分次手术策略。结合患者身体状况,在征得患者及家属同意后,李士其教授团队决定行经蝶和经颅联合入路分次手术切除巨大侵袭性垂体瘤。

▲ 李士其教授团队在手术中
最终,李士其教授团队在8月20日先行经颅手术,三个月后,11月24日再次行经鼻手术,顺利切除4公分巨大侵袭性垂体瘤。
术后,患者无新发功能缺损,目前患者已康复出院。李士其教授叮嘱患者出院后仍要坚持定期复查。
垂体瘤虽然大部分属于良性肿瘤,对人体主要危害是导致人体内分泌紊乱以及颅内神经压迫症状等。由于肿瘤压迫周围神经组织引起的相应临床表现,如头痛、头晕、视力下降、视野缺损等临床表现,有时常被误认为“老花眼”进而耽误早期治疗。李士其教授提醒,如果出现莫名的头痛、头晕或视力短期内急剧下降,应及时就医,行鞍区头颅磁共振检查。
版权声明:部分图片源自摄图网,如有版权纠纷,请及时联系医院。一经查实,将立即删除。
此文章仅作为临床学术研究、学术交流使用!
上一篇:微创巧“拆弹” 席刚明教授团队顺利行血流导向装置置入术治疗颅内多发动脉瘤 下一篇:天气转冷,“80后”女子头痛明显加重,原来是颅内“不定时炸弹”作祟
学术氛围热烈,思想碰撞不断。3月14日,第十三届芝加哥大学医学...【详细】


