“三十岁IT男经常熬夜加班发生中风”“十几岁少年连日玩游戏忽然中风” “九岁女童罕见中风”…… 近年来,关于年轻人中风的新闻屡见不鲜,中风已不再是老年人的“专利”,现在,越来越多的年轻人甚至于几岁孩童,也加入了该疾病的“大军”;据统计,在中国近五年,中风在中青年人群中的发病率逐年攀升。
近日,《柳叶刀·神经病学》发表的一项关于2016 年全球疾病负担的分析报告显示,2016年,全球中风新发病例为1370 万人,其中中国就占了40%,为551万人。全球550 万人因中风死亡,中国占1/3,为179 万人。在全球各国年龄标化中风发病率当中,中国位居前列。

脑卒中(Cerebral Stroke)俗称“中风”,是由于脑部血液循环障碍引发的脑部血管突然破裂或因血管阻塞导致血液不能流入大脑而引起脑组织损伤的一组疾病。包括缺血性脑卒中和出血性脑卒中两大类,比如脑梗就属于缺血性脑卒中,而常说的脑出血则属于出血性脑卒中,该疾病具有高发病率、高致残率、高复发率及高死亡率等四高特点,严重危害人类健康和生命安全。
中风越来越年轻化,究竟为何?
世界知名医学期刊《柳叶刀》发布的全球疾病负担研究显示,脑卒中在中国仍是位列第一的死亡病因,脑卒中患者呈年轻化趋势。在中国所有脑卒中患者中,40岁~64岁的中年患者占近50%;脑卒中高危人群中40岁~64岁的人群占比超过60%;40岁以下的脑卒中患者也越来越多,说明脑卒中患者年轻化趋势明显。
中风趋于年轻化并逐年增多,对此上海蓝十字脑科医院神经外科6B主任潘仁龙表示,这些变化的出现与现代年轻人的生活方式及自身遗传等相关因素息息相关。其中包括过度劳累、经常熬夜、吸烟酗酒、缺乏运动等不良的生活习惯,致使很多年轻人都出现了高血压、高血糖、高血脂的“三高”情况,加之一些年轻人还有心脑血管病家族史、肥胖症等遗传因素,还有一些比较少见的危险因,都促使着中风向年轻化的趋势发展。
中风趋于年轻化,常见因素主要有以下几种:

1、经常熬夜:
中风趋于年轻化,与年轻人长期熬夜有很大的关系。不管是加班熬夜、玩游戏,还是刷视频、看微博,长期熬夜会造成睡眠不足,对身体的伤害非常大,会导致内分泌失调,致使血液循环速度减慢、心率加速、血压升高,容易诱发中风。
2、吸烟喝酒:
香烟中的尼古丁、一氧化碳等会损伤动脉内壁,使血管痉挛、心跳加快、血压升高,增加中风的风险;而酒的主要成分是乙醇,长期饮酒对人体各种组织细胞均有损害,可引起中枢神经兴奋,血压升高、心率加快,易引发脑出血。
3、缺乏运动:
许多年轻人办公室工作,久坐不动,运动又少,加之现在年轻人饮食不均易造成肥胖,及三高问题;而长期不动其新陈代谢速度较慢,血管的血流速度也会减慢,容易造成血管堵塞,而加大中风风险。
4、高血压:
是中风的首位危险因素及最多见危险因素,血压波动大、血压高都会损伤血管内膜,导致动脉内粥样硬化,动脉内斑块形成,从而增加了中风的发生率。
5、糖尿病:
糖尿病患者常伴有高血压、血脂紊乱等心血管病变,而高血糖累及大血管的主要表现正是动脉粥样硬化,糖尿病患者与非糖尿病患者相比,发生心脑血管疾病的风险要高2~4倍。
6、高血脂:
研究表明,血脂异常是缺血性卒中的重要危险因素,而血清总胆固醇水平升高与缺血性卒中的发生密切相关,随着血清胆固醇水平增髙,其缺血性卒中的风险相应增加,胆固醇每增加 1 mmol/L,缺血性卒中的风险增加 25%。
长时间玩游戏和刷视频,33岁男子突发脑出血昏迷
近日,上海蓝十字脑科医院神经外科6B病区,收治了一位33岁脑出血患者小文(化名)。据潘仁龙主任介绍,小文是他收治的脑出血患者中,算是比较年轻的一个,他不抽烟、也不喝酒,但有高血压病史,却一直不重视,控制也一般;他急性起病,是典型的玩手机过度,长时间的紧张劳累,血压突然升高造成的脑出血。
对于小文的病发过程,其妻子林女士(化名)回忆道:“3月23日晚上,老公像往常一样连续玩了两个多小时的游戏、刷了一会视频,之后快12点左右才睡觉的,但凌晨两点左右他去上厕所,随后就听到‘砰、咚’的声音,我赶紧跑到厕所将摔倒在的老公扶到了床上。当时他没什么异样,但第二天起床时,我发现他明显不对劲,虽然睁着眼,但怎么叫都没反应,我急忙拨打120叫来救护车把老公送到就近的医院救治。”

