“脑卒中”(Cerebral Stroke) 又称“中风”、“脑血管意外” ( CerebralVascular Accident,CVA ) 。是一种急性脑血管疾病,是由于脑部血管突然破裂或因血管阻塞导致血液不能流入大脑而引起脑组织损伤的一组疾病,包括缺血性和出血性卒中。缺血性卒中的发病率高于出血性卒中,占脑卒中总数的60%~70%。随着生活方式的变化,我国卒中的发病人数正在持续增加,且不断呈现年轻化的趋势。
根据《中国脑卒中防治报告2019》,2018年我国居民因脑血管病致死比例超过20%,这意味着每5位死亡者中至少有1人死于卒中。
急性脑梗的治疗是一场“大脑与时间的赛跑”,如果能在发病后4.5小时内进行溶栓治疗,大部分患者的生命可以得到挽救,终生残疾可以得到预防,因此静脉溶栓是缺血性脑卒中时间窗内临床上推荐的治疗方式。一旦超过“4.5小时溶栓黄金时间”,患者就会因为时间延误失去了治疗的较佳时机,从而导致急性脑梗患者致残、甚至死亡。

脑梗“疾如风”,出现这些症状需警惕
上海蓝十字脑科医院脑血管病病区主任张琪博士介绍,脑梗发作“疾如风”,发病非常迅速,属于急症,有的患者睡觉前还好好的,但一觉醒来就发现一侧偏瘫、肢体麻木、言语不清等严重病症。但一般脑梗患者在发作前往往都会出现一些先兆症状,应引起广大患者的注意,具体如下:
脑梗常见先兆症状:
a、肢体症状:动一动,没劲了,突然出现肢体(伴或不伴面部)麻木或者乏力、笨拙,特别是出现在身体的一侧,并站立不稳,很快缓解后又发作,就要当心脑梗的侵袭了。
b、言语症状:笑一笑,嘴歪了,突然言语不清或者言语理解困难,但持续时间短,不超过24小时,应引起重视。
c、眼部症状:看一看,眼花了,突然单眼或者双眼看物体困难,或者看物体模糊。几秒钟或几十秒钟后便完全恢复正常,医学上称单眼一次性黑朦,是脑梗的又一信号。
d、头部症状:不知不觉头痛了,突然眩晕,突然失去平衡,突然没有原因的剧烈头痛、呕吐,几秒钟后便恢复常态,要警惕脑梗的发生。
e、不明跌跤:由于脑血管硬化,引起脑缺血,运动神经失灵,可产生共济失调与平衡障碍,而容易发生跌跤,这也是一种脑梗的先兆症状。
门诊预检及时发现脑梗征兆,诊断后启动卒中绿色通道抢救急性脑梗患者
12月2日,住在医院附近的李先生(化名)突然发现右下肢无力,不能行走,持续约10分钟后症状完全缓解。但5分钟后再次出现右下肢无力,伴有右侧肢体麻木,较之前加重。遂来我院门诊问诊,护士长李兰馨预检发现脑梗征兆,门诊医生通过仔细询问其病史,并结合其刚出现的症状,初步判断为急性脑梗,随即转到急诊科,并启动卒中绿色通道。
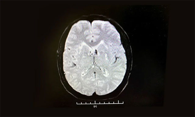
从急诊科11:11接诊,11:13建立静脉通道,到11:28影像科CT平扫排除脑出血,并告知家属,经反复沟通到11:56接受溶栓,门诊、急诊科、脑血管病科、影像科、检验科等多个科室通力合作,发挥多学科联动优势,无缝对接,DNT (Door to Needle Time——从患者入院急症科到接受溶栓治疗时间)用时为45分钟,为抢救患者的大脑功能赢得了宝贵时间。

▲ 根据急诊CT影像结果,排除患者脑出血
张琪主任指出,由于脑组织对缺血和缺氧非常敏感,一旦发生脑梗,如果未得到及时救治,患者将以每分钟190万个神经元细胞死亡的速度丧失脑神经功能,尤其是发病时间超过4.5小时后,脑细胞就会出现不可逆转地死亡。因此,对于脑梗患者应在发病4.5小时内尽可能静脉溶栓治疗,在发病6-8小时内,到有条件的医院可进行适当的急性期血管内干预。
抢占“4.5小时溶栓黄金时间”需要中风症状的识别及家属的密切配合
从目前中风救治的现状来看,中风抢救的时间延误主要三个时间段,第一是发生中风时,对于中风症状的识别和拨打120的时间段;第二是从发生中风的地点赶往医院的时间;第三是进入医院后做体检,到签署溶栓知情同意书,开始溶栓治疗之前。这三个时间段中,中风症状识别和签署溶栓知情同意书是两大难点,也是救治中风患者的两大关键,需要家属的参与和共同努力。

▲ 抢占“时间窗”需要家属密切配合
牢记“中风120”,让你快速识别脑中风
要快速判别脑梗与否,请牢记“中风120”——
“1”代表“:看“1”张脸,脸上是否会出现不对称、口角歪斜的表现;“2”代表“:查“2”只胳膊,同时平行举起两只胳膊,是否会出现单侧无力;“0”代表“:(聆)听语言,是否会言语不清,表达困难。

脑中风一旦发病,具有危、急、重的特点,时间就是大脑,就是生命,在患者发病后,早期救治,一分钟、一秒钟都不能耽误。对照上图自查,只要有其中一项表现,就应赶快拨打120急救,尽快赶至具备脑中风救治条件的医院进行抢救,尤其是已建立“脑卒中急救绿色通道”的医院,以免延误治疗。
多学科协作 打造卒中救治“一体化模式”
作为一家有着良好技术及专科资源优势的脑专科医院,上海蓝十字脑科医院一直致力于卒中防治工作,重点打造脑血管病特色专科,打造防、救、治融合性卒中救治“一体化模式”。医院积极探索卒中救治新模式。2017年启动卒中中心建设,多学科协作,包括做好急性期患者的快速全程救治,构建高效、高质的卒中绿道救治体系等。目前,医院已成立脑血管病科(7B病区),专门设立了脑卒中急诊,配置多名能独立完成静脉溶栓的卒中医生值班,另有2名具备独立开展取栓治疗能力的神经介入治疗师,可全天候(7天*24小时)待命。搭建了集院前急救、专科救治、院后管理为一体的多学科、多模式“脑卒中急救绿色通道”。
目前,医院DNT平均时间为42分钟,最快21分钟;DPT(病人从入院到血管穿刺成功的时间)平均时间为94分钟,最快58分钟;两项指标均达到国内先进水平。2019年,该项目成功获评首批上海市“创新医疗服务品牌”,并成为国家卫健委脑防委 “示范防治卒中中心”。

▲ 成为“示范防治卒中中心”
2020年8月26日,上海蓝十字脑科医院国家示范防治卒中中心正式揭牌,成为长三角卒中专科联盟单位,这为医院发展带来了机遇与挑战,医院将顺势而为,积极作为,不断提升卒中救治能力,让区域内民众享受更优质的治疗水平,为健康闵行、健康中国作出更大的贡献。
上一篇:“女网红”户外直播突发脑中风 神经内科李振并主任提醒:秋冬交替谨防脑卒中 下一篇:冬至话养生,尤其要注意预防脑中风
2026年5月25日是世界预防中风日。脑卒中防治重在“早发现、早预...【详细】


