
▲ 莫名头痛、头晕,视力骤降,要警惕垂体瘤
垂体瘤是一组从垂体前叶和后叶及颅咽管上皮残余细胞发生的肿瘤。
常见的垂体瘤主要有泌乳素腺瘤、生长激素腺瘤、促肾上腺皮质激素腺瘤、促甲状腺激素腺瘤等,多为良性。其发病率为颅内肿瘤的第三位,临床上有明显症状者约占颅内肿瘤的10%,男性略多于女性。
垂体瘤多发于青壮年时期,常常会影响患者的生长发育、生育功能、学习和工作能力。
垂体瘤如不及时治疗,会对人体产生很大的危害,一方面是激素水平异常升高所造成的危害,如体力精力下降、不孕不育、性功能障碍等,重者导致糖尿病、心脑血管疾病、呼吸系统疾病等严重后果。另一方面,肿瘤长大会对周围组织产生压迫或者侵犯,最常见的就是对视神经的压迫。
此外,垂体瘤长到一定程度可以往上下、左右、前后、周围扩散,而且在垂体处于脑中央部位,周围遍布中枢神经最重要的结构。所以,及时诊断与治疗垂体瘤十分有必要。
近日,上海蓝十字脑科医院神经外科6B病区团队就顺利为一位侵袭性巨大垂体腺瘤患者进行了手术,为其解除长久病痛。
头痛头晕、视力骤降只因垂体瘤作怪
张阿姨,54岁,今年8月份开始出现左侧头部疼痛,伴有肢体乏力,头痛严重时觉得天旋地转,行走不稳。休息后无好转,头痛、乏力逐渐加重。
11月初,去当地医院就诊时,视力也大受影响,张阿姨双眼视力均仅能数指。医院查垂体MRI增强提示鞍区占位,考虑垂体大腺瘤,左侧海绵窦受侵。
由于肿瘤体积较大,当地医院建议转上级医院治疗。张阿姨在家人陪伴下来到上海寻诊,后慕名转入上海蓝十字脑科医院做进一步治疗。
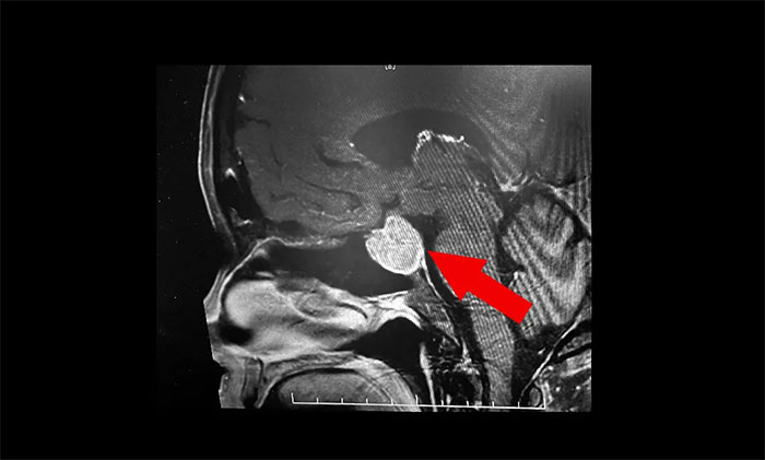
鞍区MRI平扫+增强显示:蝶鞍显著扩大,鞍区见不规则状肿块,大小超3公分。病变向鞍上生长,突入鞍上池,推移视交叉;向鞍旁生长,侵及左侧海绵窦,海绵窦内颈内动脉包裹,继续向侧旁生长,毗邻左侧颞叶受压内移向后生长。

▲ 影像显示垂体占位,侵犯海绵窦
李士其教授、潘仁龙主任、吴治群博士组成的专家组会诊后,考虑为侵袭性巨大垂体腺瘤。从影像学资料上看,瘤体已经十分巨大,占据鞍区,并向蝶窦和鞍上发展,侵袭左侧海绵窦,视神经、视交叉受压,应立即施行手术切除,解除压迫,若任其发展,将面临失明的风险。
巨大垂体腺瘤——肿瘤神经外科的一大难题
垂体腺瘤中,直径3cm以上且向鞍旁和视丘下部伸展者称为巨大腺瘤,而巨大垂体腺瘤则更为少见,约占垂体瘤的6%,分为侵袭性及非侵袭性两种。
巨大垂体腺瘤生长体积较大,可向各个方向生长。由于其肿瘤生长区域神经血管丰富、解剖结构复杂,容易压迫视神经、视交叉及下丘脑等重要结构,手术难度大,全切率较低,肿瘤术后死亡率及术后复发率较高,术后出现并发症多,其治疗成为神经肿瘤外科的一大难题。
经鼻蝶入路 李士其教授成功切除侵袭性巨大垂体腺瘤
巨大垂体腺瘤的手术入路大体可分为经鼻蝶入路、幕上开颅手术、经鼻-开颅联合入路等。其治疗目的,是为视神经和视交叉减压,最大限度切除肿物,恢复内分泌功能和减少术后并发症。
