有人把医生比作福尔摩斯,为了明确诊断,医生需要“详细询问病史,认真查体,形成初步的诊断假设,并安排针对性的检查,最后综合分析各种资料得出结论……”。这与福尔摩斯勘察现场,与证人谈话,追踪线索,进行法医学检验等破案步骤有着惊人的相似,都是从千丝万缕的线索中找出真正的根源、真相,从而解决问题,拯救世人。

▲ 张静波主任仔细查看患者影像资料
而上海蓝十字脑科医院神经内科7A病区主任张静波,就是这样一位具有侦探“福尔摩斯”般精神——不断研究、勇于探索——的临床医生。在对患者诊断的过程中,她总是仔细观察、科学分析,从不肯放过任何蛛丝马迹,已帮助很多患者解除了病痛,并获得患者及其家属的啧啧称赞。
起初只是想调整治疗药物,却意外找到了真正的病因
今年6月17日,张静波主任接诊了一位71岁的帕金森综合征患者金先生(化名)。据金氏儿子回顾到,父亲两年前忽觉头晕,行走不稳,上下楼梯困难,动作迟缓等,同时还存在睡眠不好、噩梦多,大喊大叫及睡眠中经常‘拳打脚踢 ’等病症,这可急坏了家人。
之后,患者金先生就诊于上海多家医院,诊断结果为“帕金森综合征”,并进行一年多的相关药物治疗,但其症状却无明显缓解,且呈进行性加重, 就连起床翻身都成困难。近期更是出现记忆力减退、胡言乱语、思维混乱及经常幻视等精神症状,为求进一步治疗,患者在儿子的陪伴下慕名就诊于上海蓝十字脑科医院,并收治于神经内科7A病区。
“起初对父亲的病情没抱多大希望,只是想让张静波主任针对其病情调整一下治疗帕金森综合征的药物。但没想到张主任工作是如此的认真严谨,在给父亲查体时,发现目前的诊断不够准确,没有达到病因诊断,且结合其相关检查结果判断,很可能是其他疾病所致。这让我们家人再次看到了希望”,金先生儿子回忆道。

▲ 组织科室医生,对疑难病例进行分析讨论
张静波主任解析到,患者当时起病时,除了有帕金森病的症状外,同时还伴有明显睡眠障碍、夜惊、记忆力减退及幻视等精神症状,这与帕金森病的病程演变不符,且用抗帕金森药后,效果不是很明显。
随后,张主任查阅了大量的相关文献,进行了帕金森病的鉴别诊断与分析,判断患者可能是路易体痴呆或进行性核上性麻痹(PSP)。
随即,对金先生进行了针对性检查,并及时组织科室医生对此疑难病例进行探讨:如果是帕金森病,通常中老年起病,一般是以静止性震颤起病,伴运动迟缓、姿势异常等,对多巴胺类药物敏感,病情逐渐加重后会出现睡眠障碍、抑郁焦虑、二便障碍等非运动症状,病程晚期出现异动症,开关现象等。但一般病情5年后,患者才会出现明显的精神症状,如记忆力减退、痴呆、幻视及尿便障碍等,影像学无特异性。目前,患者帕金森病的诊断可以否定,但确诊还需进一步进行多巴胺转运体成像等功能影像学检查。

▲ 特邀刘振国教授,对患者进行会诊
经过科室疑难病例讨论、鉴别诊断及相关检查,张静波主任初步诊断患者为路易体痴呆,但为了更好地治疗患者,张主任还特邀上海市医学会神经内科专科分会帕金森病及运动障碍学组组长刘振国教授进行会诊。最后,根据患者病症、检查及影像结果,刘振国教授、张静波主任等一致认为金先生罹患路易体痴呆,并已经出现了严重的精神症状,需综合治疗。
随后,张静波主任针对金先生路易体痴呆的病症进行了对症治疗,其病情逐渐好转。对于患者这次治疗,其儿子感激道:“真没想到,张静波主任竟能找到父亲生病的真正病因,这确实让我们家人很感激,现在父亲神志清醒,精神状态良好,视幻觉明显减轻,脸上的表情和笑容也多了,睡眠也得到了明显改善;言语清楚,在回答别人提问时,可以简单切题回答,走路也比以前稳多了”。
不放过任何蛛丝马迹,寻根究底直到“真凶”现行
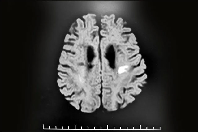
张静波主任还接诊了这样一位脑梗患者:今年7月初,68岁的程先生(化名),第一次患脑血管疾病,并以脑梗死形式发病,根据其头部CT影像结果所示,其脑梗病灶并不是很大,但患者入院不久后就出现了一些精神障碍,表现为痴呆、答非所问,自言自语,记忆力减退,有时骂人,甚至有暴力的行为,这让家人不知所措。

