有人说,孩子是父母的纽带,是婚姻的润滑剂,孩子使一个家更加完整。现实生活中有很多家庭,本来两个人感情非常好,但不孕不育却让爱情很“受伤”,甚至让家庭解体……
安徽刘女士的婚姻也一度因此面临危机,亮起红灯,直到来到上海蓝十字脑科医院她才弄明白这些年困扰她的症结所在。在蓝十字脑科医院神经外科垂体瘤专家、经蝶窦入路垂体腺瘤微创手术术式首创人李士其教授为其成功实施手术后,她重新燃起对婚姻的希望和对未来的憧憬。
婚后不孕亮红灯 体检泌乳现端倪
刘女士今年33岁,刚结婚时和老公孙先生感情很好,但一直没有怀上宝宝。为此她跑了很多大医院、妇产医院,做过卵巢囊肿腹腔镜切除术,也用了不少民间秘方,但始终不见效果,她的婚姻也一度陷入危机。
最近在公司组织的一次体检中,刘女士才发现一些端倪。体检中发现其双侧乳房出现泌乳现象,而她又多年未怀孕,医生建议进一步检查。查催乳素(催乳素是一种由垂体前叶腺嗜酸细胞分泌的蛋白质激素,主要作用为促进乳腺发育生长,刺激并维持泌乳,还有刺激卵泡LH受体生成等作用。)显示:969.6μIU/mL,明显高于正常水平。经过进一步检查,医生告诉她可能是脑子里长了垂体瘤。
一听说脑袋里长了肿瘤可把刘女士吓坏了,婚姻遭遇危机,健康也亮起红灯,可谓屋漏偏逢连夜雨。当地医生建议到北京、上海大城市进一步检查治疗,涉及到大脑,为了谨慎起见,在家人陪伴下刘女士来到上海蓝十字脑科医院。
神经外科垂体瘤专家、经蝶窦入路垂体腺瘤微创手术术式首创人李士其教授详细了解了患者的病情,为其完善了各项检查。
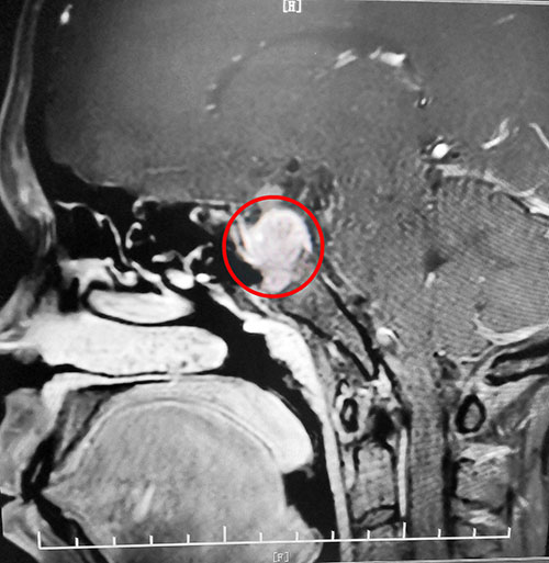
再查催乳素:1436μIU/mL。鞍区MRI平扫+增强显示,蝶鞍显著扩大,鞍区见不规则肿块影,大小约2.3*2.6*3.4cm。综合各项检查结合临床,刘女士被诊断为垂体大腺瘤(垂体瘤超过1厘米就是垂体大腺瘤)。