▲ 患者突发脑出血,致使其右侧偏瘫并昏迷不醒
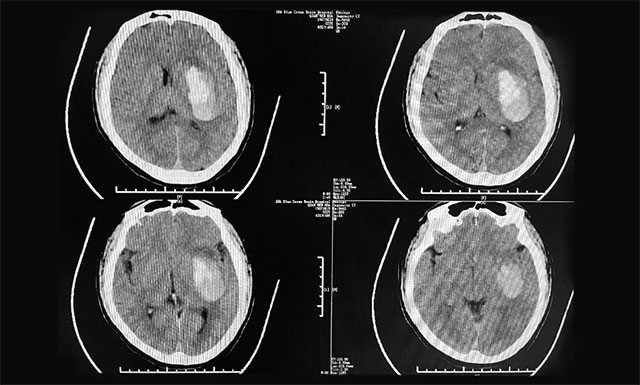
在医院,小文紧急进行了头部CT检查,影像提示:左侧基底节区脑出血,当时小文人已经陷入昏迷,右侧肢体偏瘫,手术风险大,医院建议保守治疗并及时予以对症药物治疗。但鉴于丈夫小文病情危重,家人心急如焚,妻子林女士与家人商量后,决定转院进一步手术治疗,随后于当天下午,慕名转诊于上海蓝十字脑科医院,收治于神经外科6B病区。
及时手术患者逐渐清醒,专家提醒中风需及早防治
对于小文当日入院情形,潘仁龙主任仍记忆犹新:“小文属于急性脑出血,当天下午4:30就转入了蓝十字脑科医院,为了方便治疗和及时手术,直接走医院脑卒中绿色通道。他来院时神志模糊,自动睁眼,无言语,其右侧偏瘫严重,上下肢肢体肌力仅有1级,情况危急,结合其头部影像检查,其出血约为40ml左右,需及早手术。”

▲ 正为患者手术的吴治群博士(右一)
再告知家属手术风险、可能预后并得到其支持后,随后于下午6:00多,潘仁龙主任、吴治群博士组成的手术团队及时为小文进行了手术:颅内血肿清除术 + 颅内压监护探头置入术 + 去骨瓣减压术,经过吴博士和医护人员3个多小时的努力与协作,最终手术顺利完成。
对于此次手术,吴治群博士解析到,因患者是左侧基底节区出血,部位靠近功能区,对其言语及肢体功能的影响还是比较大的。这次通过显微神经外科手术,我们选择经患者大脑侧裂清除血肿,可沿着原有正常的大脑间隙进行分离,在尽可能帮助患者清除血肿的同时,保护好其脑部神经功能,这样患者可以有一个良好的预后。由于及时手术清除了血肿,手术后第二天人就清醒了,三天后就已从监护病房转到普通病房了,经过一个多月的治疗和护理,现在他的意识已完全恢复,可以简单言语,右侧上下肢体功能也有所恢复,需进一步训练,尤其对腿部肌肉进行站立练习等多项锻炼才能恢复。

▲ 及时手术清除血肿,小文已清醒
对于年轻人中风的防治,潘仁龙主任强调:年轻人应该从改变不良的生活方式开始做起,注意压力的调节、少熬夜多休息、少烟少酒、多运动、均衡饮食,注意高血压、糖尿病、高血脂、肥胖等这些外在因素的预防和控制;且还应注意心脑血管病家族史等遗传因素,还有一些比较少见的危险因素,如脑血管畸形或先天发育异常、遗传基因突变及血管损伤等其他危险因素,早发现这些先天性因素,早干预、早治疗,从而更好地预防、减少中风的发生发展。
上一篇:没有了 下一篇:抗疫女护士突发脑出血倒下,专家提醒:身体出现这些症状要注意了!
2026年5月25日是世界预防中风日。脑卒中防治重在“早发现、早预...【详细】


