颅内脑膜瘤多数起源于颅内静脉系统周围的蛛网膜颗粒细胞,在生长的过程中可能侵及颅内静脉窦系统,如上矢状窦、横窦、窦汇、海绵窦、乙状窦等。这些静脉窦系统结构特殊,功能重要。窦旁脑膜瘤相较于大脑凸面等部位的脑膜瘤,其手术难度往往相对较高。
显微镜下 瘤体包裹住了大静脉
年近六旬的赵女士(化名),两年前开始出现间断性头晕症状。由于这种头晕的感觉仅仅维持3-5分钟便能自行缓解,她以为可能是贫血或劳累过度引起的,就没有引起足够重视。
然而,像这样“来无影、去无踪”的头晕此后持续困扰着患者,给她的生活造成了一定影响。今年7月,在当地医院检查后才发现,头颅右侧额顶部占位,考虑为脑膜瘤。今年11月,赵某慕名来到上海蓝十字脑科医院寻求治疗。

医院神经外科主任沈建康教授、神经外科6A病区侯增欣主任团队在对患者完善相关检查,并开展严谨的分析评估后认为:赵女士的肿瘤位于脑部重要功能区——中央前回附近,体积较大,占位效应明显,患者手术指征明确。在明确告知患者及家属手术风险并签字确认后,由沈建康教授主刀,为赵女士行肿瘤切除手术。

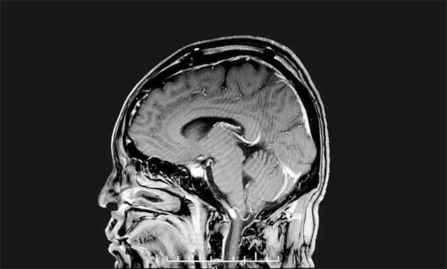
▲ 患者术前磁共振影像
术中可见,患者硬脑膜局部凸起,有明显肿瘤侵犯,硬膜动脉增粗。切开硬膜后,乒乓球大小(约4CM*4CM)的肿瘤呈灰白色,血运丰富。沈建康教授取瘤组织标本病理送检后,开始着手分块切除肿瘤。
在显微镜下,肿瘤自矢状窦向外生长,瘤体已包裹住了一支较大的皮层引流静脉。这条静脉非常重要,负责引流中央脑回的血流,必须完整保留。一旦损伤会引起静脉性水肿,严重的可导致灾难性后果——患者偏瘫甚至死亡。
沈建康教授聚精会神、抽丝剥茧般一点点游离肿瘤包裹的静脉,再以超声刀切除残余肿瘤组织,历时四个多小时,手术顺利完成。术后经病理分析,该肿瘤为脑膜瘤,与术前诊断相一致。

▲ 肿瘤已被切除
虽多为“良性” 但也可能有“大麻烦”
脑膜瘤,是神经外科常见的颅内肿瘤之一,发病率占颅内肿瘤的19.2%,仅次于胶质瘤,居第2位。沈建康教授表示,脑膜瘤的常见症状包括:颅内压增高表现(如:头痛头晕、恶心呕吐等)、神经功能障碍(肢体无力、肢体感觉障碍、言语不利等)、癫痫等。一些特殊部位脑膜瘤,如鞍旁脑膜瘤可能出现视力视野障碍,桥小脑角脑膜瘤会有面部感觉障碍、听力障碍等、嗅沟脑膜瘤会有嗅觉丧失症状。
脑膜瘤一般生长缓慢,病程较长,大部分患者在患病初期并没有明显的不适症状,等到出现明显临床症状时,肿瘤往往已生长得比较大了。
根据世界卫生组织(WHO)病理分类标准,90%以上的脑膜瘤属于良性肿瘤,仅少数脑膜瘤是恶性肿瘤,但大家并不能因此掉以轻心。沈教授表示,脑膜瘤原则上应做到全切除,但当肿瘤侵及颅内重要动静脉血管时,相较于大脑凸面等部位的脑膜瘤,其手术难度往往相对较高。需要正确判断动静脉系统受累及程度,采取合适的手术处理方法。
以侵及上矢状窦静脉回流系统的脑膜瘤为例,一旦在切除肿瘤的过程中造成静脉系统损伤,可能引起患者肢体瘫痪、失语、弥漫性脑水肿、静脉堵塞后出血,严重时可导致长期昏迷甚至死亡。

▲ 借助蔡司显微镜(双荧光),沈建康教授为患者手术
沈教授同时指出,如今,借助先进的显微镜设备,可有效提高脑膜瘤的全切率,降低手术风险。
小贴士
脑膜瘤早期可疑症状要注意
综上所述,脑膜瘤是很常见的颅内肿瘤,由于其生长缓慢,病程较长,早期症状轻微,易被忽视和漏诊,常在体检时偶然发现。
沈建康教授提醒,脑膜瘤早期症状一般有头痛、头晕、恶心、呕吐、癫痫、视觉嗅觉改变或精神异常等。此时应尽快就医,以免疾病继续进展,引起更严重的后果。
当被确诊为脑膜瘤时,不必谈“瘤”色变,因为绝大多数脑膜瘤都是良性的,预后较好。大部分脑膜瘤的生长位置并不深,手术切除后并不会影响脑部功能。如果脑膜瘤生长已经影响到血管神经,无法进行手术全切时,也可采用放射治疗等其他治疗方法进一步抑制肿瘤生长。
上一篇:说话是门艺术吗?卒中失语症会康复吗? 下一篇:优质服务(系列三) | 医院“中枢神经”保障与畅通,离不开这群特殊的“医生”
2026年5月25日是世界预防中风日。脑卒中防治重在“早发现、早预...【详细】