▲影像检查显示:垂体大腺瘤,超蝶鞍生长
李士其教授介绍,垂体瘤是一组从垂体前叶和后叶及颅咽管上皮残余细胞发生的肿瘤,多为良性肿瘤。垂体瘤的临床表现主要有颅内神经功能障碍,比如头痛、视力视野改变、多尿、呕吐、眼球活动障碍等;内分泌功能障碍,女性主要表现为闭经、溢乳、不育,男性则表现为性欲减退、阳痿、乳腺增生、毛发稀疏等。另外,面容改变、肢端肥大、满月脸、水牛背、向心性肥胖、性情急躁、易激惹;精神萎靡、食欲缺乏、身体虚弱无力、抗病力差、反应迟钝等也是垂体瘤的症状。
许多女性患者由于月经不调、闭经、不孕而辗转在妇产科治疗,她们往往做了很多检查,吃了很多药物,最后到神经外科才确诊为垂体瘤。还有一些男性患者,因表现为阳痿、性功能下降而自行服用补肾、壮阳药物,结果越补越差,最后因视力下降辗转到神经外科就诊时,往往已经有三四年的性功能下降史。
专家执刀 经蝶窦微创手术切除肿瘤
李士其教授指出,患者颅内鞍区的肿瘤属于垂体大腺瘤,垂体泌乳素分泌很高,造成患者多年不孕不育,并且病变侵及海绵窦,海绵窦内颈内动脉被推压移位并被部分包裹。患者手术指征明显,综合各项检查,没有手术禁忌,应尽快进行手术。

▲李士其教授在德国蔡司双荧光显微镜下为患者手术
一切准备就绪后,刘女士被送进了手术室。李士其教授采用经蝶窦微创手术方式,在显微镜下,从右侧鼻腔入路,在窥镜下找到蝶窦开口,用咬骨钳开1.5x1.5cm骨窗,用显微钩刀“十”字切开硬脑膜,见窦鞍扩大,蝶窦内充满肿瘤组织,突破鞍底骨质,蝶窦内肿瘤组织与鞍内肿瘤组织相通,并向上顶举鞍隔,肿瘤向两侧包裹颈内动脉,肿瘤组织呈灰褐色、质软、血运不丰富,分块切除肿瘤组织,切除完毕后,止血复位。
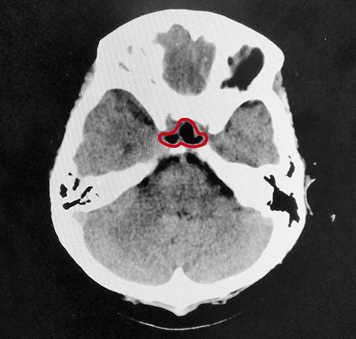
整个切除手术用时不到1小时,术中出血量很少,肿瘤切除干净。术后患者被医护人员唤醒,被安全送到重症监护室监护。经鼻蝶窦入路垂体瘤切除微创手术具有肿瘤暴露佳,创伤和危险性小,手术时间短、颅面外观无损伤,手术效果好等优点,但该手术方式对专家的技术水平也有着非常高的要求。

▲术后影像:肿瘤切除干净,鞍内脑脊液填充
“没什么感觉,就像眯了一会。”手术一周后,刘女士恢复得不错,吃饭正常,可以正常下床活动,催乳素也基本恢复正常范围。丈夫孙先生一勺勺给她喂鸡汤,两人有说有笑,恩爱如初。刘女士表示这次真的要感谢医院感谢李教授,让她对家庭对未来充满新希望。
科普:经鼻蝶窦入路微创切除垂体瘤
经鼻蝶窦入路切除垂体瘤适用于各种垂体微腺瘤和大腺瘤。它突破了传统开颅手术的弊端,运用神经内镜、鼻窦内窥镜等手段,借利用鼻腔天然通道,经蝶窦微创直达垂体切除肿瘤。这种手术方式明显降低了对脑组织、脑神经和血管的损伤,微创切除垂体瘤,对垂体柄等重要结构的保护更为可靠,效果更好。

随着神经外科的发展进步,经鼻蝶窦切除垂体腺瘤已经广泛应用于临床,成为垂体瘤优先选用的治疗方法。
此文章仅作为临床学术研究、学术交流使用!
上一篇:召开客户服务专题会议 全力打造高质量优质医疗服务 下一篇:“激扬青春 超越自我”蓝十字第二届才艺展再获好评
2026年5月25日是世界预防中风日。脑卒中防治重在“早发现、早预...【详细】


