目前,人们对垂体瘤生长可严重影响视力还没有充分的认识,因此,患者出现视力下降、视野缩小、老花眼等病症时,通常会先到眼科看病,其实,这些症状有可能是垂体瘤在“作祟”,部分垂体瘤患者因漏诊等缘故拖延到双眼视力极度下降或失明而丧失手术治疗的时机。
人的大脑底部有一块骨头叫蝶骨,蝶骨上有一个像马鞍形状的小窝,称蝶鞍,脑垂体就“躺”在蝶鞍里面。垂体由多个不同细胞组成,是人体最重要的内分泌腺,它分泌的多种激素,各司其职。但是当“致病分子”出现时,垂体就会出现体积增大,激素分泌紊乱等问题,也就是我们说的垂体瘤。
上海蓝十字脑科医院神经外科李士其教授介绍,垂体上方与视神经、视交叉相邻,垂体瘤生长时很容易压迫到视神经,从而出现视力下降,甚至失明的症状。相当部分患者是在视力下降做检查时发现了垂体瘤,除了视力下降和持续性头疼,垂体瘤还有以下症状。女性:闭经、泌乳、不孕。男性:胡须稀疏、性欲下降、巨人症(青少年骨骺闭合前)、肢端肥大症(成年骨骺闭合后)、甲亢等。
视力出现问题可能与垂体瘤有关!
垂体瘤压迫视神经是导致视力下降、视野受限的重要原因。视神经在到达大脑皮层前,有一个交叉,被称为“视交叉”,花生米大小的脑垂体就生长在这个交叉部位的下方。正常情况下,这颗“花生米”与视神经交叉没有接触,但是一旦“花生米”发生病变,例如“胀大”变成“大石头”或者是黏连,就可能压迫损伤视神经,导致视神经传递信息受到干扰,最终表现出对视觉的各种影响。
随着垂体瘤体积增大,向上伸展,压迫视交叉,可出现视野缺损,外上象限首先受累,渐渐缺损可扩大至双颞侧偏盲。如治疗不及时,视野缺损扩大同时可伴有视力减退,最终出现全盲。如果肿瘤偏于一侧,可致单眼偏盲或失明。如果肿瘤向后生长,可压迫脑干致昏迷、瘫痪等。

▲ 短期内视力快速下降可能与垂体瘤有关
问:如何揪出视力下降的“元凶”?
由于垂体瘤发病年龄覆盖很广,从青少年到老年都有可能“中招”。老年人眼花、视野受限,不一定是老花眼、青光眼;少年儿童看物不清、没有立体感,不一定是近视……有这些症状的人群,如果眼部检查未能发现病因,应趁早去做一个脑部检查,切莫贻误病情,因为这极有可能是垂体瘤在“作怪”!
目前的影像学检查对早期确诊垂体瘤有重要意义,如怀疑为垂体瘤,通常经过正规医院的MRI磁共振检查和CT 扫描,就可以及时把垂体瘤这个“元凶”揪出来。
问:垂体瘤导致的视力下降还能恢复吗?
垂体瘤是一种良性的肿瘤,及时搬开了压在视神经上的 “大石头”,视野缺损、视力下降等症状就会很快得到缓解。李士其教授提醒:如果这种压迫长期不能减除,会引起视神经萎缩,从而导致失明,这种失明是永久性的。这就要求患者尽早就诊,尽早进行手术治疗。
虽然大部分垂体瘤为良性肿瘤,但如果患者得不到及时治疗,垂体瘤压迫神经或者引起其他严重症状,就会给患者的身体健康造成很大伤害。
问:除了视力下降,垂体瘤常见症状还有以下几种:
1、会引发头痛
2/3的患者早期都会出现此症状,疼痛主要位于眼眶后、前额部及双侧太阳穴附近,程度较轻,呈间歇性发作。主要是由于垂体瘤起源于颅底的蝶鞍内,蝶鞍周围为密闭的骨质,只有上方覆以韧性的鞍隔,肿瘤直接刺激或生长后造成鞍内压升高而引起头痛。
2、内分泌功能紊乱
脑下垂体中的各种内分泌细胞可产生相应的内分泌细胞腺瘤,引起内分泌功能紊乱。在早期微腺瘤阶段即可出现内分泌功能亢进征象,随着腺瘤的长大和发展,可压迫、侵蚀垂体组织及其垂体、蝶鞍周围结构,产生内分泌功能下降症状。
3、生长激素亢进
嗜酸性垂体腺瘤如发生在骨骺闭合前表现为巨人症,发病在成年后则为肢端肥大症,介于两者之间的为混合型。
4、不孕不育
在临床上泌乳素瘤占垂体瘤的一半以上,由于垂体分泌的高泌乳素的影响及雌激素的减少,女性患者往往会出现月经量明显减少、泌乳,继而导致闭经、不孕等症状。而男性患者则会出现胡须变少、女性化、乳房发育、性功能低下、不育等症状。垂体瘤严重危害人们的身体健康,因此我们应该对垂体瘤的常见症状有所了解,当出现上述某一种或多种症状时,大家一定要及早去医院进行检查,做到早发现、早治疗。

