本文故事的主人公名叫王继业(化名),今年43岁,是一个朴实本分的农民。他和妻子本来在皖北老家务农,后来随着两个儿子渐渐长大,经济负担加重,于是他就和妻子一起来到上海打工。奋斗几年之后,眼看着就要攒够了给儿子娶媳妇的钱,可是1年前,一场意外改变了他的命运。
一场车祸发现脑瘤
当时王继业和平时一样,骑着三轮车去拉货,马路上熙熙攘攘的车流人流,一不小心,一辆车就碰到了他的车。因为只是一点擦碰,并不严重,和司机协商好之后,两人一起到医院检查。结果出来之后,其他并无大碍,但是医生在王继业的头颅CT中发现了占位病变,很有可能是胆脂瘤!
被车撞到没事,脑子里的肿瘤却像晴天霹雳一样,让王继业感到一波未平,一波又起。“胆脂瘤是一种先天性的良性肿瘤,又叫表皮样囊肿”,听着医生的解释,王继业心里突突的,有点害怕。
因为没有什么不舒服的症状,医生又说是良性的,所以王继业担心几天之后,就把医生建议手术的话忘记了。17年1月份,王继业和妻子一起,像往年一样,回老家过春节。可是脑瘤并没有消停:在一家人吃团圆饭的时候,王继业突然张不开嘴巴,咀嚼无力,这让他觉得莫名其妙。
病情加重 只得手术
不仅饮食困难,过完年回到上海之后,王继业又相继出现头痛头晕的症状。后来,随着头痛越来越严重,王继业琢磨:是不是脑子里的瘤发生了病变呢?
想到这里,王继业心里非常恐慌,在妻子的陪同下,王继业来上海某区大医院又做了检查。排队,等病床,等主刀医生,4月底,王继业接受了“脑干前方肿瘤+颅骨修补术”,后来因为脑积水,又做了脑室腹腔分流手术。
前后两次手术,让这个原本健壮的北方汉子变得十分虚弱。 因为严重的咳嗽咳痰,王继业在重症监护室待了两个多月,后来终于脱离了危险期,转入普通病房。因为气管切开,在医生的建议下:11月,王继业和母亲一起,来到蓝十字脑科医院做后续的康复治疗,入住神经外科。
康复途中遭遇“意外”
“医生跟我们说治好了,不会有问题,于是我们就放心到这里来康复。本来以为他会慢慢好,可是有一天晚上,我带着儿子到医院门口散步,他连腰都直不起来。在沈建康教授(神经外科主任)的提示下,我们又拍了片子,发现脑瘤还有很多没有切掉”。说起儿子的求医经历,王继业的母亲非常无奈。
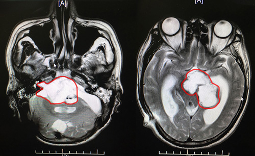
沈教授说:根据患者在蓝十字做的核磁检查报告,我们发现环池、桥前池,鞍上池,左侧四叠体池占位,很有可能是肿瘤术后残余。而且患者的左侧后颅窝硬膜下和左侧枕骨头皮下都是积液,这个情况是必须要再做手术了。

患者术前影像:环池、桥前池,鞍上池,左侧四叠体池占位
患者的病情就是指令,沈教授迅速安排患者完善相关检查,经发现患者肺部感染较重,痰多。在运用抗生素药物的基础上,沈教授邀请中医科专家为患者会诊,根据患者的病情开了止咳化痰利湿的中药方。经过一段时间的治疗和调理之后,病情逐渐稳定。
切除肿瘤 解除危险
另一方面,沈教授召集科室的侯增欣主任(政府特殊津贴专家)等相关专家进行了术前讨论。结合患者的病情,制定手术方案,做了周到的准备工作。
12月15日上午,沈建康教授亲自为患者做了“左侧颞下入路肿瘤切除术”,扣除准备和麻醉时间,此次手术历经5个多小时。

沈教授准备手术
麻醉清醒后,患者被送到重症监护室监护。第二天早上,医生查房,患者意识清楚,体征平稳,引流管也已顺利工作。

患者母亲询问儿子有没有不舒服的症状
患者母亲表示谢意
现在王继业正在做术后的恢复,在医护人员的精心治疗下,头痛和肺部感染的情况都有所好转,之前看东西有重影的症状也消失了。他的母亲王阿姨每天陪在身边照顾,王阿姨今年已经快70岁,本来她是在家照管5个孙子孙女,因为儿媳要工作,老伴也要在家照看年迈的父亲,所以自从儿子生病后,一直是她在医院跑前跑后。看到儿子历经三次手术,她很是心疼,不过心中仍充满感激。
王阿姨说:“虽然家里没什么钱,但只要一家人健健康康的就好。这几次手术,家里的亲戚都帮着凑钱,但最感谢的还是蓝十字脑科医院,感谢沈教授,帮我儿子解除了危险。” 6A病区的护士看王阿姨年纪大了,又没有请护工,经常帮助她,提醒她慢一点,别摔倒,这也让王阿姨非常感动。
现在王继业已经可以下床活动,他的孩子,父亲和爷爷正在家里等着他,今年可以全家人一起过一个健康祥和的春节。

主任查房,叮嘱患者可慢慢下床进行活动
听教授介绍胆脂瘤手术
在小编去采访时,沈教授介绍说:颅内胆脂瘤是神经外科涉及的重要疾病之一。颅中窝胆脂瘤是颅内胆脂瘤的一种,主要表现为三叉神经麻痹症状,如面部感觉减退,咀嚼肌无力等,有时亦出现视力、视野障碍及眼球运动障碍等。50%可形成骑跨于颅中窝、颅后窝型。王继业所患的就是颅内胆脂瘤,肿瘤从颅中窝长到颅后窝,幕上幕下都是肿瘤,因为病情复杂,所以手术切除难度大,手术时间较长。
沈教授还表示:胆脂瘤切除手术的目的在于消除占位,改善功能,手术必须避免新的神经功能缺失,还要明显改善颅神经功能。这次手术不仅将肿瘤切除,而且提高了患者术后的生活质量。
胆脂瘤相关知识
胆脂瘤也叫表皮样囊肿,是起源于异位胚胎残余组织的先天性良性肿瘤。常以视力减退,视野缺损为早期的主要临床表现,少数患者可有内分泌障碍,表现为性功能减退,多饮、多尿等垂体功能不足及下丘脑损害症。
胆脂瘤任何年龄均可发病,高峰年龄均在40岁。男性略多于女性,约为1.25:1。多在成年后才出现症状,以20-50岁发病最多见,占70%以上。可伴有皮瘘、脊柱裂、脊髓空洞症、颅底凹陷症等。根据胆脂瘤分布的位置不同,可以分为颅内胆脂瘤、外耳道胆脂瘤和胆脂瘤型中耳炎。
胆脂瘤多采取手术切除。由于肿瘤系良性肿瘤,术后恢复一般良好,若达到大部切除,则一般复发较晚,可延至数十年甚至几十年。有报道术后长期随访,生存20年以上者可达92%,术后死亡原因主要为颅内感染。近期的几组显微手术的数据表明其手术死亡率已降至1%以下。
此文章仅作为临床学术研究、学术交流使用!
上一篇:神经内科王玉霞:病人相信我,我就要负责到底 下一篇:啥都叫微创,这才是微创,女教师做完垂体瘤手术后不痛无疤
学术氛围热烈,思想碰撞不断。3月14日,第十三届芝加哥大学医学...【详细】


