您现在的位置:主页 > 科研教学 > 专业交流 >
专业交流
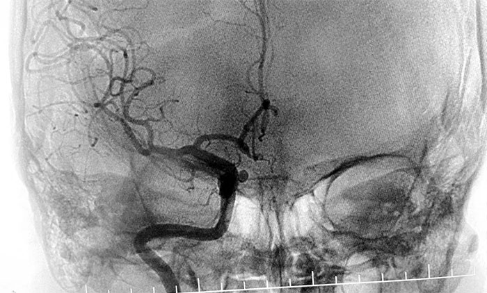
4旬男子头痛抽搐确诊静脉窦血栓 席刚明教授团队介入取栓及时打通生命线
近日,上海蓝十字脑科医院学术副院长、神经内科4A病区主任席刚明教授带领团队迎难而上,及时为一位静脉窦血栓患者行介入取栓治疗,顺利打通生命线,挽救了患者生命,也标志着上海蓝十字脑科医院神经介入诊...【详细】
中年男子一觉醒来突发脑干梗死 多学科救治顺利脱险
近日,一位中年男子在睡觉后出现肢体麻木、无力、视物模糊等症状,慕名求医上海蓝十字脑科医院,找到神经内科7A病区主任张静波,经过系列检查,最终确诊脑干梗死。后经介入治疗,成功开通供应脑干血液的血...【详细】
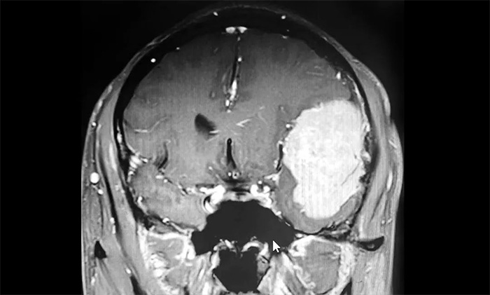
39岁男子突然意识不清摔倒在地 多学科协作顺利切除颅内巨大脑膜瘤
脑膜瘤通常呈膨胀性缓慢生长,早期可无明显体征表现。一旦瘤体压迫重要神经功能区,可出现头痛、癫痫,视觉、听觉及肢体运动障碍等症状。此时,肿瘤往往已经长得很大,若不及时治疗,病情将呈进行性加重,...【详细】
警惕!老年人头部磕碰后可能出现慢性硬膜下血肿,上海蓝十字脑科医院微创介入新方法巧解病痛
近日,上海蓝十字脑科医院神经内科4A病区收治了一位老年男性慢性硬膜下血肿患者,经4A病区副主任王贵平博士行脑膜中动脉介入栓塞治疗,巧妙解除患者病痛。...【详细】
席刚明教授团队及时行下腔静脉滤器置入术 为患者撑起“生命保护伞”
近日,医院在VTE评估筛查中及时发现一位下肢深静脉血栓形成患者,经过评估后,医院深静脉血栓栓塞症临床救治专家组组长、神经内科4A病区主任席刚明教授带领团队及时行介入手术,置入下腔静脉滤器,为患者...【详细】
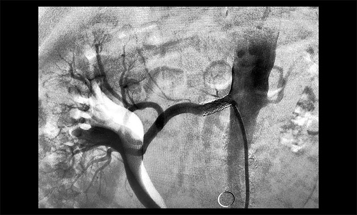
血压居高不下竟是肾动脉狭窄“惹祸” 医院成功开展肾动脉狭窄支架置入手术
肾动脉狭窄是引起高血压和(或)肾功能不全的重要原因之一,若不及时治疗,病情会持续恶化。近期,医院学术副院长、神经内科4A病区主任席刚明教授带领团队顺利开展一例肾动脉狭窄支架置入手术,保护岌岌可...【详细】
坐上“魔椅”转一转,轻松摆脱眩晕——上海蓝十字脑科医院引进眩晕诊疗系统,精准诊断治疗耳石症
近日,上海蓝十字脑科医院神经内科引进全自动眩晕诊疗系统,现已全面投入使用。除了能对耳石症进行精准定位及复位治疗外,还能用于评估半规管、前庭耳石器、前庭中枢及大脑皮层的功能。...【详细】
男子罹患鸭蛋大脑肿瘤一度脑疝危及生命 神经外科沈建康、于耀宇主任团队全力救治化险为夷
脑胶质瘤是常见的颅内恶性肿瘤,往往生长较快,可在短时间内造成颅内压增高和占位效应,引起一系列严重的神经系统症状,甚至可因脑疝危及生命。因此,一旦出现剧烈头痛、肢体偏瘫、嗜睡时,应高度警惕,尽...【详细】
基底动脉重度狭窄“命悬一线” 席刚明教授团队勇闯“禁区”为患者打通生命通道
近日,上海蓝十字脑科医院学术副院长、神经内科4A病区主任席刚明教授带领团队顺利为一位基底动脉重度狭窄患者行球囊扩张成形术,成功开通几近闭塞血管,打通“生命通道”。...【详细】
天气转冷,“80后”女子头痛明显加重,原来是颅内“不定时炸弹”作祟
43岁的田女士是一名“80后”,却已有10多年头痛病史,时断时续,反反复复。前段时间,随着天气转冷,头痛的“老毛病”明显加重。她不远千里,慕名找到医院神经内科余志良主任寻求帮助。经检查,发现了隐藏...【详细】
医院简介专家教授科室介绍医院荣誉医学百科就医指南上海蓝生脑科公司