在很多人的印象中,脑卒中(俗称:中风)好像是中老年人才会得的病,然而近些年来,脑卒中的发病年龄越来越年轻。
近来,世界知名医学期刊《柳叶刀》发布的全球疾病负担研究显示,脑卒中在中国仍是位列第一的死亡病因;脑卒中患者呈年轻化趋势。在中国所有脑卒中患者中,40岁~64岁的中年患者占近50%;脑卒中高危人群中,40岁~64岁的人群占比超过60%;40岁以下的脑卒中患者也是屡见不鲜,说明脑卒中患者年轻化趋势明显。
38岁男子突发脑梗半身偏瘫
今年38岁的小张(化名)不抽烟不喝酒,也没有其他不良嗜好,正值壮年的他正为了一家的未来努力打拼。但是不曾想一场意外悄然而至,去年8月9号凌晨正在睡梦中的他突然摔下床,醒后发现言语不清,左侧肢体乏力,左上肢抬举不能,左下肢不能站立。之后妻子王女士发现丈夫异样,立即打120送到当地医院急诊。
头颅CTA提示:右侧大脑中动脉闭塞可能,建议手术治疗。后在家属要求下转到上级医院治疗,于急诊行降颅内压、护胃、活血等对症治疗。8月10日晚,转入上海蓝十字脑科医院寻求进一步治疗。
入院时,患者处于浅昏迷状态,GCS评分10分,大小便失禁。
“他身体一向很健康,但是由于从事外贸工作,难免加班熬夜。”说起丈夫的情况,张女士表示很突然,没想到会突发脑梗。

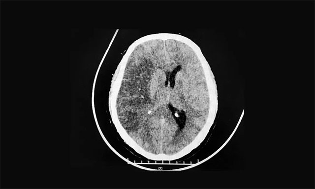
▲ 大面积出血性脑梗死
CT显示,右侧额颞顶枕叶(大脑中动脉供血区)大面积出血性脑梗死,脑肿胀,右侧高颅压。蛛网膜下腔出血。针对患者病情,脑血管病病区主任张琪博士迅速在急诊下为患者行右侧颅骨去骨瓣减压术,术后患者病情逐渐平稳。
张琪博士表示,出血性脑梗死是指脑梗死后梗死动脉再通恢复血液灌流,梗死灶继发出血,头颅CT表现为在原有的低密度病灶内出现高密度影像。高血压、大面积脑梗死、心脏病、房颤等高危因素与出血性脑梗死明显相关。张琪博士提醒,出血性脑梗死起病较隐匿,临床中易忽视,应多注意观察病情,定期复查头颅CT,以免漏诊,贻误病情。若出血量增加需按脑出血处理,如果占位效应明显、脑水肿严重,可能出现脑疝,要及时行开颅手术治疗。
在患者病情平稳后,张琪博士根据小张的病情,为其制定了药物对症治疗辅以康复训练的个性化治疗方案,力求改善患者的言语和记忆力障碍,通过积极锻炼提高其肌力,促使其神经功能尽快恢复。
经过近半年的治疗,目前小张身体恢复良好,已经可以独自下地走路,说话流利,基本可以生活自理,期间接受了颅骨修补手术,目前已经顺利出院。

▲ 小张已经可以站立行走
青年人为什么被中风缠身?
脑卒中 (Brain Stroke) 俗称中风,包括缺血性脑卒中(脑梗死)和出血性脑卒中(脑实质出血、脑室出血、蛛网膜下腔出血)。具有发病率高、致残率高,死亡率高的“三高”特点。
青年脑卒中是指 45 岁以下(18-44岁)成人发生的卒中,占全部卒中的 5-15%。国内报道的青年卒中占全部卒中的 13.3%,在35-45岁年龄段,脑血管病的发病率男性为18/10万-142/10万,女性为23/10-95/10万。卒中呈年轻化趋势,且年轻化趋势越发明显,青年卒中的发病率越来越高,给个人、家庭和社会带来沉重负担。

