骨骼是晚期恶性肿瘤常见的转移部位,在乳腺癌、肺癌、前列腺癌、胃癌、肾癌、宫颈癌等恶性肿瘤中较为常见。当肿瘤发生骨转移,往往预示着恶性肿瘤已演变发展到晚期阶段,不但可导致患者的身体功能、生活质量急剧下降,且会导致患者的死亡风险升高。
“骨头疼”切勿掉以轻心
当恶性肿瘤转移至骨骼,身体会出现剧烈的疼痛感,患者往往非常痛苦。上海蓝十字脑科医院肿瘤(放疗)科主任王晓东表示,疼痛是大多数转移性骨肿瘤最常见的症状,发生率约为50%-90%,其早期多为间歇性钝痛,进展期表现为持续性剧烈骨痛,夜间或活动都可能出现疼痛加重的现象。

除了疼痛外,转移性骨肿瘤的典型症状还包括:
肿块
一般于疼痛发生后出现,骨转移瘤持续生长可能会形成肿块,可以通过肉眼或触诊发现。
病理性骨折
轻微外力导致的骨折,约5%-40%的患者会出现,好发于股骨、脊柱等负重部位,可能表现为剧烈疼痛和骨骼稳定性变化。
高钙血症
发生率约为10%-20%,因大量骨骼钙进入血液所致。轻度时可表现出恶心、便秘、体重减少和精神不佳等;中度时可表现为肾功能不全;重度高钙血症可导致重度呕吐、脱水、意识丧失等危及生命的症状。
脊髓压迫及脊神经压迫
通常由脊柱骨转移引起,初期多表现为局部疼痛或放射性疼痛,也可出现腰背痛、肌无力等症状,病情持续发展还会导致瘫痪和大小便异常等。

上海蓝十字脑科医院肿瘤(放疗)科主任王晓东进一步表示,在各种症状中,疼痛往往是转移性骨肿瘤的首发症状。有些患者因害怕疼痛加剧,会减少活动并保持卧床,进而引发肺炎和肺栓塞,产生抑郁、焦虑,还会导致肌肉萎缩、食欲不振、失眠等,严重影响生活质量。因此,当四肢、脊柱、盆骨等部位出现疼痛或肿块时,切勿掉以轻心,应及时就医。对于某些高风险发生骨转移的恶性肿瘤(如乳腺癌、肺癌、鼻咽癌、前列腺癌等)中晚期患者,可以考虑把排除骨转移的临床检查作为常规检查项目。
骨转移瘤的重要治疗方法——放疗
王晓东主任表示,出现转移性骨肿瘤并非“宣判”了癌症患者生命的终末期。近年来随着精准放疗等新技术的广泛采用,对转移性骨肿瘤治疗产生了积极影响,已由原来的单一手术治疗转变为手术、全身化学药物治疗、放射治疗、对症支持治疗等多种方法综合治疗,通过控制全身转移,提高生存率。
放射治疗是利用高能放射线杀灭肿瘤细胞的一种治疗方法。王晓东主任表示,对于转移性骨肿瘤患者而言,选择放疗的目的主要有以下几点:一是单纯短期止痛的目的;二是控制病灶进展;三是控制肿瘤细胞进一步扩散转移。因此,转移性骨肿瘤放射治疗在强调综合治疗的基础上,要根据不同的治疗目的,结合病患具体情况,选择合适的放疗方案。
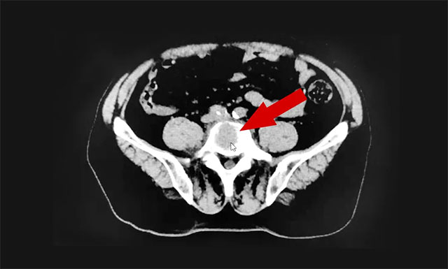
年近六旬的患者黄先生(化名),于2019年发现肝脏肿瘤后进行了手术切除,术后病情有所好转。然而好景不长,2020年,患者病情复发,在外院行介入手术治疗。此后,查出腰椎部出现转移性病灶,持续性疼痛导致其夜间无法入睡,严重影响生活。今年1月下旬,患者来上海蓝十字脑科医院肿瘤(放疗)科就治,希望通过放疗减轻疼痛。

▲ 患者腰椎部出现转移性骨肿瘤
在进行了五次放射治疗后,患者并未感觉明显好转,一度打算放弃治疗。肿瘤(放疗)科主任王晓东了解情况后,特意到病房劝慰患者。他耐心地向黄先生解释,放疗能杀灭杀伤肿瘤细胞,减缓病灶进展。多数骨转移瘤患者在接受放射治疗后,疼痛能得到不同程度缓解,但其显效需要一定的周期。“你现在疗程刚刚过半,半途而废非常可惜。”听了王晓东主任的话,患者回心转意,表示会继续配合治疗。

▲ 王主任与患者交谈
当完成整个治疗过程后,王晓东主任再次查房时,患者黄先生笑着跟他打招呼。“现在还疼吗?”王主任关切询问道。“好多了,多亏听您的话坚持下来了!”黄先生感激地表示。同病房病友也打趣地应和着,现在病房里就数黄先生“最精神”了。
王晓东主任表示,大量研究及临床试验证明,恶性肿瘤即便发生了骨转移,也不宜过早放弃治疗,尤其是针对单发或局限的骨转移瘤,通过合适的治疗方法,患者还是有机会获得较长的生存期的。

▲ Elekta Synergy全数字化医用直线加速器
为了在减轻肿瘤患者痛苦的同时,取得较好的放疗效果,上海蓝十字脑科医院肿瘤(放疗)科专门引进了放疗设备——瑞典Elekta Synergy全数字化医用直线加速器。这是一款具有图像引导放射治疗(IGRT)能力及容积旋转调强(VMAT)治疗能力的高端放疗设备,可以达到“三精”(精准定位、精准计划、精准治疗)为特征的高能X射线放射治疗。可满足现代放疗时代的技术需求及高级应用,如三维适形放疗(3DCRT)、调强放疗(IMRT)、容积旋转调强治疗(VMAT)、立体定向放疗(SRT)等;在较大限度保护正常组织及器官(OAR)的情况下,提高对肿瘤的照射剂量,缩短治疗时间,提高治疗的安全性,达到精准放射治疗的效果。
上一篇:9.21世界阿尔兹海默症日 | 从根源上认识 “老年痴呆症” 下一篇:声音嘶哑、咽喉部异物感等不适持续加重 要警惕喉部恶性肿瘤
学术氛围热烈,思想碰撞不断。3月14日,第十三届芝加哥大学医学...【详细】


