垂体瘤是一组从垂体前叶和后叶及颅咽管上皮残余细胞发生的肿瘤,常见的垂体瘤主要有泌乳素腺瘤、生长激素腺瘤、促肾上腺皮质激素腺瘤、促甲状腺激素腺瘤等。多为良性肿瘤,其发病率为颅内肿瘤的第三位。临床上有明显症状者约占颅内肿瘤的10%。男性略多于女性,垂体瘤通常发生于青壮年时期,常常会影响患者的生长发育、生育功能、学习和工作能力。
如果垂体瘤患者不及时治疗,会对人体产生很大的危害,一方面是激素水平异常升高所造成的危害,如导致体力精力下降、不孕不育、性功能障碍等生活质量不佳,重者导致糖尿病、心脑血管疾病、呼吸系统疾病等严重后果。另一方面,肿瘤长大会对周围组织产生压迫或者侵犯,最常见的就是对视神经的压迫。此外,垂体瘤长到一定程度可以往上下、左右、前后、周围扩散,而且在垂体周围都是脑的中央部位,还有中枢神经最重要结构都在附近。所以,及时诊断与治疗垂体瘤是非常关键的。
巨大垂体腺瘤——神经肿瘤外科的一大难题
垂体腺瘤发病率在颅内肿瘤中仅次于颅内胶质瘤和脑膜瘤,约为颅内肿瘤的10%。其中直径在3cm以上且向鞍旁和视丘下部伸展者称为巨大腺瘤,而巨大垂体腺瘤则更为少见,约占垂体瘤的6%,包括侵袭性及非侵袭性巨大垂体腺瘤。
巨大垂体腺瘤生长体积较大,可向各个方向生长。一般可将巨大型垂体腺瘤分为4型:
Ⅰ型:鞍隔下型,可侵入蝶窦,无或有轻度海绵窦受累。
Ⅱ型:海绵窦受累,垂体瘤向着鞍膈以上或鞍旁生长,压迫或侵及海绵窦,第三脑室可受压移位。
Ⅲ型:鞍内-鞍上型,肿瘤向鞍前后及侧方发展,海绵窦轻度受压,第三脑室底受压明显或室间孔受阻。
Ⅳ型:广泛侵袭型,鞍内生长并侵犯蝶窦及海绵窦,无或有第三脑室受累。
由于其肿瘤生长区域神经血管丰富、解剖结构复杂,容易压迫视神经、视交叉及下丘脑等重要结构,手术难度大,全切率较低,肿瘤术后死亡率及术后复发率较高,术后出现并发症多,使其治疗成为神经肿瘤外科的一大难题。现存在多种手术入路方式切除,大体可分为经鼻蝶入路、幕上开颅手术、经鼻-开颅联合入路等手术方式。

▲ 巨大垂体腺瘤手术难度大
指南推荐联合入路手术
《中国垂体腺瘤外科治疗专家共识》指出,垂体腺手术治疗目的包括切除肿瘤缓解视力下降等周围结构长期受压产生的临床症状;纠正内分泌功能素乱;保留正常垂体功能;明确肿瘤组织学。其对垂体瘤手术指征做出以下推荐:
经鼻蝶入路手术:
①存在症状的垂体腺瘤卒中。
②垂体腺瘤的占位效应引起压迫症状。可表现为视神经、动眼神经等临近脑神经等受压症状以及垂体受压引起的垂体功能低下,排除催乳素腺瘤后应首选手术治疗。
③难以耐受药物不良反应或对药物治疗产生抵抗的催乳素腺瘤及其他高分泌功能的垂体腺瘤(主要为ACTH瘤、GH瘤)。
④垂体部分切除和(或)病变活体组织检查术。垂体部起源且存在严重内分泌功能表现(尤其是垂体性ACTH明显增高)的病变可行垂体探查或部分切除手术;垂体部病变术前不能判断性质但需治疗者,可行活体组织检查明确其性质。
⑤经鼻蝶手术的选择还需考虑到以下几个因素:瘤体的高度;病变形状;瘤体的质地与血供情况;鞍隔面是否光滑完整;颅内及海绵窦侵袭的范围大小;鼻窦发育与鼻腔病理情况;患者全身状况及手术意愿。
开颅垂体腺瘤切除手术:
不能行经蝶实入路手术者;鼻腔感染患者。
联合入路手术:
肿瘤主体位于鞍内、鞍上、鞍旁发展,呈“哑铃”形。
李士其教授行经鼻蝶入路手术切除垂体瘤残余
患者刘阿婆(化名)两个多月前上呼吸道感染并伴有头晕不适症状,在当地医院行头部影像学检查发现脑部垂体瘤,随后立即在当地医院行经鼻腔垂体瘤切除术,最后顺利出院。但没想到十天前出现阵发性头痛伴身体发冷,为谨慎起见,其家属决定到上海某医院求医,行影像检查提示:垂体瘤术后,仍可见占位性病变。给予抗感染及补液后效果欠佳。之后,其家属为求进一步治疗,慕名将患者刘阿婆转入上海蓝十字脑科医院。
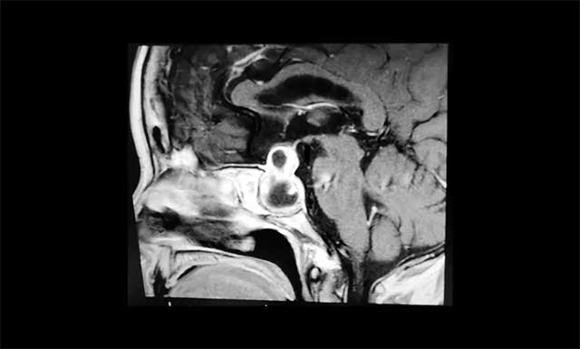
鞍区MRI平扫+增强显示:蝶鞍显著扩大,鞍区见不规则囊实样肿块,大小约2.6*2.1*3cm,视交叉上抬,鞍上池受压,侵及双侧海绵窦,蝶窦结构紊乱,临近鞍底下陷、部分骨壁缺失。

