“三个月前我突然出现幻视、幻听的情况,尤其是当我一个人的时侯,常常觉得有人说话,并看到一些根本没有的东西。有一次我问老公怎么没把冰箱门关好,老公告诉我对面是一个柜子,当时连我自己都怀疑我精神出问题了,现在想想都后怕”,苏女士(化名)回忆道。
苏女士和老公不敢多想,之后她就诊于当地精神卫生中心,医生根据她的病症予以相关精神药物治疗,一周后,苏女士精神状况有所好转,但正在这时苏女士又出现了新的症状……
症状不断加剧 病因仍找不到
据患者丈夫卞先生(化名)介绍,他妻子苏女士曾是一名令人羡慕的空姐,最近几年由于年龄问题她才转到机场地勤从事培训工作,不用飞来飞去,工作倒也轻松。卞先生则是一名大学教授,工作稳定,女儿还在读大学也不用他们太操心,他们的生活还算幸福惬意,卞先生真没想到妻子会突然发病。
妻子突然出现幻视、幻听的情况,这突如其来的打击让卞先生措手不及,但他却没想到这只是妻子病发的开始。近十天卞先生发现,早晨起来他们的被子上、妻子嘴角上都有血迹,有时妻子舌头还有咬破的情况,“难道妻子真患有精神病?”卞先生心急如焚。
一波未平一波又起,没过多久苏女士又出现了新的症状,据卞先生描述当时他和妻子正在看电视,妻子突然四肢开始抽动,上下牙齿咬得紧紧的,两眼上翻,怎么叫都没反应,他立即拨打120送至最近医院。在该院进行了脑电图检查,结果却一无所获,还是没能查出病因,这可急坏了卞先生,妻子究竟得了什么病?
24小时立体定向脑电图(SEEG)监测,真凶现行——“癫痫”
两次就医都未能查出病因,这个可急坏了卞先生,为了寻求进一步治疗,2019年2月15日苏女士在丈夫的陪同下就诊于上海蓝十字脑科医院,神经内科3B病区主任戴秀珍接诊。戴主任发现,在整个就诊过程中,患者的主动性很差,整个过程都是其丈夫介绍病症、病史,而她始终不曾开口,戴主任便主动询问患者,只见她反应迟钝,并对四周陌生环境表现出恐惧和不安。戴秀珍主任根据患者目前表现出的主要症状和病史初步判断患者为1、抑郁性焦虑;2、癫痫病(需进一步检查确定),并收录于3B病区,完善相关检查,对其进行抗抑郁药物治疗及其他相关治疗。

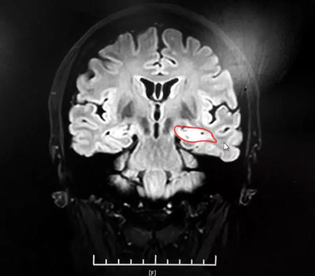
▲ 患者左侧海马病灶区
为了确定患者是否患有癫痫病,在入院的第一天苏女士就做了脑电图检查,但检查结果却差强人意,和患者第一次脑电图检查结果一样,并未发现患者任何异常情况;随后患者又进行了头颅MR检查,检查提示患者左侧海马异常。为了进一步明确病因,戴主任建议患者进行MR海马增强扫描:MRI平扫+MRS+MRSI,影像提示:1、患者左侧海马信号增高;2、MRS 双侧海马Cho峰稍升高(左侧NAA/Cr+Cho=0.42;右侧NAA/Cr+Cho=0.52),结合临床,以及检查结果,戴主任认为患者患癫痫病的几率非常大。

▲ 患者异常的波普图
在患者入院的第二天、第三天,患者连续两天突然出现“四肢抽动,两眼上翻,牙关紧闭,伴随意识丧失,持续约5分钟,之后恢复正常”的情况。为了进一步明确病灶,患者进行了24小时立体定向脑电图(SEEG)监测,据脑电图监测中心主任崔丽华介绍,在监测中发现患者脑部频繁放电,整个监测过程中连续发病了两次,是明显的癫痫症状,到此患者的病因终于确定——癫痫。“原来是癫痫病在作祟,要不还真以为妻子精神有问题,这下我们就放心了,这次多亏了戴主任”卞先生感激地说。
邀请杨忠旭博士会诊,强强联合治疗更全面
为了更好的确定治疗方案,戴秀珍主任邀请功能神经外科专家杨忠旭博士进行会诊,杨忠旭博士是蓝十字功能神经外科特需专家,他是癫痫外科创始人之一。经过专家会诊、讨论,并结合患者影像检查结果及立体脑电监测结果,都明确显示患者左侧海马信号增强,加之患者两次典型癫痫大发作症状,最终确定患者为复杂性癫痫,一致认为应先对其进行癫痫药物治疗,观察其治疗效果,如果药物控制不佳可考虑手术治疗癫痫。
根据会诊结果,戴主任决定对患者先进行药物治疗癫痫,并根据她的病症、病史给予合适的药物剂量,同时严密观察患者病情的发展变化。经过一个多月的精心治疗后,患者的情况明显好转,没有再出现之前“四肢抽动,两眼上翻,牙关紧闭……”的情况,幻视幻听的情况也随之消失了,患者精神状态也有了很大的改善,患者现在也乐意主动和别人说话了,见到戴主任更是激动得连连感谢,并说“我终于可以像正常人一样地生活,不用再担惊受怕了”。
看着渐渐恢复往日神采的妻子,卞先生更是感谢地说:“这次非常感谢蓝十字脑科医院,有如此专业负责的专家,戴主任不但经验丰富,检查更是认真仔细,及时找到了病因,妻子才能得到及时有效的治疗。”
癫痫常见4大症状,早发现早治疗!
戴主任提醒,由于人们对于癫痫病症状的认识不够,而容易造成延误治疗,只有清楚地了解癫痫病的常见症状,才能做到及时有效的治疗,从而减少癫痫对人体造成的伤害。癫痫常见四大症状:

癫痫大发作:患者突然意识丧失、口吐白沫、面色青紫、全身抽搐、四肢僵硬,有的伴有大小便失禁,对发病无记忆。
癫痫小发作:患者短暂意识丧失,言语活动突然中断,目光凝视、动作停止,发作后继续原来活动,癫痫发作持续小于10秒。
癫痫局限性发作:患者表现为局部或一侧肢体抽搐,如一侧口角、手指或足趾发作性抽动或感觉异常,可扩散至身体一侧或全身。
癫痫精神运动性发作:患者突然意识障碍,机械的做出一些无意识动作,如咂嘴、咀嚼、舔舌、叫喊、挣扎等,癫痫发作持续数小时或数天,清醒后毫无意识。
此文章仅作为临床学术研究、学术交流使用!
上一篇:ALARM:久坐会命丧黄泉吗? 下一篇:30岁女子想要二胎终不得 原来是垂体瘤在作祟
2026年5月25日是世界预防中风日。脑卒中防治重在“早发现、早预...【详细】