▲ 垂体瘤还会引发头痛等症状
复发垂体瘤的再次手术难度高、风险大
近期,上海蓝十字脑科医院神经外科6B病区就收治了一位因视力下降、月经异常发现垂体瘤并多次复发的患者。
24岁女孩小美(化名)2017年5月无明显诱因出现视力下降,左眼外上视野缺损,并有月经量减少症状,当地医院检查化验提示“泌乳素增高”,结合影像检查,被诊断为“垂体瘤”,随后在外院接受了经蝶垂体瘤切除术。但是2020年初再次出现视力异常情况,到医院复查时才发现垂体瘤复发,体积较之前增大,在该院再次接受了经蝶垂体瘤切除术。但是不幸的是,在之后的三个月、六个月、九个月复查中肿瘤体积都是逐渐增大。为求进一步治疗,小美一家慕名来到上海蓝十字脑科医院,由李士其教授接诊。

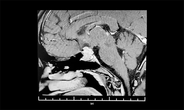
▲ 术前影像:垂体大腺瘤,向鞍上生长
鞍区MRI平扫+增强显示:蝶窦显著扩大,鞍区见肿块影,鞍膈初见“腰征”,灶区矢横高径约1.8*2.0*2.0mm。病变向鞍上生长,占据鞍上池,推移视交叉。
上海蓝十字脑科医院神经外科6B病区主任潘仁龙指出,垂体肿瘤向鞍上生长,占据鞍上池,压迫到视神经传导物,使患者视物出现异常。一般1-3cm的大腺瘤或大于3cm的巨大腺瘤,都会引起不同程度的视力问题。
《中国复发性垂体腺瘤诊治专家共识》指出,手术可致鞍区解剖结构紊乱,原手术路径和术区瘢痕形成,重要神经血管与肿瘤粘连,肿瘤组织和垂体的界面有时难以分辨清楚,导致再次手术的难度明显高于初次手术,尤其是经蝶窦入路手术,再次手术会导致颈内动脉损伤的风险也明显增加。明确再次手术指征之后,必须综合评估患者全身情况,做好全面术前准备工作。
以病人为中心 李士其教授行经眉弓眶上锁孔手术切除复发垂体瘤
潘仁龙主任、李士其教授、吴治群博士会诊后指出,患者视物出现异常,手术指征明显,应及早手术,否则患者这些症状还会加重,视力会越来越差,最终会导致永久失明。该患者颅内肿瘤向鞍上生长,只能通过开颅手术切除。尽管开颅手术势在必行,但正值青春年华的小美,在看到身边的病友都剃了光头、脑袋上一道触目惊心的刀口时,感到“不寒而栗”、恐惧无比。毕竟从医学美学角度来衡量,手术除了要成功切除病灶,也要尽可能保护好患者的外观。经过缜密评估,李士其教授决定行经眉弓眶上锁孔手术切除垂体瘤。
鞍区病变通常采用经鼻蝶、经额下、和经翼点等入路进行手术。但是上述入路均有优缺点,如经额下入路开颅损伤较大,不必要的脑暴露和脑牵拉过多,出血量大,易损伤嗅神经,病人术后反应重;经蝶入路手术采用微创技术解决了以上问题,但对于蝶窦发育不良、肿瘤呈哑铃状向鞍旁、向中颅窝或向鞍后、鞍上生长的病例,术中处理很困难。
CT、MRI、DSA等影像学的发展,为颅内结构提供了精准的解剖关系,使神经外科“锁孔”手术在现代科技的条件下得以应运而生。它继承了微创手术的理念,很好的将骨瓣开颅和微创技术有机的结合,通过精准的术前定位,应用有效的操作空间,以较小的手术创伤来取得较好的手术效果。
锁孔技术是利用锁孔一样大小的骨窗来代替大切口、大骨窗,进行颅内的病变切除,能根据病灶特点,准确设计开颅部位和范围,充分利用脑组织自然间隙,使手术路径最短并精准到达病灶处,具有手术时间短、创伤小、减少住院时间等优点。同时,由于手术切口设计常常在眉弓、发髻内,手术切口短而隐蔽,很大程度满足患者需求、减轻患者的心理压力及符合美观要求,提高患者的生活质量。

▲ 李士其教授正在为患者手术
4月30日,在充分准备并征得家属同意后,李士其教授在吴治群博士、黄秀夫医生协助下顺利为患者行经眉弓眶上锁孔手术切除了垂体瘤。
术后,再见小美时她的精神状态不错,更令她高兴的是,一头秀发“毫发无损”。
手术后要定期复查复诊
李士其教授提醒,有的垂体瘤可以暂时观察,有的垂体瘤吃药就可以控制,有的垂体瘤需要手术,但是不管采用哪种治疗方法,复查复诊都非常重要。有的患者手术一两年后,觉得自己症状消失了,就不再去看医生了,但是过几年,又出现症状,发现肿瘤复发,还长得很大,再次手术的难度就增加了许多。李士其教授建议患者坚持终身随访,特别是手术的患者,术后3个月、6个月、一年一定要复查,此后每年都要复查。坚持三年后,医生会指导患者要不要增加复查的时间间隔,但不管怎样,都要坚持终身复查复诊。
上一篇:相貌越长越丑手脚变大,原来是垂体瘤作祟! 下一篇:神经外科李士其教授提醒:青年女性生理期异常或是垂体瘤作祟
2026年5月25日是世界预防中风日。脑卒中防治重在“早发现、早预...【详细】


