垂体腺瘤卒中是因垂体腺瘤突然出血或梗死而导致头痛、视力下降、眼肌麻痹和意识状态改变以及垂体激素分泌不足的一种相对罕见的临床综合征。其临床表现各异,与其他颅内疾病相似,诊断较为困难,临床上容易误诊,如果延误治疗,患者将有可能出现生命危险。
视力急剧下降伴头痛、呕吐等要警惕垂体卒中
垂体腺瘤卒中的临床表现可因肿瘤的扩展方向、出血速度、出血量、压迫周围神经的程度及垂体破坏多少,不同类型有不同表现,典型的临床症状有下述几个方面:
肿瘤扩大产生的压迫症状:鞍内压力增高,引起剧烈头痛、呕吐;视神经、视交叉及视束受压,致视力急剧减退及各种类型的视野缺损;海绵窦受压引起动眼神经麻痹、滑车神经、三叉神经及外展神经损害症状;大脑中动脉、大脑前动脉受压可出现脑缺血症状;下丘脑受压则可有意识障碍、尿崩症或体温改变,严重者还可出现应激性溃疡。
脑膜刺激征:瘤内容物或血液进入蛛网膜下腔引起发热、颈强直及其他脑膜刺激症状。
内分泌功能改变:肿瘤内出血加重了对残留垂体组织的破坏使患者原有的垂体前叶功能减退表现进一步加重,严重时可引起垂体危象,出现意识障碍,甚至死亡。垂体后叶也常常受累出现一过性尿崩症或永久性尿崩。

▲ 视力急剧下降伴头痛等要警惕垂体卒中
暴发性垂体卒中可致死亡不是所有垂体腺瘤出血患者都有典型的临床症状,如果病变范围小、出血量较少者可无上述急性神经系统及视野改变,仅有内分泌功能改变的临床表现。垂体卒中主要表现为严重的出血所致的脑膜刺激症状,及对周围组织的压迫症状。根据肿瘤卒中后对周围结构的影响和病情缓急及严重程度,将垂体卒中分为四种类型。
1.暴发性垂体卒中(Ⅰ型)
指出血迅猛,出血量大,直接影响下丘脑,此时患者均伴有脑水肿及明显颅内压增高,出血后3小时内即出现明显视力视野障碍,意识障碍进行性加重,直至昏迷甚至死亡。
2.急性垂体卒中(Ⅱ型)
指出血比较迅猛,出血量较大,已累及周围结构,但未影响下丘脑,也无明显脑水肿及颅内压增高,临床表现为头痛,视力视野障碍,眼肌麻痹或意识障碍,在出血后24小时达到高峰,在观察治疗期间症状和体征无继续加重倾向,但占位效应明确。
3.亚急性垂体卒中(Ⅲ型)
出血较缓慢,视力障碍或眼肌麻痹,原有垂体腺瘤症状轻度加重,无脑膜刺激征及意识障碍,常被患者忽略。
4.慢性垂体卒中(Ⅳ型)
出血量少,无周围组织结构受压表现,临床上除原有垂体腺瘤的表现外,无其他任何症状,往往是CT、MRI或手术时才发现。

▲ 垂体卒中主要表现为严重的出血所致的脑膜刺激症状,及对周围组织的压迫症状
垂体卒中可能与这些因素有关
垂体卒中的确切原因尚不清楚,目前认为可能与以下因素有关:
1.缺血因素
(1)当垂体腺瘤的生长速度超过血液供应能力时,瘤组织内出现缺血坏死区,继而发生出血。
(2)垂体有独特的血管供应,仅通过来自垂体柄处的垂体门脉系统供给,当垂体腺瘤向鞍上生长时,可以嵌入鞍膈切迹和垂体柄的中间狭窄部位,阻断了垂体远侧部和肿瘤的营养血管,导致整个前叶和肿瘤的缺血、坏死和出血。垂体腺瘤向侧方生长压迫海绵窦,外因使海绵窦压力增加。引起肿瘤内静脉压增高,使肿瘤供应动脉受损而梗塞。
2.血管因素
垂体腺瘤内血管丰富,形成不规则血窦,血窦壁菲薄,肿瘤体积增大引起局部压力增高导致血管破裂出血。现代血管造影技术已证实垂体腺瘤内血管比正常腺体的血管细小,直径不一。在电镜下观察这些血管不完全成熟,其基底膜呈破裂或节段状,血管周围间隙被血浆蛋白和红细胞压缩,这些均是垂体腺瘤出血的基础。
3.肿瘤类型
文献报道认为泌乳素腺瘤多见,这不仅因为它在垂体腺瘤中较多见,而且由于该瘤体积一般较大,易引起局部血液循环和血供障碍。以往认为垂体卒中多见于体积较大的腺瘤,但目前认为小腺瘤亦可发生,许多微小腺瘤卒中后,临床症状不显著,称为亚临床垂体卒中。
4.诱发因素
(1)外伤:在患垂体腺瘤时,若头部受到外力作用,由于头颅与脑运动速度不一致,肿瘤与脑颅在运动的瞬间发生挤压或牵拉,导致或促进供瘤血管出血,尤其是肿瘤病理血管。
(2)放疗:垂体腺瘤放射治疗可以使得瘤体内血管增加,增加出血的机会。
(3)雌激素:有实验表明,雌激素能导致垂体充血,易出现垂体卒中。
(4)上呼吸道感染、喷嚏使海绵窦内压力增高,如腺瘤长入海绵窦内,则瘤内静脉回流压力剧增,引起瘤内血供不足或动脉栓塞。
(5)其他:如溴隐亭、氯丙嗪、抗凝治疗、酗酒、血管造影、垂体功能动态检查、外科手术后以及蝶窦炎、动脉粥样硬化栓塞、血小板减少等也能诱发垂体卒中。
垂体腺瘤卒中应尽早手术
针对垂体瘤卒中的治疗,一方面是解决垂体瘤卒中导致肾上腺皮质激素的分泌功能减低、及其引起的全身性症状,另一方面是缓解垂体瘤卒中造成相邻解剖结构的压迫症状包括视力、视野障碍和眼外肌麻痹,以及严重压迫造成的意识障碍。治疗的时机和方式应该是根据患者的全身状况、神经系统症状、视力视野改变及内分泌激素水平来确立的个性化方案。
《中国临床神经外科杂志》刊文指出,对于发生急性卒中的垂体腺瘤,应采取积极的治疗措施。尤其出现进行性视力下降、眼外肌麻痹、意识障碍等患者,应急诊手术治疗。多数学者认为应在发病后7天内手术,术后视力、视野改善明显。在临床观察中发现,急性垂体卒中后影响视觉功能恢复与视觉损害时间的长短、严重程度和视盘的改变有关。
垂体卒中后视交叉池压力较高,操作空间有限,开颅切除肿瘤容易引起视神经缺血,损伤较大,而经鼻蝶窦入路手术创伤小,并发症少,术后愈合时间缩短。发生急性卒中的垂体腺瘤,质地较软,易于切除,因此适于经鼻蝶窦入路手术。

