近日,患者家属将精心准备的两面锦旗,送到了上海蓝十脑科医院神经内科3A病区办公室。其中写着“医德双馨,妙手回春”字样的锦旗是送给主任周君的,另一面“白衣天使,爱心无限”的锦旗是送给以护士长汪亭如为首的护理团队的。为何患者家属会同时送来两面锦旗?

▲ 患者家属一次送来了两面锦旗,以表示感谢
“75岁的老伴多发性脑梗,致使双下肢活动障碍,幸遇蓝十字3A医护团队,不仅让他重新站了起来,还接二连三地发现了新病症,防止了病情进一步恶化,这让我们家属很感激。这既得益于周君主任的精心诊治,也离不开护士们的悉心护理,她们待患者如亲人,负责又有爱心,作为家属我们要为优秀的3A医护团队点赞”,患者妻子管女士(化名)连连称赞道。
他身患多种疾病,又突遭脑梗侵袭
管女士老伴患有高血压10余年,一直吃药控制,有时情绪激动时也会忽高忽下。
“2015年初,他出现心慌、胸闷等症状,一查竟是心脏病,病情比较严重,当时心脏予以植入四枚支架,并配合药物治疗,病情才有所好转;就在去年6月,老伴又被查出肾功能不全和左右肾结石……”一提起患者王先生(化名)的身体状况,其妻子管女士略显伤感。

▲ 患者身患多种疾病,心脏病尤为严重
2020年8月11日,王先生又突发脑梗,真是一波未平一波又起,这让精神本来就有些紧绷的妻子和儿子,更加忧心。
据管女士回忆,那天雨下得很大,但老伴外出却没有带伞,等他回到家时整个人已被雨淋湿透,头发像刚洗过一样,赶紧让他洗了个热水澡换了衣服,当时也没有什么不适。但随后两天,老伴却出现了双下肢活动障碍,肢体乏力,行走困难等病症,赶紧给儿子打电话,遂即将老伴送往就近的医院进行诊治。

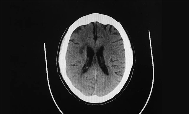
▲ 患者多发性脑梗,致使双下肢活动障碍
“在该医院老伴进行了头部CT检查,医生告诉我们他为多发性脑梗,听到‘脑梗’两字,当时心里咯噔了一下,因为身边有许多老人突发脑梗,之后大多都长期偏瘫在床,恢复好得很少,加之老伴还身患多种疾病,真怕他以后只能在轮椅和床上度过了”,每想到这里,妻子管女士有些不知所措。
幸遇蓝十字病情好转,检查时又发现糖尿病
患者王先生在该医院治疗一段时间后,病情基本稳定,但其双下肢行走困难的情况未见明显改善,这让家属很是焦急。为求进一步诊治,患者于去年9月14日在家人的陪伴下慕名就诊于上海蓝十字脑科医院,并收治于神经内科3A病区。
“王先生患有多发性脑梗,颅内血管多处狭窄,临床表现为双下肢肢体功能障碍。尤其是左下肢无力比较严重,当时入院时左下肢肢体肌力仅为2+级,而其右下肢肢体肌力也只有3级,不能独自站立与行走”, 周君主任介绍道。

▲ 周君主任分析患者病情,并制定完善的治疗方案
“因老伴患有多种疾病,为了更好诊治,入院后医生就对他进行了全面的身体检查,及其他相关辅助检查,但在对老伴进行血糖测试时,发现他空腹血糖比较高,随后进一步确诊为糖尿病。因为老伴肾功能不好,打胰岛素较药物治疗对其肾功能保护会更好一些,但他不愿打胰岛素,最后耐心的周主任还精心为他调整了治疗药物,即控制了血糖又保护了肾功能”,管女士回忆道,眼中充满了感激。
“如果长期高血糖会引起多种器官尤其是心脑血管、肾、神经损害或器官功能不全,严重还会致残和致死。而老伴本身就患有严重的心脏病、肾功能不全、脑梗等多种疾病,幸好这次在蓝十字查出了糖尿病,周主任及时对他进行了治疗,否则病情只会更严重。”
针对患者具体病情,周主任制定了完善周密的治疗方案。首先对患者高血压和高血糖病症进行严密监测,尤其是高血糖病症予以及时的药物治疗和控制,以防肾病加重;而对于患者多发性脑梗,一方面予以营养神经、改善微循环等对症积极的药物治疗,一方面邀请康复科专家对其进行会诊,及时对其进行肢体康复训练,促进其肢体功能的恢复。

▲ 在3A医护团队精心医治与护理下,患者病情明显好转
在周君主任及医护团队精心治疗与暖心护理三个月后,王先生的高血压与糖尿病现在控制得比较稳定,肢体功能也明显好转。其左下肢肢体肌力也从之前的2+级恢复到现在的4级,右下肢肢体肌力也恢复到5级,他可以独自坐起和行走。看到可以正常行走的患者,管女士和儿子非常欣慰与感激。
再次发现新病症,我们还会选择蓝十字
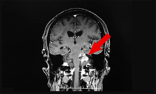
“因为老伴肢体功能恢复还不错,我们打算让他回家休养,而三个多月前老伴在外院和来蓝十字时做的都是头部CT检查,检查结果除了脑梗病症未见明确其他异常。为了让老伴放心出院,进一步了解其脑部情况,在周主任的建议下他进行了头部MRI检查,在查看影像结果时,细心的周主任却意外发现老伴左侧桥小脑角区有病灶,大小约为2.5cm×3.3cm,同时周主任还告诉我们,从影像资料上看老伴左侧听神经干增粗,很可能是听神经瘤”,听到此,管女士如五雷轰顶般顿时懵了。
随后,周主任仔细询问了患者的听力情况,据王先生反映,其听力近两年确实有所下降,但想着可能是自己年龄大的缘故,就没太在意。经过周主任细心检查,患者两侧听力都有所下降,但其左侧听力下降得更为严重。

▲ 细心的周主任发现了患者的新病症——“听神经瘤”
“周主任很专业又认真负责”,管女士对此说道:“为了能确诊,周主任还特邀医院神经外科6A病区主任侯增欣进行会诊,根据老伴的头部核磁共振检查结果,并结合他已出现的症状,最终老伴确诊为听神经瘤。而对于治疗,周主任和侯主任一致认为,由于老伴年龄较大,又身患多种疾病,如果手术,风险会比较大,建议我们放射治疗。”
当听到周君主任说听神经瘤是颅内一种良性肿瘤,可以治疗时,管女士和儿子才终于松了一口气,对于他们来讲,老伴遭受的已经很多了,真不愿意他再遭受任何疾病的折磨了。
“在蓝十字治疗我们很放心,对于听神经瘤的后续治疗,我们还会选择蓝十字。蓝十字医生医德双馨,护士更是爱心无限,不仅让老伴重新站了起来,还接二连三地发现了他的新病症,尤其是听神经瘤,幸好发现及时,如果肿瘤继续增大,压迫同侧的面神经和三叉神经,不仅会出现面肌抽搐,严重时还会导致面瘫等严重并发症……”,管女士感激道。
上一篇:祝贺李士其教授荣获上海蓝生脑科公司 “杰出星光奖”! 下一篇:一封饱含真情的感谢信 一段始于清晨公交车上的“医患缘”
2026年5月25日是世界预防中风日。脑卒中防治重在“早发现、早预...【详细】


