婴儿时的一次高烧让她险些丧命,虽然最终保住生命却失去听力并失语,不向命运屈服的她选择聋哑学校学习。但是那次高烧已经埋下癫痫隐患,中考前的突然发作让她的学业戛然而止,自此她开始了12年的漫长求医之路。直到来到蓝十字,遇见杨忠旭教授,她又重新看到生活的曙光。
连续发烧一周 致失聪失语
时间回到28年前的深夜,忙碌一天的阿强(化名)和妻子文娟(化名)刚睡下没多久,却被一阵哭叫声惊醒,原来是刚出生三个月的女儿雯雯(化名)突然哭闹。想着孩子兴许是饿了,文娟起身去冲米粉,阿强随手抱起女儿准备哄哄,哪知女儿身体如开水般烫手,身体还直抽搐,“当时就吓坏了,现在想着都害怕,以为孩子不行了。”吓得夫妻二人连夜赶往村卫生院。孩子发烧达39度,医生判断是普通感冒发烧,但是拖了有一个星期雯雯的病情才逐渐好转,终于不再发烧,看似恢复了正常。
夫妻二人还一度庆幸女儿终于康复了,但是慢慢地发现孩子的异样,“喊她没有反应,比之前安静很多。”上天又跟他们开了个玩笑,原来雯雯因为连续高烧丧失了听力,后来他们才知道女儿得的是高热惊厥。看着原本活泼可爱的女儿一下子听不见了,成了残疾人,夫妻二人陷入深深自责中,痛苦不已。“她的人生还没开始啊!”
中考前大发作 学业戛然而止
木已成舟,无法挽回。为了以后的生活,雯雯只能选择去聋哑学校上学,好在女儿懂事乖巧,在校认真学习,回家帮忙做饭、洗衣服,忙里忙外,让阿强、文娟夫妻俩心中略有一丝宽慰。然而命运的玩笑还在继续。2007年2月份一天,雯雯在家吃饭突然无明显诱因出现头晕,手中的碗摔碎在地,休息片刻后好转。“女儿可不能再有什么闪失了。”见状,阿强、文娟夫妻俩一时间警觉起来,立即带着雯雯去当地市医院检查治疗,医生给予活血化瘀对症治疗,效果不佳,症状逐渐加重。
后来,发作频率增加,一周发作两次。并出现突然进行性动作停止,双眼茫然直视,呼之不应,持续约数秒至十几秒,后立即清醒。及失神后伴恐惧感、咂嘴、双手摸索,不停地翻口袋、穿衣服、倒水、撕东西,持续约数秒至十几秒,后立即清醒,清醒后无特殊不适,发作期记忆缺失。
为了治病雯雯已经耽误很多时间,中考在即,雯雯不敢耽误立即回到学校投入学习中。但是刚回到课堂上就突然出现意识丧失,双眼上翻,头后仰,脸色青紫,牙关紧闭,口吐白沫,四肢抽搐,持续约5分钟自行缓解,缓解后自觉劳累、困倦,有呕吐感。为此,学校下了退学令,无奈,雯雯仅有的学业通道也中断了。
妈!我不想再吃药了
从此,雯雯一家人开始了漫长的求医之路,奔波于省会到上海等地多家医院,在上海治疗时才最终确诊为癫痫,但是只能靠吃药控制进行保守治疗。从一次一粒到一次两粒,一天十几粒药,强直-阵挛大发作有所控制,但是失神伴自动症时有发作。这让原本就普通的家庭面临经济和亲情的双重压力,女儿离不开人,家里的重担全压在丈夫阿强身上。