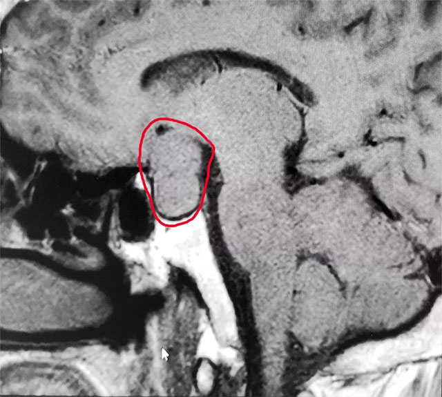
▲ 术前MR影像:垂体大腺瘤,超蝶鞍生长
患者崔先生(化名)3天前无诱因突然出现失明、头痛等症状,在当地医院行头颅CT后疑似脑梗,未能明确。随后,为明确诊断治疗,慕名到上海蓝十字脑科医院就诊。
经检查,患者GCS评分15分,神志清,对答切题,双眼失明,光感消失,双侧瞳孔等大等圆,直径约3.5mm对光反应均消失。
针对患者情况,6B病区主任潘仁龙基于多年临床经验立即作出判断,急行头颅鞍区MRI平扫+增强,显示:蝶鞍扩大,鞍底骨质下陷;鞍内垂体上缘膨隆,腺垂体中央见一枚类椭圆形异常信号,大小约2.8*1.9cm;T1WI上呈等信号、T2WI呈等信号为主局部见斑片状低信号,轮廓光整,增强后可见大部分明显强化,视交叉可见上抬。考虑为垂体腺瘤伴局部卒中。
潘仁龙主任指出,CT在垂体卒中急性期平扫时即可见瘤内的高密度影出血灶,很容易辨别,但当进入亚急性期后则呈等密度,难于鉴别。因此,在高度怀疑垂体卒中的病例中应首选MRI扫描。此外,MRI 还能提供较 CT 更为清晰的三维空间解剖结构,它对肿瘤以及瘤体与周边正常组织的关系都可起到良好的显示作用。因此MRI是垂体瘤卒中的首选影像学检查手段,而在急性期,尤其是超急性期则首选CT。

▲ 李士其教授正在为患者手术

▲ 术后影像显示肿瘤被切除
彼时患者已经出现失明情况,手术指征明确,情况紧急,应立即进行手术。
在充分准备并征得家属同意后,李士其教授在吴治群博士、黄秀夫医生协助下为患者行经蝶窦入路垂体瘤切除术,经右侧鼻腔蝶窦入路将肿瘤切除。
术后第二天,患者双眼已经有明显光感,目前正在康复中。
李士其教授指出,垂体腺瘤出现垂体卒中的比例为1%-2%,但症状不明显的亚临床出血约占所有垂体瘤的10%左右。不少垂体卒中患者缺乏原有垂体腺瘤的症状,因此遇到原因不明的突发颅压增高,尤其伴视力障碍、眼肌麻痹等压迫症状者,应警惕垂体卒中。出现严重的视力减退、视野缺损以及意识障碍或症状持续加重时,应该首选手术且尽早手术。
上一篇:金秋菊黄蟹正肥 秋蟹味美可不能贪食哦 下一篇:气温骤降晨练有讲究 别让中风“盯”上你!
2026年5月25日是世界预防中风日。脑卒中防治重在“早发现、早预...【详细】


