今年庚子鼠年春节大家都过得特闹心,重点疫区以外还有人过得更担惊受怕,年过五旬的陈阿姨(化名)就是其中一位。因为新冠肺炎引发的疫情一直宅在浙江老家中哪儿也去不了,家里相比往日确实冷清不少,一年忙到头的她正想借此机会好好休息一下,但没想到大年初三摔了一跤,居然“摔出”一个骑跨小脑幕的巨大脑膜瘤,着实让她受了场惊吓。所幸慕名来到上海蓝十字脑科医院,经过神经外科李士其教授团队手术,成功为其切除,化险为夷。
头痛十年余 一跤“摔出”脑肿瘤
陈阿姨平时在家附近服装厂上班,从十年前开始偶尔有头疼情况出现,但是她一直以为是上班累的,以为是偏头痛,就去药店买点止头痛药来内服,也没当回事。
今年春节正月初三,正在家中做饭的她突然摔倒,被送到当地医院经磁共振检查,有少量蛛网膜下腔出血,右侧跨小脑幕富血供占位,考虑为脑膜瘤。
一听到大脑里长了肿瘤,着实让一家人受惊不少,为谨慎起见,家人准备带她到上海检查治疗。但受新冠肺炎疫情影响,一直耽误至今。随着疫情防控形势好转,家人带她赶到上海,慕名转入上海蓝十字脑科医院。

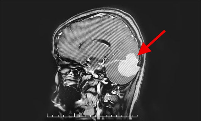
▲ 头痛十年余,没想到是肿瘤作祟
罕见骑跨小脑幕巨大脑膜瘤,或危及生命
头颅MR增强显示,患者右侧后颅窝可见团块状异常信号病灶,大小近5公分,边缘清晰,轮廓不规整,向上凸入枕部,毗邻右侧小脑半球及枕叶受推压(右侧小脑少许水肿),右侧横窦明显受压,右侧枕骨受压变扁。
由神经外科6B病区主任潘仁龙、李士其教授、吴治群博士组成的专家组会诊后指出,患者颅内占位明确,根据影像学表现考虑为小脑幕脑膜瘤,并且肿瘤横跨小脑幕幕上幕下,十分罕见。肿瘤瘤体向上下两方向发展,大部位于后颅窝,瘤体已较大,不及时手术,会出现慢性枕骨大孔疝的急性发作,导致生命危险,患者手术指征明确。
该患者肿瘤瘤体巨大,血供丰富,紧邻横窦、后矢状窦、直窦,术中需要规避重要血管,减少出血,同时要保护好小脑功能区,以防造成患者肢体功能障碍或视觉障碍,手术存在较大风险和难度。李士其教授建议术前先行DSA造影,可对适宜的供血动脉进行栓塞,并充分完善术前准备,并对围手术期可能出现的各种突发状况做好详尽的应急预案。
大型小脑幕脑膜瘤是指肿瘤基底附着于小脑幕或小脑幕切迹处,瘤径>3cm的脑膜瘤。起源于小脑幕的脑膜瘤仅占颅内脑膜瘤的2%-9%,骑跨小脑幕巨大脑膜瘤则更为少见。由于此位置空间结构比较复杂,毗邻重要神经血管,加之跨小脑幕上下,是神经外科手术的难点之一。

▲ 脑膜瘤横跨小脑幕幕上幕下,十分罕见
历时5个多小时 李士其教授团队成功除大瘤
在完善DSA造影,并告知家属相关风险征得家属同意后,3月24日上午10点,6B病区神经外科医疗团队为患者实施了“右侧枕部跨小脑幕上下巨大脑膜瘤切除术”。
李士其教授在吴治群博士、黄秀夫医生及医护团队协助下,切开硬脑膜,见小脑幕位置脑组织表面有突出肿物。在蔡司显微镜(双荧光)下将肿物切开,肿物呈淡黄色,质较硬,血供丰富。肿物周围与脑组织边界清晰,横跨小脑幕上下,呈葫芦状,小脑幕下方较大,肿物压迫横窦。李士其教授处之泰然、游刃有余,避开回流静脉等重要血管及重要脑功能区,耐心地将横窦近肿物处结扎离断,逐步切除肿物。肿物与小脑幕粘连紧密,考虑为其基底,充分切断肿物血供,在充分保护神经血管组织基础上,快速准确地止住一个个出血点,在镜下将肿物切除,留取部分肿物送病理。
术后根据病理检测,患者确诊为小脑幕脑膜瘤。

▲ 李士其教授正聚精会神为患者手术
李士其教授介绍,脑膜瘤是起源于脑膜及脑膜间隙的衍生物,发病率占颅内肿瘤的19.2%,仅次于胶质瘤,居第2位。50%位于矢状窦旁,另大脑凸面、大脑镰旁者多见,其次为蝶骨嵴、鞍结节、嗅沟、小脑桥脑角与小脑幕等部位。脑膜瘤虽属于良性肿瘤,生长慢病程长,但其呈膨胀性生长,病人往往以头痛和癫痫为首发症状,还可以出现视力、视野、嗅觉或听觉障碍及肢体运动障碍等。
因脑膜瘤生长缓慢,等到发现时肿瘤往往长得很大,患者若忽视早期症状,可能会错过较佳治疗时机。若未及时治疗,患者病情将呈现进行性加重,会导致多种恶性循环因素,使病情迅速恶化甚至威胁生命。目前,手术切除脑膜瘤是首选的治疗手段;尤其随着显微手术技术的发展,手术切除脑膜瘤的成功率不断提高,使大多数患者得以康复。
上一篇:“阳光大男孩” 突发脑出血 脑卒中并非老年人 “专利” 下一篇:要闻 | 2020年首次医院护理管理研讨会顺利召开
2026年5月25日是世界预防中风日。脑卒中防治重在“早发现、早预...【详细】