长年累月吃药让雯雯性情大变,“脾气很暴躁,多看她几眼,她就发火。”母亲文娟叹息道。另外产生诸多副作用,雯雯体内血小板、白细胞减少,经常感冒、呕吐、便秘,人也瘦了20多斤,身体状况大不如前。为此,阿强夫妻俩忧心忡忡,每个月都要带女儿去检查血常规、肝功能、肾功能。
有一次看着女儿情况有所好转,阿强想着减点药应该没事,但是没想到第二天雯雯就又大发作,翻白眼、脸青紫、口吐白沫、四肢强直。无奈,一家人都沉浸在癫痫疾病的困扰中,在吃药中煎熬着。雯雯不断地用手语表示:妈!我不想再吃药了。
后来阿强夫妻俩听说上海蓝十字脑科医院可以手术治疗癫痫,一家人仿佛看到希望的曙光,慕名而来。
来就是奔着杨教授来的,看到杨教授我们就放心了
来院后,脑电监测崔丽华主任应用先进的美国尼高力长视频脑电图仪为雯雯做了24小时脑电监测。在监测中,从事临床及脑电图工作30余年的崔主任敏锐地发现了异常脑电波,左侧蝶骨电极,颞区局限性异常放电,建议进一步检查。随后雯雯接受了头颅海马MRS、PET-CT、心电图、肝肾功能、电解质、血尿粪常规等全面详细的检查。

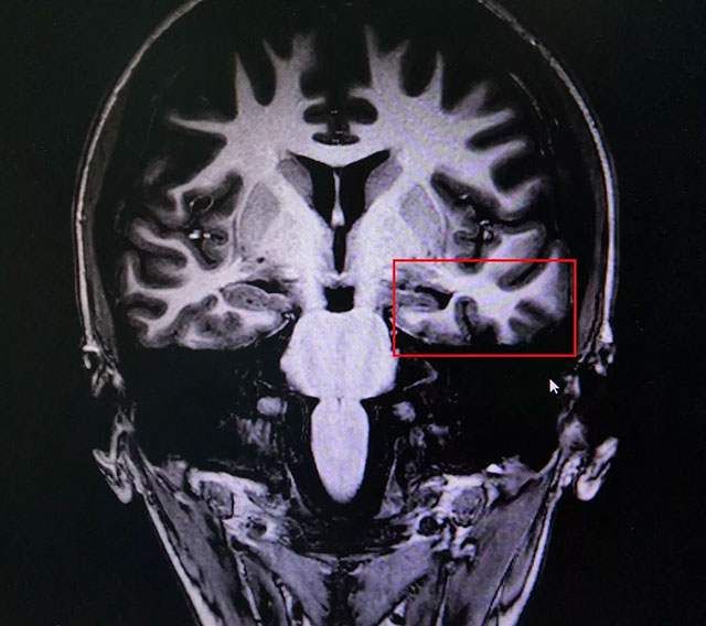
▲ 患者癫痫病灶区域
蓝十字脑科功能神经外科主任杨忠旭博士认真查看了雯雯各项检查报告并听取相关病情汇报后指出,一般幼时突发高热惊厥,尤其伴有抽筋的症状,会导致大脑缺血、缺氧,而海马对这种情况的耐受较差,极易造成其内的神经细胞受损,时间长了就会发展成海马硬化,成年后,有近一半以上的病人会因此患上顽固性癫痫。
雯雯癫痫诊断明确,系统内科药物治疗不佳,确诊为:难治性癫痫。应用现代神经影像学技术和电生理监测技术,能明确引起癫痫发作的的“责任病变”,手术指征明显,未见明显手术禁忌症。杨教授为她制定了周全的手术方案并做好充分准备。
“来就是奔着杨教授来的,看到杨教授我们就放心了。”文娟说。

▲ 杨忠旭教授正聚精会神为患者手术
3月28日,杨忠旭教授在助手杜立功协助下为患者进行了手术。术中,于颞中回、中部垂直穿刺,深部电极监测海马明显异常放电并有节律性改变,皮层电极监测提示颞极散在棘波,皮层与深部电极测试提示两者存在部分相互传导联系,皮层电极也有自发棘波产生。以外侧裂及labe静脉为主要解剖标志行左侧颞叶结构切除,先切除颞叶外侧,颞叶部分切除后颞窝、蝶顶窦、海马复合体完整暴露。而后切除海马头及海马体,术中见其海马体积缩小,质地较硬。切除后,再次脑电监测显示暴露脑区无异常放电,手术成功。
术后一周,雯雯身体恢复良好,与赶来看望她的哥哥和伯父有说有笑,沉浸在家庭的温馨中。“再观察一段时间就能出院了,希望女儿能健康生活,能找到自己的幸福。”站在一旁的母亲文娟脸上露出久违的笑容。
高热惊厥与癫痫关系密切 有转为癫痫可能
