春节将近,家人朋友间聚会助兴,少不了会饮三杯两盏好酒。然而,饮酒随意就好,不要过量,过量伤身。这不,有个秦大爷最近就因喝酒引发脑出血,幸亏蓝十字脑科医院为他留住了生命。令人哭笑不得的是,他手术后还躺在病床上时,就对儿子儿媳喊道:“给我一瓶干白,喝了我病就好了。”
没有饭可以 没有酒不行
家住浙江台州的秦大爷今年刚60岁出头,不过酒龄已经有40年了。一天三顿饭,顿顿饭都要有酒,不吃米饭可以,但没有酒绝对不行。喝啤酒没有味道, 就把白酒倒在啤酒里。吃一顿饭,能喝上两碗白酒,黄酒也可以喝上一两斤。用他自己的话说:“不喝酒,整个人都没力气。”
秦大爷是一名绿化工人, 老伴在超市上班,两个儿子早已成家。工作之余,秦大爷基本上把所有的钱都用来买酒,啤酒一次可以买上十几箱,黄酒都是成桶成桶的买。家里到处都是他的酒,每天早上起来不忙刷牙洗脸,先喝上一杯酒再说。
脾脏切除 体内暗藏隐患
秦大爷这样的酒量,这样的酒瘾,不管是谁劝他都没用。因为常年嗜酒的原因,看似人高马大的秦大爷,其实有很多疾病缠身。他前几年做了“脾脏切除手术”,可是从病床上站起来之后,秦大爷又开始喝起来了。
不仅脾脏切除,秦大爷还患有高血压和糖尿病,可是他从来不吃降压药,医生的嘱咐对他来说都是耳旁风。
日复一日,年复一年,终于有一天,因喝酒积累的潜在危险全都爆发了。
脑出血来势汹涌
1月2号晚上,秦大爷一个人在家喝了三斤多黄酒,等儿子推开他的房门时,被眼前的一幕惊呆了:秦大爷躺在地上不省人事,电视机和遥控器也摔到了地上,满屋子都是浓浓的酒气,角落里一桶5斤装的黄酒只剩下一斤多。
一开始,儿子只是以为父亲喝醉了,可是当他想把父亲扶起来时,发现父亲的腿和脚就像“死人”一样,一动也动不了。秦大爷嘴里喊着“去厕所,”可是身子却动弹不得。儿子这时才意识到问题的严重性,赶紧给弟弟打电话,两人一起将160多斤重的父亲抬上车,连夜送到了市医院。
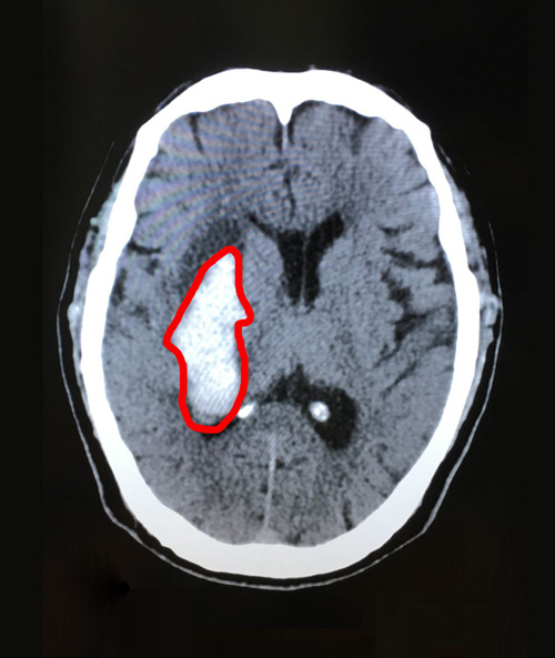
检查结果出来后,右侧基底节区脑出血,出血量一度达到35毫升,非常危险!