▲ 肿瘤向鞍内、鞍上、鞍旁发展,呈“哑铃形”
李士其教授分析:肿瘤主体位于鞍内、鞍上、鞍旁发展,呈“哑铃”形。从影像学资料上看,发现瘤体已经非常大了,属于巨大垂体瘤。瘤体占据鞍区,并向蝶窦和鞍上发展,侵袭双侧海绵窦,视神经、视交叉受压,所以需要马上进行手术切除,解除压迫。若任其发展,将来有失明的风险。
经鼻蝶手术主要用于肿瘤位于鞍内者,对于鞍内、鞍上均有生长的巨大垂体瘤,考虑联合入路手术,部分患者也可以考虑多次经鼻蝶手术。但是考虑到患者年龄较大,已过七旬,结合患者实际情况,李士其教授毅然决定迎难而上,准备再次行经鼻蝶手术。
另外,手术可致鞍区解剖结构紊乱,原手术路径和术区瘢痕形成,重要神经血管与肿瘤粘连,肿瘤组织和垂体的界面有时难以分辨清楚,导致再次手术的难度明显高于初次手术,尤其是经蝶窦入路手术,再次手术会导致颈内动脉损伤的风险也明显增加。李士其教授叮嘱团队,明确再次手术指征之后,必须综合评估患者全身情况,做好全面术前准备工作。
的确这种“哑铃形”垂体瘤采用经鼻蝶手术有一定难度,但随着手术经验的积累,使得一些过去认为难以施行的手术已成为可能。目前许多学者指出,对于大型垂体腺瘤经蝶手术切除,只要适应症掌握得好,且术中操作细心,可顺利而安全地完成手术。并且李士其教授操作这类手术经验丰富,技巧也十分娴熟,为很多位高年龄患者做过此类手术,手术效果也获得广大患者的肯定。

▲ 李士其教授正在为患者手术
在制定详细手术方案并充分完善术前准备后,6月7日,李士其教授在吴治群博士、黄秀夫医生协助下经蝶窦入路成功为患者进行了手术。术中,在蔡司显微镜(双荧光)下,见淡红色肿物,质软,其外有包膜包裹,肿瘤下部部分呈囊性,其内有黄绿色液体。李士其教授在充分保护好海绵窦、颈内动脉、视神经等结构前提下,在错综复杂的神经血管狭窄间隙中,逐步分块切除肿物,仔细刮除肿瘤,最终将肿瘤顺利切除。
术后,患者头痛症状消失,无新发功能缺损,目前正在康复中。李士其教授叮嘱患者出院后仍要坚持定期复查。
垂体瘤虽然大部分属于良性肿瘤,对人体主要危害是导致人体内分泌紊乱以及颅内神经压迫症状等。由于肿瘤压迫周围神经组织引起的相应临床表现,如头痛、头晕、视力下降、视野缺损等临床表现,有时常被误认为“老花眼”进而耽误早期治疗。李士其教授提醒,如果出现莫名的头痛、头晕或视力短期内急剧下降,应及时就医,行鞍区头颅磁共振检查。
上一篇:越长越丑?!这种脑肿瘤会让人“改头换面”并危及生命 下一篇:神经外科专家沈建康教授提醒:视力减退、视野缺损,千万要当心垂体瘤
2026年5月25日是世界预防中风日。脑卒中防治重在“早发现、早预...【详细】