因为高热惊厥的症状反应和癫痫发作表现症状类似,但并非癫痫,而且一般预后良好。值得注意的是高热惊厥虽然不等于癫痫但与癫痫关系密切,临床上高热惊厥有转为癫痫的可能。对于有高热惊厥症状史的小孩,家长一定要懂得以下相关疾病知识,以防小症成大病。
1、一次发热过程中只发生一次惊厥是单纯性高热惊厥,二次以上就是复杂性高热惊厥;惊厥发生在发热开始的24小时内(通常是6-8小时),抽搐时间在5分钟左右,不超过10分钟为单纯性高热惊厥;惊厥后精神状态良好,一般是单纯性惊厥。如精神萎靡,则可能是脑炎。如果嗜睡,则往往易发展为癫痫。
2、宝宝发烧时,口腔温度达38.5℃、肛表温度39℃以上,发生单纯性高热惊厥的较多。口腔温度38.5℃、肛表温度39℃以下发生的就属于复杂性高热惊厥。
3、2个月-6岁以内的宝宝高热容易引发惊厥,1-2岁是好发年龄,这个年龄段初次发生高热惊厥的,往往是单纯性居多。而3岁后开始第一次发病的,复杂性的更多,转变为癫痫的可能性较大。宝宝6岁以后,如是单纯性惊厥会自然消失,依然有惊厥的话,则肯定是复杂性惊厥。
高热惊厥后要做以下检查
热性惊厥(高热惊厥)是排除性诊断,应与中枢神经系统感染、癫痫、中毒性脑病、代谢紊乱、急性中毒或遗传代谢病等其他病因所致的惊厥发作相鉴别。因此临床常需要检查:血常规、血生化(电解质、肝肾功能、血氨)等,腹泻者尤其夏秋季突发频繁惊厥者应检查粪常规,以鉴别中毒性细菌性痢疾等。
以下情况推荐脑脊液检查:
(1)有原因未明的嗜睡、呕吐或脑膜刺激征或病理征阳性;
(2)6-12月龄未接种流感疫苗、肺炎链球菌疫苗或预防接种史不详者;
(3)已使用抗生素治疗,特别是<18月龄者,因这个年龄段患儿脑膜炎、脑炎症状和体征不典型,且抗生素治疗可掩盖脑膜炎、脑炎症状;
(4)对于复杂性FS患儿应密切观察,必要时进行脑脊液检查,以除外中枢神经系统感染。
需要做脑电图和头颅CT或者磁共振吗?
以下特征均为继发癫病的危险因素,推荐进行脑电图检查与随访:局灶性发作、神经系统发育异常、一级亲属有特发性癫病病史、复杂性FS、惊厥发作次数多。
鉴于发热及惊厥发作后均可影响脑电图背景电活动,并可能出现非特异性慢波或异常放电,推荐在热退至少1周后检查。
以下情况推荐行头颅影像学检查寻找病因:头围异常、皮肤异常色素斑、局灶性神经体征、神经系统发育缺陷或惊厥发作后神经系统异常待续数小时。对于惊厥相关脑部病变的检出,通常磁共振成像( MRI) 较CT更敏感,但检查时间相对较长,对镇静要求高。
此文章仅作为临床学术研究、学术交流使用!
上一篇: To be or not to be?——蓝十字“卒中绿色通道”与死神抢生命 下一篇:ALARM:久坐会命丧黄泉吗?
2026年5月25日是世界预防中风日。脑卒中防治重在“早发现、早预...【详细】