经颅手术或经颅经蝶联合手术由于创伤大,术后并发症相对较高。经蝶手术由于不直接干扰下视丘、脑组织及脑血管,其创伤及并发症发生率低于经颅手术,是治疗垂体腺瘤较常使用的方法。
而经单鼻孔入路的手术方式虽然微创,但实际可操作空间非常有限,因肿瘤较大且周围的血管、神经、骨质侵袭浸润,同样非常不利于肿瘤的完全切除。另外,由于垂体是人体的内分泌中枢,术后容易出现尿崩症、垂体相关激素水平低下等并发症,手术风险和难度不言自喻。

▲ 李士其教授正在为患者手术
在制定详细手术方案并充分完善术前准备后,11月23日,李士其教授在吴治群博士、黄秀夫医生协助下为患者行经鼻蝶手术,经过3个多小时的手术,在显微镜下顺利分离、切除巨大垂体腺瘤,最大程度地保护了周围重要组织结构。术后患者头痛头晕症状消除,视力视野明显较术前改善,无新增神经功能障碍。目前患者已经顺利康复出院,李士其教授叮嘱患者出院后仍要坚持定期复查。
李士其教授表示,垂体瘤大部分属于良性肿瘤,对人体主要危害是导致人体内分泌紊乱以及颅内神经压迫症状等。由于肿瘤压迫周围神经组织引起的相应临床表现,如头痛、头晕、视力下降、视野缺损等临床表现。有时常被误认为“老花眼”,进而耽误早期治疗。
李士其教授提醒,如果出现莫名的头痛、头晕或视力短期内急剧下降,应及时就医,行鞍区头颅磁共振检查。
警惕垂体瘤常见症状应早发现早治疗
1、引发头痛
2/3的患者早期都会出现此症状,疼痛主要位于眼眶后、前额部及双侧太阳穴附近,程度较轻,呈间歇性发作。主要是由于垂体瘤起源于颅底的蝶鞍内,蝶鞍周围为密闭的骨质,只有上方覆以韧性的鞍隔,肿瘤直接刺激或生长后造成鞍内压升高而引起头痛。
2、视力下降
当垂体瘤不断增大,会对周围的重要组织产生压迫作用,最常见的是视神经,会引起视力、视野的改变。通常来说短期出现视力下降,就需要高度怀疑垂体瘤,特别是老年人。在临床上,经常有这种病人,病人发现视力下降,一直看眼科,看了好长时间都没发现是什么问题,到后面压迫很厉害了,最后才考虑到是垂体瘤,做了检查后证实是垂体瘤。
3、内分泌功能紊乱
脑下垂体中的各种内分泌细胞可产生相应的内分泌细胞腺瘤,引起内分泌功能紊乱。在早期微腺瘤阶段即可出现内分泌功能亢进征象,随着腺瘤的长大和发展,可压迫、侵蚀垂体组织及其垂体、蝶鞍周围结构,产生内分泌功能下降症状,引发糖尿病、心脑血管疾病等各种慢性疾病。
4、生长激素亢进
嗜酸性垂体腺瘤如发生在骨骺闭合前表现为巨人症,发病在成年后则为肢端肥大症,介于两者之间的为混合型。
5、不孕不育
在临床上泌乳素瘤占垂体瘤的一半以上,由于垂体分泌的高泌乳素的影响及雌激素的减少,女性患者往往会出现月经量明显减少、泌乳,继而导致闭经、不孕等症状。而男性患者则会出现胡须变少、女性化、乳房发育、性功能低下、不育等症状。
此文章仅作为临床学术研究、学术交流使用!
上一篇:赤心灼灼 朱老的特别一天 下一篇:鼻空肠管置入术成功开展 蓝十字脑科医院不断提升护理服务水平
学术氛围热烈,思想碰撞不断。3月14日,第十三届芝加哥大学医学...【详细】


