您现在的位置:主页 > 科研教学 > 专业交流 >
专业交流
生命有奇迹 我们永远不放弃
这是一位90后宁波女大学生徐燕(化名)的真实遭遇! 爱画画,爱打毛线,会做菜做饭,从小就聪明能干,亲戚人人夸赞; 2年前,大学一毕业,她带着对未来的无限憧憬,家人的殷殷期望, 向往在魔都开启人生新的扉...【详细】
To do or not to do,这是一个攸关生死的问题 ——记蓝十字成功切除右颞顶脑运动区巨大海绵状血管瘤
脑血管瘤又称海绵状血管瘤,血管母细胞瘤,毛细血管血管瘤等,多发生在小脑,偶见于脑干和脊髓,是颅内血管病变中危险性极高的疾病,其危险为破裂出血。作为神经外科常见疾病,血管瘤一向是医学处理上的重...【详细】
重症监护病房主任李鲁萍:生命一线的防护者
李鲁萍医生:给予生命力量与保护 安静而沉闷的ICU重症监护室里,粗重又费力的呼吸声,浓痰卡在气道里的呛咳声以及监护仪器的滴滴声.......这便是李鲁萍倾尽心力的地方,常常被称为生命的最后一道防线。 李...【详细】
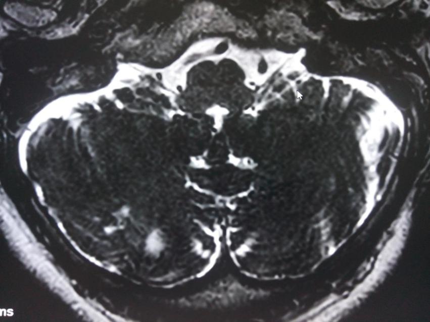
医生述评|不典型舌咽神经痛一例
61岁女性,主因刺激性咳嗽伴左侧咽喉部间断性疼痛2年入院,入院后追问其疼痛性质为突发突止的放电样剧痛,疼痛位于咽后壁,影响进食,近1月来干咳频繁,完善相关检查后行左侧舌咽神经微血管减压术,术后上...【详细】
中国网 | 郎平昔日女排队友为什么给这家医院点赞送锦旗?
周鹿敏(左5)等人向蓝十字脑科医院赠送锦旗 刚刚闭幕的2016年里约奥运会上,中国女排从死亡之组以第四名堪堪出线,在淘汰赛接连上演逆转好戏,最终决赛以3-1击败塞尔维亚夺冠,再次展现了热血拼搏、创造奇...【详细】
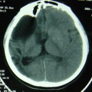
手术纪实 | 我院首例DSA血管栓塞术+脑膜瘤切除术:我10年没见过这么大的脑肿瘤了
我10年没见过这么大的脑肿瘤了......一场医生与脑肿瘤大博弈前后历经10个小时:局麻下行超选择性全脑血管造影术+脑膜瘤供血动脉栓塞术,再全麻下行左侧颞底部巨大脑膜瘤切除术,当手术结束,周边供血动脉...【详细】
上海蓝十字脑科医院外科手术终圆四岁脑瘫患儿康复梦
有人说,每一个新生儿都是上帝放在人间的天使,他们带着上帝的荣宠和恩惠来到人间。可是,小飞(化名)就却是被上帝遗忘的折翼天使,因为他出生不久就被发现患有肢瘫性脑瘫。家人希望能给他一个正常的童年生...【详细】
半球脑软化继发癫痫案例
患者张某,女性,11岁(入院时年龄) 患者出生70天时无明显诱因下出现一次肢体抽搐,身体倾倒,头偏一侧,伴意识丧失,持续约2-3分钟后自行缓解。3天后出现双眼上视,愣神,持续约1分钟,缓解,未于抗癫痫治...【详细】
生长性颅骨骨折继发癫痫手术案例
患者赵某,男性,14岁(入院时年龄) 3年前开始出现发作性肢体抽搐,伴半身后仰,双眼上翻,偶有意识丧失,多数情况下不伴意识障碍,每次发作持续约1-2分钟,发作前无明显先兆,发作后头痛明显,早期未服药...【详细】
沈建康主任为贫困女成功切除复发巨大肿瘤恢复良好
2010年5月份,江苏盐城大丰方强农场人沈海娣因右侧面部麻木3月余入住南京军区总医院,确诊为右侧三叉神经鞘瘤。根据医生建议,当即做了手术。术后恢复较好。第二年沈海娣的病情又复发,面部麻木,时常呼吸...【详细】
医院简介专家教授科室介绍医院荣誉医学百科就医指南上海蓝生脑科公司