乳腺癌是乳腺上皮细胞在多种致癌因子的作用下,发生增殖失控的现象。疾病早期常表现为乳房肿块、乳头溢液、腋窝淋巴结肿大等症状,晚期可因癌细胞发生转移,出现包括颅脑在内的多器官病变,直接威胁患者的生命。
中年女性是乳腺癌高发人群
乳腺癌常被称为“粉红杀手”,其发病率位居女性恶性肿瘤的首位。据2018年国际癌症研究机构(IARC)调查的最新数据显示,乳腺癌在全球女性癌症中的发病率为24.2%,位居女性癌症的首位,其中52.9%发生在发展中国家。

▲ 乳腺癌发病率居女性癌症首位
在中国,乳腺癌的发病率呈逐年上升趋势,每年有30余万女性被诊断出乳腺癌。在东部沿海地区及经济发达的大城市,乳腺癌发病率上升尤其明显。从发病年龄来看,中国乳腺癌发病率从20岁以后开始逐渐上升,45~50岁达到峰值。
乳腺癌筛查:乳腺钼靶不可少
有些人认为CT是万能的,其实并非如此。当CT用于乳腺癌检测时,存在灵敏度不高、对乳腺的特异性也不强的劣势。另外,还有一些地方会用红外线检测乳腺情况,这个也不推荐,因为红外线检测不是按国际标准,机器的性能差、灵敏度低、误差大,一般是依靠医生的主观判断。对于乳腺癌来说,乳腺钼靶照片则可谓火眼金睛。
专家建议
对于乳腺癌的早期筛查,机会性筛查一般建议40岁开始,但对于一些高危人群可将筛查起始年纪提到40岁之前,首先建议通过乳腺钼靶照片来判断,乳腺 X 线检查是乳腺筛查的标准手段,而同时乳腺超声具有广泛的适用性。此外,相对于乳腺CT,核磁检查效果会更好。
对转移瘤治疗:放疗控制病情
上海蓝十字脑科医院放疗科王晓东主任介绍,乳腺不是维持人体生命活动的重要器官,一般来讲,原位乳腺癌并不致命。然而,由于乳腺癌细胞丧失了正常细胞的特性,细胞之间连接松散,容易脱落。癌细胞一旦脱落,游离的癌细胞可以随血液或淋巴液播散全身,形成转移,转移了的癌细胞在其他部位、环境适宜的条件下又会自我“复制”,生长为恶性肿瘤,而身体里的免疫系统把癌细胞当成自己的无害组织和细胞,并不加以“攻击”和吞噬,如此会危及生命。
目前,对乳腺癌的主要治疗方式有:手术、放疗,系统性治疗等。中国对回顾性流行病学发现,中国只有27%的乳腺癌患者首选放疗作为主要的治疗方式,低于其他国家(例如,韩国47%,荷兰58%~68%,巴西76%);和保乳手术一样,放疗治疗乳腺癌现在不断上升。

而对乳腺癌转移瘤的治疗,例如脑转移瘤,就有多种方式,放疗是其中主要的治疗方式之一。
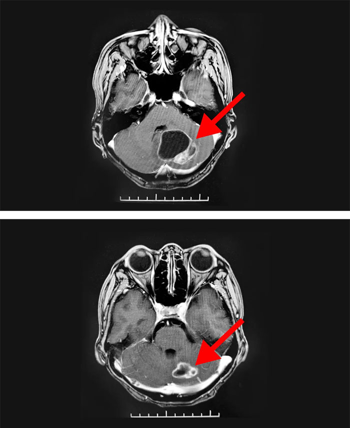
年近六旬的史女士(化名),11年前确诊乳腺癌并进行了手术切除。这些年来,她经过多次放、化疗治疗控制病情,但在2019年11月复查时,发现全身多发骨转移,并立即开展治疗。今年6月,她突然出现头晕等症状就医检查,经外院诊断,明确为左侧小脑半球转移瘤。
随后,患者慕名来到上海蓝十字脑科医院放疗科,通过放疗一个月后顺利出院。近期,患者回院复诊,影像学检查显示,病灶明显缩小,患者对治诊结果表示满意。临走时,她紧紧握住科室主任王晓东的手表达由衷感谢:“我是听朋友介绍说你们的放疗设备先进,医生团队专业。看来是来对了!”

▲ 经过放射治疗,病灶明显缩小
王晓东主任表示,乳腺癌脑转移的早期症状可能较轻微(如头痛、呕吐),因此时常容易被患者忽视,有些患者直到症状很严重,无法承受病痛时,才前往医院就诊,这样就可能错过治疗的较佳时机。
乳腺癌脑转移患者出现的常见症状主要包括:
◆ 头晕头痛;
◆ 恶心呕吐;
◆ 视力减退;
◆ 肢体无力;
◆ 站立不稳;
◆ 癫痫;
◆ 意识障碍等。
一旦发现乳腺癌脑转移,也不必太过惊慌。王晓东主任表示,目前,临床上多采用局部治疗联合全身治疗来提高颅内肿瘤局部控制率,同时改善全身症状。主要的治疗方法包括全脑放疗(WBRT)、立体定向放疗(SBRT)、化疗、手术切除、基于HER2阳性的靶向治疗等。医生会根据患者不同的分子分型、肿瘤大小、数量、位置以及患者自身身体状况等多种因素综合评估,来为患者制定相应合适的治疗方案。
小贴士
王晓东主任提醒,女性朋友尤其是中年女性群体,日常应了解一些乳腺疾病的科普知识,养成定期乳腺自查习惯,积极参加乳腺癌筛查,防患于未然。在日常生活中,可以考虑 以下几个方面进行预防:
1.建立良好的生活方式,调整好生活节奏,保持心情舒畅。
2.坚持体育锻炼,积极参加社交活动,避免和减少精神、心理紧张因素,保持心态平和。
3.养成良好的饮食习惯。婴幼儿时期注意营养均衡,提倡母乳喂养;儿童发育期减少摄入过量的高蛋白和低纤维饮食;青春期不要大量摄入脂肪和动物蛋白,加强身体锻炼;绝经后控制总热量的摄入,避免肥胖。平时养成不过量摄入肉类、煎蛋、黄油、奶酪、甜食等饮食习惯,少食腌、熏、炸、烤食品,增加食用新鲜蔬菜、水果、维生素、胡萝卜素、橄榄油、鱼、豆类制品等。
4.不乱用外源性雌激素。
5.不长期过量饮酒。

为了在减轻肿瘤患者痛苦的同时,取得比较好的放疗效果,上海蓝十字脑科医院专门引进了目前先进的放疗设备——瑞典医科达 Elekta Synergy全数字化医用直线加速器。这是一款具有图像引导放射治疗(IGRT)能力及容积旋转调强(VMAT)治疗能力的高端放疗设备,可以达到“三精”(精准定位、精准计划、精准治疗)为特征的高能X射线放射治疗。可满足现代放疗时代的技术需求及高级应用,如三维适形放疗(3DCRT)、调强放疗(IMRT)、容积旋转调强治疗(VMAT)、立体定向放疗(SRT)等;在较大限度保护正常组织及器官(OAR)的情况下,提高对肿瘤的照射剂量,缩短治疗时间,提高治疗的安全性,达到精准放射治疗的效果。
上一篇:“双节”出行谨防意外,掌握心肺复苏及AED操作“人命关天”! 下一篇:炎炎夏日奶茶季?且慢,喝多了可能被“三高”缠上
锚定政策航向,深耕医疗使命,奋力谱写医院高质量发展新篇章!...【详细】


