岁末年尾,游子归家,即将万家团圆的时候,家住上海闵行区马桥镇的74岁王金伦(化名)却被查出脑瘤,让正在准备过年的一家人措手不及,一时间愁容满面。所幸在上海蓝十字脑科医院神经外科垂体瘤专家、经蝶窦入路垂体腺瘤微创手术术式首创人李士其教授为其成功实施手术后,终于能回家与家人团聚,安心过春节。
头晕、看不清 一查竟是垂体瘤
家住马桥镇的王老伯除了高血压,身体还算硬朗,退休后在家带孙子,没事与社区棋友们杀上几盘,享受着天伦之乐。
往常一大早,王老伯都有去公园遛弯的习惯,在乙亥年春节前一个月的一天清晨他却没有早早地出门。“老头子平时一早就出去了,个把钟头才回来吃早饭。”老伴张老太说,当天早上王老伯起床后在床边坐了一会儿,原以为他要出门,可是她在厨房里忙了一圈,王老伯还在床边坐着,只喊头晕,眼睛看不清。
老伴以为他没吃药血压上来了,赶紧给他服用降压药,又陪他到街道卫生院做了检查,血压正常,医生说要注意休息。家人以为他上了年纪,起得又太早了,就没在意。可是一连几天,王老伯的情况也没有好转,一直头晕、看不清,儿子王先生觉得蹊跷,心中不踏实,赶忙带王老伯就近来到上海蓝十字脑科医院。

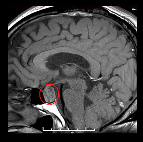
▲术前MR影像:垂体大腺瘤,超蝶鞍生长
神经外科执行主任潘仁龙详细了解了患者的病情,为其完善各项检查。鞍区MRI平扫+增强显示,患者蝶鞍稍扩大,鞍底骨质下陷;鞍内垂体上缘膨隆,腺垂体中央见一枚类椭圆形异常信号,直径约1.8*1.4厘米。综合各项检查结合临床,王老伯确诊为垂体大腺瘤(1~3cm的叫做大腺瘤)。
面对这样的结果,家人犹如晴天霹雳,之前一直没什么症状怎么现在突然就查出脑瘤。潘仁龙主任介绍,根据垂体瘤有没有分泌激素的功能可以分为:无功能性垂体瘤、泌乳素垂体瘤、生长激素垂体瘤等。王老伯所患的垂体瘤是无功能性垂体瘤,在患病之初没有什么明显症状,但是随着肿瘤一天天长大,不断压迫神经功能,症状才会逐渐显露。
考虑到病情紧急,潘主任立即邀请神经外科垂体瘤专家、经蝶窦入路垂体腺瘤微创手术术式首创人李士其教授会诊。
经蝶窦微创手术切除肿瘤 安心过春节
李士其教授和潘仁龙主任一起,研讨了患者病情,由于患者颅内鞍区的肿瘤属于大腺瘤,已严重影响到患者的垂体功能,并压迫视神经,感觉神经等功能,所以出现头晕、视力模糊。
随着肿瘤体积增大,向上伸展,压迫视交叉,可出现视野缺损,外上象限首先受累,渐渐缺损可扩大至双颞侧偏盲。如治疗不及时,视野缺损扩大同时可伴有视力减退,最终出现全盲。如果肿瘤偏于一侧,可致单眼偏盲或失明。如果肿瘤向后生长,可压迫脑干致昏迷、瘫痪等。
李士其教授表示:患者手术指征明显,综合各项检查,没有手术禁忌,应尽快进行手术。

▲李士其教授在显微镜下手术
一切准备就绪后,王老伯被送进了手术室。李士其教授采用经蝶窦微创手术方式,在显微镜下,从右侧鼻腔入路,在窥镜下找到蝶窦开口,用咬骨钳开1.5x1.5cm骨窗,用显微钩刀“十”字切开硬脑膜,见肉红色肿瘤组织溢出,分块切除肿瘤组织,切除完毕后,止血复位。
整个切除手术用时不到1小时,术中出血量很少,肿瘤切除干净。术后王老伯被医护人员唤醒,被安全送到重症监护室监护。
经鼻蝶窦入路垂体瘤切除微创手术具有肿瘤暴露佳,创伤和危险性小,手术时间短、颅面外观无损伤,手术效果好等优点,但该手术方式对专家的技术水平也有着非常高的要求。

▲术后CT影像:肿瘤切除干净,鞍内脑脊液填充
手术后第三天,王老伯已经可以正常吃饭了,一周后,可以下床活动,身体恢复得不错。儿子王先生说,“老爷子天天念叨着过年的事,操心家里年货准备足了没有。”
1月28日正值农历小年,王老伯顺利办理出院。从1月16日住院到28日出院,前后仅13天,不仅成功手术切除颅内肿瘤,而且没有留下痛苦和伤痕,回家正好赶上过春节。2019年,王老伯化险为夷。
“感谢蓝十字医院,感谢李教授让我们一家团圆。”王老伯的儿子微笑地说道。
科普:垂体瘤
垂体瘤是一组从垂体前叶和后叶及颅咽管上皮残余细胞发生的肿瘤,多为良性肿瘤,临床上有明显症状者约占颅内肿瘤的10%,男性略多于女性。垂体瘤的临床表现主要有颅内神经功能障碍,比如头痛、头晕、视力视野改变、多尿、呕吐、眼球活动障碍等;内分泌功能障碍,女性主要表现为闭经、溢乳、不育,男性则表现为性欲减退、阳痿、乳腺增生、毛发稀疏等。另外,面容改变、肢端肥大、满月脸、水牛背、向心性肥胖、性情急躁、易激惹;精神萎靡、食欲缺乏、身体虚弱无力、抗病力差、反应迟钝等也是垂体瘤的症状。
经鼻蝶窦入路切除垂体瘤适用于各种垂体微腺瘤和大腺瘤。它突破了传统开颅手术的弊端,运用神经内镜、鼻窦内窥镜等手段,借利用鼻腔天然通道,经蝶窦微创直达垂体切除肿瘤。这种手术方式明显降低了对脑组织、脑神经和血管的损伤,微创切除垂体瘤,对垂体柄等重要结构的保护更为可靠,效果更好。随着神经外科的发展进步,经鼻蝶窦切除垂体腺瘤已经广泛应用于临床,成为垂体瘤优先选用的治疗方法。
此文章仅作为临床学术研究、学术交流使用!
上一篇:从发烧到脑炎仅5天!专家提醒:冬春流感高发,预防要注意这些! 下一篇:节后流行用这种方法放松身心 结果有人差点送了命……
2026年5月25日是世界预防中风日。脑卒中防治重在“早发现、早预...【详细】


