日常生活中,很多人都曾经历过头晕。多数人往往将其归因于疲劳、失眠或颈椎问题,休息片刻便不再在意。然而,你可能不知道,有些头晕的背后其实是脑血管发出的警报,背后可能隐藏着一种被称为“后循环缺血”的潜在危机,若没能及时识别与处理,可能危及生命。

▲ 潘登博士在作学术报告
什么是后循环缺血?
我们的大脑供血主要依靠两大系统:前循环(颈内动脉系统)和后循环(椎基底动脉系统)。后循环系统由椎动脉、基底动脉、大脑后动脉等血管组成,负责为脑干、小脑、丘脑、枕叶及部分脊髓等重要结构供血。
急性后循环缺血性卒中,是由于后循环血管狭窄、闭塞导致血流灌注不足或血栓栓塞,进而引发脑组织缺血性损伤。这类卒中约占所有缺血性卒中的20%–25%,是导致患者残疾和死亡的重要原因之一。
其中最严重的类型之一是脑干梗死。近年来流行病学调查显示,脑梗死不仅呈现“年轻化”趋势,发生在后循环区域的梗死比例也在升高。
警惕不典型症状,别忽略这些预警信号
提起脑梗死,很多人会立即想到“突发半身不遂、口眼歪斜、言语不清”等典型表现。但后循环缺血的症状却常常“不按常理出牌”。
上海蓝十字脑科医院【同济大学附属脑科医院(筹)】脑血管病二科4B病区主任潘登博士指出:后循环梗死的症状往往不典型,易与其他疾病混淆,可能表现为:头晕或眩晕、视物重影、呕吐、行走不稳、言语含糊、口周或面部麻木、肢体麻木等。
正因为这些症状与耳石症、眼部疾病甚至焦虑症有相似之处,导致许多患者辗转于眼科、耳鼻喉科等多个科室,延误了最佳诊治时机。

▲ 后循环梗死的症状往往不典型
为什么后循环缺血如此危险?
供血区域关乎“生命中枢”
后循环负责为脑干、小脑、丘脑及枕叶等关键区域供血。脑干直接调控呼吸、心跳与意识,小脑主管平衡与协调。这些区域功能核心且高度密集,一旦缺血,将直接影响基本生命功能和全身协调性。
早期诊断难度大
这进一步增加了其危险性:首先,常规急诊头颅CT对后颅窝(脑干、小脑所在区域)的早期缺血灶敏感度低,极易漏诊,而确诊依赖的磁共振(MRI)并非所有医院都能随时提供。其次,因症状与多种常见病重叠,临床鉴别困难,导致从发病到明确诊断的时间往往延迟,难以在溶栓时间窗内及时对患者进行评估并实施溶栓治疗。
致死与致残风险高
后循环缺血致死与致残率极高,关键在于:病情进展极为迅猛。其前期短暂的眩晕、麻木等症状(TIA)极具迷惑性,但因后循环血管易形成致命血栓且侧支代偿差,可在数小时内恶化为大面积脑干或小脑梗死,导致呼吸心跳骤停。

▲ 后循环缺血十分危险
后循环缺血救治:时间就是大脑
后循环缺血的救治,是一场与时间的赛跑。
静脉溶栓的黄金时间窗为发病后4.5小时内,可结合临床和多模影像评估延长溶栓时间窗到24小时,越早效果越好,并发症越少。动脉取栓的时间窗稍长,但也同样是越早效果越好。
“头晕”加“口唇麻木”,竟是脑干梗死
在众多因头晕就诊的患者中,精准识别出后循环缺血,考验着医生的经验与判断力。不久前,潘登博士接诊了一位六旬的女性患者 。她因“头晕、口唇麻木一天”前来就诊,没有出现肢体无力、言语不清等典型中风表现。凭借丰富的临床经验,潘登博士在详细了解病史后,高度怀疑是后循环梗死,立即为她安排了头颅磁共振检查。
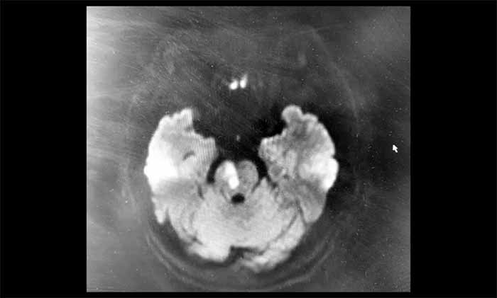
磁共振弥散加权成像(DWI)结果显示:脑干区域可见明确的斑片状高信号影,对应的ADC图呈低信号——这是新发脑干梗死的影像证据。脑动脉成像同时提示血管轻度硬化,右侧椎动脉V4段纤细。基于对后循环缺血的深刻认识和对影像细节的敏锐把握,潘登博士结合影像与临床症状,迅速明确了诊断,为患者争取了宝贵的治疗时间。
“这位患者症状看似轻微,但DWI影像显示脑干已发生急性缺血损伤。脑干结构精细、功能关键,即使小范围梗死也可能带来严重后果,或是更重症风险的前兆。”潘登博士说。

▲ 脑干梗死
预防重于治疗:守住脑血管健康防线
潘登博士表示,后循环缺血虽然凶险,但其发生往往是长期危险因素作用下的渐进过程。预防的关键在于主动管理危险因素:
控制基础疾病:严格遵医嘱管理高血压、糖尿病、高血脂,将其控制在达标范围内。
养成健康习惯:戒烟限酒,坚持低盐、低脂、低糖饮食,多摄入蔬菜水果,控制体重。避免长期熬夜与过度劳累。
关注血管健康:定期体检,特别是有针对性地进行脑血管相关检查(如颈动脉超声、经颅多普勒等),了解自身血管状况。
识别预警信号:对上述提到的那些不典型症状保持警觉,一旦出现,及早就医,明确诊断。
头晕,可能不只是小毛病,它也许是后循环系统发出的“求救信号”。提高对后循环缺血的认识,了解其不典型的表现,是在脑血管危机面前为自己与家人争取时间的关键。潘登博士强调:“对于脑血管疾病,时间就是大脑,时间就是生命。”保持警惕、科学预防、及时就医,才能更好地守护我们宝贵的脑健康。
文章部分来源:上官新闻、中国后循环缺血的专家共识、西安中医脑病医院、阳光报
注:内容仅供参考,如有不适请及时就医,以医生建议为准。
版权声明:部分图片源自摄图网,如有版权纠纷,请及时联系医院。一经查实,将立即删除。
此文章仅作为临床学术研究、学术交流使用!
上一篇:头晕、耳鸣别大意,这种“沉默”的脑肿瘤需警惕 下一篇:没有了
学术氛围热烈,思想碰撞不断。3月14日,第十三届芝加哥大学医学...【详细】