术前影像:右侧基底节区急性脑出血,右侧脑室后角少量积血
经过紧急抢救和处理,秦大爷一条命被医生捡了回来。接下来几天,秦大爷一直是接受保守治疗。当地医生建议做手术清除血肿,去除骨瓣减压,家属一听说要开颅,就拒绝了。
钻孔引流显身手
一方面,家属考虑秦大爷年纪大了,另一方面,家人觉得老人家本来身体就不好,是经不住开颅手术折腾的。后来,秦大爷儿媳的一位朋友向他们推荐了蓝十字脑科医院的侯增欣大夫,于是,儿子带着父亲的检查报告来到上海蓝十字脑科医院找到了侯增欣主任(政府特殊津贴专家)。侯主任详细了解了患者的情况之后,认为可以开展微创引流手术,事不宜迟,家属立即将秦大爷送到上海。
2018年1月8日下午5点钟,一辆救护车停在蓝十字脑科医院大楼前。通过急诊绿色通道,秦大爷被迅速送到神经外科6A病区:查体,开住院单, 抽血化验,拍CT片,术前评估... 晚上7点40分,秦大爷被推进了手术室。
9点钟, 手术顺利结束,医护人员将秦大爷送到ICU(重症监护室),ICU医护人员立即给予患者止血,祛痰,抗炎、营养神经等治疗。第二天早上,侯增欣主任去查房,秦大爷还未睡醒,引流瓶中已经积存了不少血液。侯主任介绍说:出血已经被引出近三分之一了。侯主任酌情调整了引流管的位置,以便更好的将残余血液吸出。

侯主任到ICU检查患者情况
传统手术VS微创手术
侯主任介绍说:在临床上,开颅清除血肿是较为常用的脑出血治疗手段,出血量较大的患者常需行开颅手术,如基底节出血常需进行开颅清除血肿,传统的手段主要是行大骨瓣打开颅骨,剪开硬脑膜后暴露脑组织,以距离血肿最近处切开脑皮质,在直视下清除血肿,严密止血后关颅,根据手术中情况决定是否需要去除骨瓣。这种手术方式是急诊手术最常用的,也是较为紧急和快捷的手术方式,但其缺点在于手术创伤较大,术后恢复慢,而且容易形成梗塞性大面积脑软化。
而侯主任为秦大爷做的“微创钻孔血肿抽吸引流术”,从眉弓上9厘米处钻一孔,将硅胶管置入血肿处,引出暗红色血液,然后用注射器将陈旧性凝血块吸出... 整个手术只出血20毫升,扣除麻醉,用时不到一小时,创伤小,术后愈合时间缩短,基本没留下明显疤痕。

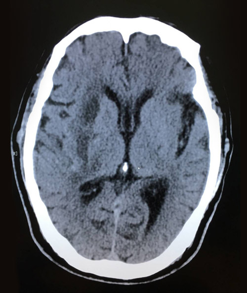
术后影像:脑出血引流术后,几乎看不到血肿残余
现在秦大爷已转回普通病房,饮食,睡眠都恢复如常,肢体活动也在慢慢恢复,再过不久就可出院了。

阿姨说:秦大爷每顿饭都必须要吃肉
可怕的脑出血:
脑出血是指非外伤性脑实质内血管破裂引起的出血,占全部脑卒中的20%~30%(出血性卒中),急性期病死率为30%~40%。发生的原因主要与脑血管的病变有关,即与高血脂、糖尿病、高血压、血管的老化、吸烟等密切相关。脑出血的患者往往由于情绪激动、酒精刺激、费劲用力时突然发病,早期死亡率很高,幸存者中多数留有不同程度的运动障碍、认知障碍、言语吞咽障碍等后遗症。
此文章仅作为临床学术研究、学术交流使用!
上一篇:手脚利索过大年, 这位帕金森患者的“小目标”实现了 下一篇:年轻女子头痛竟是罕见神经鞘瘤 沈建康教授成功帮她切除
学术氛围热烈,思想碰撞不断。3月14日,第十三届芝加哥大学医学...【详细】


