外出旅游,如果攀登上“天下第一峰”抑或泛舟在“天下第一湖”、或参观“天下第一寺”,一定会倍感静谧与适意,印象深刻。然而,有一种病更会让患者“痛不欲生”,它被称为“天下第一痛”,发作起来让人不敢喝水、不敢吃饭,甚至连微笑和呼吸都能引起剧烈疼痛,这就是三叉神经痛
特点:毫无预兆、剧痛无比、反反复复
早在1756年,法国人Nicolas Andri首先报道了三叉神经痛,指局限在三叉神经支配区内的一种反复发作的短暂性阵发性剧痛。这短短一句话,几乎囊括了三叉神经痛的所有特点。
上海蓝十字脑科医院神经外科主任沈建康教授表示,三叉神经痛的发作常无预兆,每次疼痛发作时间由仅持续数秒到1~2分钟便骤然停止。可怕的是,患者说话、吃饭、洗脸、剃须、刷牙、微笑等行为,甚至微风拂面均可诱发疼痛发作。发作时,患者会遭遇闪电样、刀割样、烧灼样等难以忍受的剧烈疼痛。

正是由于毫无预兆、剧痛无比、反反复复等特点,以致患者精神萎靡不振,行动谨小慎微,甚至不敢洗脸、刷牙、进食,说话也极其小心,惟恐引起剧痛发作。
沈教授指出,三叉神经痛初期起病时发作次数较少,间歇期相对较长。随着病情发展,发作往往逐渐频繁,间歇期逐渐缩短,疼痛亦逐渐加剧,严重摧残着患者身心健康。
原发性三叉神经痛多有“扳机点”
根据《三叉神经痛诊疗中国专家共识》,三叉神经痛可分为原发性、继发性两种。
原发性三叉神经痛的病因及发病机制尚不清楚,多数认为病变在三叉神经半月节及其感觉神经根内,也可能与血管压迫、岩骨部位的骨质畸形等因素导致对神经的机械性压迫、牵拉及营养代谢障碍有关。
继发性三叉神经痛又称症状性三叉神经痛,常为某一疾病的临床症状之一,由小脑脑桥角及其邻近部位的肿瘤、炎症、外伤以及三叉神经分支部位的病变所引起。
其中,原发性三叉神经痛是临床上最常见的类型。患者面部三叉神经分布区域内某个区域特别敏感,稍加触动就可引起疼痛发作,且疼痛从此点开始,立即放射至其它部位。凡能引起疼痛发作的部位称做诱发区,亦称“触发点”或“扳机点”。

▲ 三叉神经痛医学横断面解剖矢量图
研究表明,约半数患者在三叉神经受侵犯支的分布区域内有一个或多个特别敏感的扳机点。此扳机点大小不一,其范围大者直径为指甲大小(约1厘米),小者为一个点或一根胡须。扳机点多发生在上下唇、鼻翼、鼻唇沟、牙龈、颊部、口角、胡须、舌、眉等处。亦有少数扳机点在下颌部或三叉神经分布区域以外者,如乳突部、颈部。
患者往往设法避免一切能引起疼痛发作,即“扣动扳机”的诱发因素,如说话不敢张口,不能正常进食,甚至不敢洗脸和快步走动。与原发性三叉神经痛不同的是,继发性三叉神经痛疼痛发作时间通常较长,或为持续性疼痛、发作性加重,多无“扳机点”。
显微镜手术还她“安心”饮食
《三叉神经痛诊疗中国专家共识》指出,三叉神经痛的治疗包括药物治疗、外科治疗等。对于病发初期的原发性三叉神经痛患者,药物治疗被证实疗效确切。需要注意的是,虽然目前治疗三叉神经痛的药物很多,但长期服用后疗效降低,且会产生副作用。如常用的药物卡马西平,常见副作用包括眩晕、嗜睡、恶心、皮肤过敏皮疹,使用不当出现严重后果者可出现共济失调、复视、抽搐、肝肾脏功能损害、心绞痛,甚至会导致昏迷、精神异常等症状。当药物治疗的疗效减退或者出现患者无法耐受的药物副作用而导致药物治疗失败时,可以尽早考虑外科手术治疗。
患者金女士(化名)3年前无诱因出现右侧耳前部针灸样剧烈疼痛伴麻木感,在当地医院就医诊断为三叉神经痛,给予了药物治疗,症状一度得到缓解。而三个月前,金女士右侧面部疼痛加重,刷牙、饮食动作时疼痛明显。“发作起来粒米难进,更别提张口咀嚼咬合了。”其家属介绍,由于剧痛难忍,金女士三餐几乎全靠流质食物,还只能在三叉神经痛发作间歇期快速进食,人非常消瘦憔悴。有时候,因为疼痛实在难忍,金女士还会以头撞墙,痛苦之状让家人心碎。

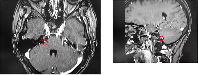
▲ 患者右侧三叉神经与周围小血管关系密切
最近,金女士慕名来到上海蓝十字脑科医院寻求进一步治疗。沈建康教授和医院神经外科6B病区潘仁龙主任团队结合患者病史和影像学分析,判断患者右侧三叉神经与周围小血管关系密切,经开展严谨的评估讨论并取得家属同意后,沈建康教授为金女士开展了微血管减压手术。
术中,借助先进的蔡司显微镜(双荧光)设备,沈教授牵开患者脑组织,显露三叉神经,见神经近基底处有小脑前动脉分支于后方穿行而过。沈教授小心翼翼地分离二者,将三叉神经近基底处及动脉穿行处填塞特氟龙垫片分隔。

▲ 通过蔡司显微镜(双荧光),沈教授为患者手术
经术后治疗恢复,患者右侧面部阵发性疼痛消失,面部感觉和功能也未受影响。“终于可以安心吃饭了。”金女士笑着说道。
《三叉神经痛诊疗中国专家共识》明确,在各种外科手术方式中,微血管减压手术是目前治疗三叉神经痛中疗效最好和缓解持续时间最长的治疗方法。沈建康教授表示,三叉神经痛患者往往存在多根血管压迫或者多个部位压迫的情况,识别责任血管非常关键,术中强调全程探查避免责任血管遗漏。同时,还要避免损伤患者的面神经。手术完成后,三叉神经痛患者一般没有后遗症,预后效果良好。
上一篇:小儿频繁高热惊厥要注意,防止埋下癫痫隐患 下一篇:睡眠不足可引起多种疾病,你睡够了吗?
2026年5月25日是世界预防中风日。脑卒中防治重在“早发现、早预...【详细】


