您当前的位置:主页 > 科研教学 > 专业交流 >

手术纪实 | 我院首例DSA血管栓塞术+脑膜瘤切除术:我10年没见过这么大的脑肿瘤了

日期:2016-06-23 来源:上海蓝十字脑科医院 进入脑科疾病答疑区

医院公告 我院为上海市医保定点单位 如以下文章有不明之处 可以点击客服服务,一对一为您解答!

  “我10年没见过这么大的脑肿瘤了......”一场医生与脑肿瘤大博弈前后历经10个小时:局麻下行“超选择性全脑血管造影术+脑膜瘤供血动脉栓塞术”,再全麻下行“左侧颞底部巨大脑膜瘤切除术”,当手术结束,周边供血动脉丰富、8*6cm 的巨大脑膜瘤被漂亮的全部切除,患者终于劫后余生,我院神经外科专家潘仁龙主任长长的舒了一口气,一旁协同手术指导的沈建康教授则意味深长地说出了这第一句话。据悉,这是我院实施的首例DSA血管栓塞术+脑膜瘤切除术,手术的成功,是我院开展神经介入医学的美好开始。扬帆起航来,乘风破浪去,期盼左右采获归,是我院开展神经介入医学美好的愿景!

  恢复良好的虞文军与潘仁龙主任等合影

  这名患者叫虞文军(化名),57岁,浙江宁波人。三个月前虞文军右侧手臂肘部至肩部出现酸痛,上举无力,持续时间不长后缓解,因此便没在意。半个月前,虞文军在开车时再次突然出现手臂酸痛无力症状,致使方向盘失去控制发生车祸连撞三车,所幸并无人员伤亡。虞文军这才意识到问题的严重性,至当地医院就诊,行头颅CT检查示:左侧颞区底部大脑凸面可见类圆形略高密度占位病变,周围见低密度水肿影,CT值为44HU,大小约为8*6cm,周边脑组织及脑室受压,中线结构右移,额顶部软组织肿胀,考虑为左侧底部脑膜瘤。

  为求进一步治疗,经过四处打听,虞文军在爱人的陪同下于4月22日前来我院就诊。我院神经外科专家潘仁龙主任接待了虞文军。入院后行头颅MR+增强及MRA发现:肿瘤供血丰富,供血起源于小脑幕上动脉。

  潘仁龙主任立即联合政府特殊津贴专家唐镇生副院长、侯增欣主任以及特需专家、上海医学会神经外科专业委员会副主任委员沈建康教授进行了联合会诊。专家们考虑到患者脑肿瘤巨大(8*6cm)、肿瘤周边血供丰富,手术指征明确,常规手术切除恐出血过多,增加手术风险,决定术前先为虞文军行“超选择性全脑血管造影术+脑膜瘤供血动脉栓塞术”,对肿瘤供血动脉进行栓塞,减少出血量,再全麻下行“左侧颞底部巨大脑膜瘤切除术”。


为患者实施“全脑血管造影术+脑膜瘤供血动脉栓塞术”


为患者实施“脑膜瘤切除术”

  4月23日上午8:00,一切术前准备工作完毕后,虞文军在我院DSA血管介入诊疗科接受了“超选择性全脑血管造影术+脑膜瘤供血动脉栓塞术”,对肿瘤供血动脉进行了栓塞。接着,虞文军被推入了手术室,在全麻状态下,潘仁龙主任为其实施了“左侧颞底部巨大脑膜瘤切除术”。去除骨瓣后,患者颅内压极高,见硬膜肿瘤已侵蚀,肿瘤组织质较韧,呈砂砾状。为进一步减少术中出血,将周边组织悬吊好后,薄膜内分块切除肿瘤组织、分离肿瘤包膜,肿瘤被大部切除后,上手术显微镜处理中颅离底肿瘤基底部并电烧基底面,肿瘤组织被全部切除。手术完满结束,术中出血约600ml,术后患者安返ICU重症监护室进行监护。


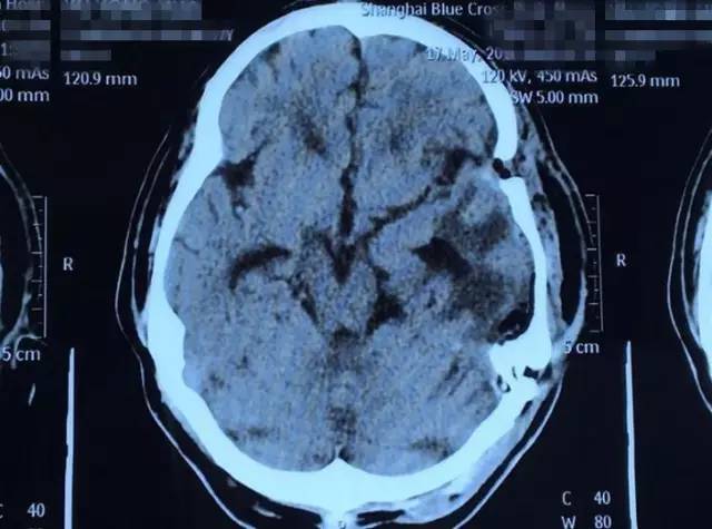
术前影像资料:红圈内白色部分为肿瘤物


术后影像资料:白色肿瘤物消失

  下午约6:30,走出手术室的那一刻,所有人长长地舒了一口气,沈建康教授更是意味深长地说:“我10年都没见过这么大的脑肿瘤了......”据悉,术后患者随即恢复清醒,自我感觉头脑较前更清醒,语音、语速恢复较好,不到半个月便已能正常行走,无不适,5月25日顺利出院。

  专家点评:

  据神经外科专家潘仁龙主任介绍:DSA是血管造影的金标准,而对于像虞文军这样的肿瘤患者来说,它的金标准作用在于栓塞供应肿瘤的动脉或血管,大幅减少术中出血量,提高手术的安全系数。本例患者虞文军脑膜瘤极大,达8*6cm,肿瘤切除手术本身难度就大,危险系数也高,再加上肿瘤周边供血动脉丰富,如果术前不做脑膜瘤供血动脉栓塞术,术中会大量出血(可能将达2000ml或更多),手术难度会增加,危险系数也会增加。在对患者肿瘤动脉进行栓塞后,肿瘤切除术中出血量大大减少,且出血极少(总共出血约600ml),不仅手术的安全系数提高了,而且患者术后的恢复期减短,比预期恢复的要快、要好,这在一定程度上减少了患者的经济负担。对此,潘主任强调:对于脑膜瘤患者,术前进行DSA肿瘤供血动脉栓塞术是十分必要的,对肿瘤的切除及患者后期恢复都有很大的好处。

  此外,潘主任更欣喜地表示:这是我院实施的首例神经介入脑膜瘤供血动脉栓塞术+脑膜瘤切除术,这么大型的高难度手术能到达这样的治疗效果,惊喜大于预期。新院引进了DSA设备,不仅对于需要实施神经介入治疗的脑肿瘤患者来说是好消息,对于脑血管病患者也是一样。目前,我院神经介入治疗机制正日趋完善,像虞文军这样治疗难度大甚至更大的患者都将在蓝十字脑科医院得到更好的治疗!
 

此文章仅作为临床学术研究、学术交流使用!

上一篇:没有了 下一篇:中国网 | 郎平昔日女排队友为什么给这家医院点赞送锦旗?
医院简介专家教授科室介绍医院荣誉医学百科就医指南上海蓝生脑科公司