▲ 中风越来越年轻化
张琪博士表示,青年人因劳累、熬夜、吸烟,应酬多及生活作息没有规律等不良生活习惯,造成不少人年纪轻轻便出现“三高”症状(高血压、高血糖,高血脂)。有心脑血管疾病家族史、体型肥胖以及长期抽烟、缺少运动和心理压力较大者,都属于心脑血管疾病的高危人群,这些人群也易患脑卒中。同时,因现代生活工作节奏快、压力大,青年人群吸烟酗酒、运动量少、高热量饮食、过度熬夜等不健康的生活方式也导致了“青年卒中”的发病率不断增高,有很多正值青壮年的患者在工作生活中毫无征兆地突然倒下。
警惕青年卒中的危险因素
一、老年人群多见的传统危险因素在青年人群中普遍提前,如高血压、动脉粥样硬化、糖尿病、心脏病、烟酒、肥胖、活动减少等。高血压是卒中的首位危险因素及最多见危险因素,无论收缩压或舒张压、平均动脉压增高,都会增加卒中发生率,有研究证明高血压在青年卒中中占59%。早发性动脉粥样硬化占青年脑梗死病因的20-30%,平均年龄多在35岁以上。这与越来越多的青年人血脂代谢异常、高血压、糖尿病、肥胖、吸烟,从事紧张的工作及进食高热量饮食有关。
二、比较少见的危险因素如:1、脑血管畸形或先天发育异常;2、感染;3、自身变态反应;4、少见的心源性栓子;5、凝血机能亢进或出现异常成分;6、遗传基因突变;7、血管损伤;8、其他原因不明因素,像吸烟、酗酒、药物滥用等均可导致缺血性和出血性卒中的发生增多。吸烟者缺血性卒中的发生率是不吸烟者的1.9倍,蛛网膜下腔出血的发生率为不吸烟者的 2.9 倍。
三、新的危险因素如:1、代谢脂蛋白a、同型半胱氨酸、甲状腺功能亢进、桥本氏病;2、遗传 ApoE、同型半胱氨酸代谢酶、遗传性血栓形成倾向;3、生活方式;4、心理社会因素。

▲ 高血压是卒中的首位危险因素及最多见危险因素
先天性的危险因素,是不可预防和控制的,但多数后天病因及危险因素是可预防和可控的,例如高血压、糖尿病、吸烟、饮酒等。遗憾的是,这些病因及危险因素在发病前大多不被人知晓或重视,以致于造成脑血管发病越来越年轻化。因此尽早发现那些先天性因素,同时对那些后天可控因素进行早期预防与干预具有重要意义。

▲ 保持健康生活方式
在日常生活中,年轻人则需要做到:
1、控制“三高”,即高血压、高血脂、高血糖;
2、保证良好的睡眠,规律作息;
3、健康饮食,多食水果蔬菜,少食高脂肪高热量食物;
4、坚持积极适度的体育锻炼;
5、戒烟限酒;
6、学会管理好自己的情绪,保持良好的精神状态。
张琪博士提醒,如果突然出现一侧肢体无力、麻木;一侧面部麻木或口角歪斜;说话不清或理解语言困难;双眼向一侧凝视;单眼或双眼视物模糊、视力丧失;视物旋转或平衡障碍等症状,有可能是脑卒中先兆,应尽早拨打120到有能力救治的医院、包括脑专科医院进行急救,以免错过治疗的较佳时机。“时间就是大脑”,对脑卒中患者尤其如此!
上一篇:冬季是中风高发期,神经内科张静波主任提醒:老人需做好六点防护 下一篇:张琪博士:脑卒中“卷土重来”危害更大,预防脑卒中复发,需要做好这些事!
2026年5月25日是世界预防中风日。脑卒中防治重在“早发现、早预...【详细】