▲ 患者头部CT所示:其脑梗病灶并不严重
对此,张静波主任解说,一般正常情况,只有当患者一次出现大面积脑梗,或其脑组织损害一次性超过80ml以上,才可能出现痴呆等表现。但患者程先生其脑梗病灶面积实际并不是很大,这就无法解释他出现痴呆、骂人及记忆力减退等精神症状。
随后,完善患者相关检查,并对其进行了血清梅毒检测,发现程先生血清霉毒检测报告中有两项指标都比较高,张静波主任高度怀疑患者患梅毒的可能性很大。随即,张主任就患者的具体病情和自己的初步诊断,对其家属进行了详细的解说和分析,并建议患者进行腰穿,检测其脑脊液和血清梅毒抗体共同检测,其最终检测报告所示:患者的脑脊液梅毒阳性抗体值很高。张静波主任在对患者进行诊治时,从不肯放过任何细微之处,寻根究底直到“真凶”现行,程先生最终被确诊为活动性梅毒,属于神经梅毒引起的痴呆。

▲ 张静波主任查房,患者病情明显好转
张静波主任表示,神经梅毒发生在不同部位,其表现症状各不相同,但主要临床表现有五种类型:1、血管型,可以导致脑梗;2、树胶肿型;3、可以累及脑膜,表现为脑膜脑炎,也可累及颅神经,会引起眼肌麻痹、耳聋等疾病;4、晚期梅毒,会导致麻痹性痴呆;5、脊髓痨等疾病。
根据患者病情诊断,其血管病和麻痹性痴呆可能都有,之后张静波主任及时为患者调整了治疗药物,并对其进行了青霉素驱梅和抗痴呆药物治疗。
最终,患者临床症状有所好转,记忆力比之前有所提高,情绪也比较稳定,自己高兴时还会唱一些老歌,也未再出现暴力行为,家属对此非常感谢。
要像福尔摩斯一样专业,找到真正病因帮助更多患者
“神经科”是一门复杂的医学学科,而神经内科更是如此,张静波主任强调,由于神经内科病种的复杂多样,以及患者自身的个体差异,会出现同病异症或同症异病的情况。因此,医生问诊时不能轻易放过病症的任何一个蛛丝马迹,一定要找到疾病诊断的关键点,明确病因,这样治疗才会有效。
这就对医生提出了更高的要求,作为一名合格的临床医生,不仅要具备扎实的临床基本功、丰富的临床经验及良好的道德品质,还要像福尔摩斯一样,找到真正病因,才能保证医疗质量,从而帮助更多的患者。

▲ 不放过任何疑难病例,都要进行讨论分析
张静波主任之所以喜欢寻根究底,主要得益于她有一颗不断创新、探索和研究的心,她不仅自己会不断学习探索,还会带领科室医生一起学习和进步。每当科室遇到什么疑难杂症的病例,她总是主动查阅相关文献,并组织科室医生一起进行疑难病例的讨论,还会特邀上海相关领域的专家们进行会诊。
通过学习、经验互相分享,尤其是邀请相关领域的专家,不仅可以获得相关疾病的诊疗经验,提升医生的知识储备和业务能力,更好地开拓大家的思维,还可获得更多前沿的医疗知识;而对于患者来讲,不用走出蓝十字就可以享受到上海优质、高效的医疗服务,让更多的患者从中受益。
上一篇:要闻 | 神经外科6B病区留德博士吴治群荣获闵行区“防控疫情优秀医师”表彰 下一篇:夯实院感防控基础 保障患者安全 | 上海蓝十字脑科医院 “手术部位感染防控月” 系列活动圆满落幕
2026年5月25日是世界预防中风日。脑卒中防治重在“早发现、早预...【详细】


