5月20日,86岁的张先生(化名)急性脑梗,被家属紧急送至上海蓝十字脑科医院急诊科,在示范防治卒中中心组长张琪主任与急诊科医生的调度下,医院第一时间启动脑卒中急救绿色通道,多学科联合,分秒必争,DNT(Door to Needle Time —— 从患者入院急诊科到接受溶栓治疗时间) 仅用了29分钟,医护人员全力以赴与时间赛跑,绝不负生命之托......

分秒必争,为患者赢得更多宝贵时间
14:40 张先生被120急救车送达到医院急诊科,卒中小组组长张琪主任与急诊科医生接诊患者,此时张先生意识清晰,但言语不清,头晕伴肢体无力,体检双下肢肌力与右上肢肌力分别为4级,其NIHSS评分为:4分。张琪主任迅速作出判断,患者急性脑卒中可能性很大,于是立即启动脑卒中急救绿色通道。

▲ 时间就是大脑,分秒必争
14:41 急诊电话通知医学影像科医生做好准备,同时急诊科护士予以心电监护、氧气吸入、血压测量、急诊抽血送检、快速血糖及溶栓床测体重等。
14:48 医护人员已为患者开通两路静脉通道,随后,立即送医学影像科进行头部CT检查。
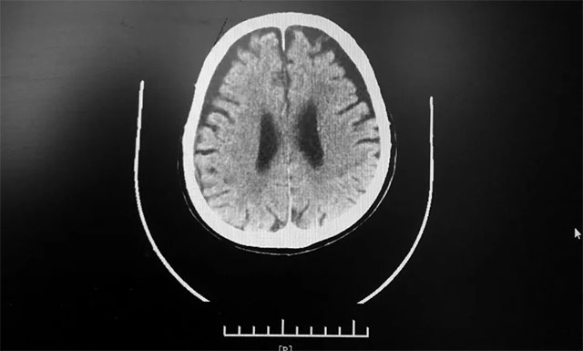
15:00 患者头部CT检查完成,影像科3分钟出报告,CT报告排除患者脑出血。根据影像学检查结果,并结合其有脑梗发病史,张琪主任判断患者为急性脑梗,发病时间为12:10分左右,还处于静脉溶栓治疗4.5小时的时间窗内,有溶栓治疗指征,可溶栓治疗,积极治疗血管有再通希望。

▲ 根据急诊CT影像结果,排除患者脑出血
15:06 第一时间告知患者家属,其具体病情与治疗方案,征得家属同意后,结合患者各项检查报告,张琪主任开出医嘱,护士根据之前所测患者体重进行配药。
15:09 随即在医学影像科,开始对患者进行静脉溶栓治疗,予阿替普酶4.2mg,一分钟静推,后继续泵入37.8mg行溶栓治疗。同时,为了进一步确定患者脑梗严重程度,排除大血管堵塞,又进行了CTA检查,并确定患者大血管未堵塞。一小时后查其NIHSS评分为:0分,患者头晕及肢体活动较前明显好转,行头颅CT排除溶栓后出血,并转入监护病房继续观察。
从急诊科接诊,到患者接受溶栓,急诊科、脑血管病科、影像科、检验科等多个科室“零等待”,发挥多学科联动优势,无缝对接,DNT用时为29分钟,为抢救患者的大脑功能赢得了宝贵时间。随后,患者病情稳定,已与5月22日,从监护病房转入神经内科普通病房,并进行脑梗的后续治疗。
发觉老伴不对劲,及时联系蓝十字医生
据患者张先生的老伴邓女士(化名)回忆,5月20日中午12:10左右,她和老伴正在养老院吃午饭,老伴手中的筷子突然滑落,捡起来又掉落,这样反复掉落了好几次,当时她就觉得老伴行为反常,建议他去医院看看,但老伴却说“没事,休息一下就好了”给搪塞过去了。
直到下午13:50左右,她与老伴在养老院散步,明显感觉老伴走路有些不稳,还出现语言不清的情况,加之老伴诉说自己头晕、肢体无力,邓女士便马上联系了上海蓝十字脑科医院4A病区副主任医师殷昌凤。
“根据您先生目前出现的临床症状,及之前的脑梗病史,新发脑梗可能性很大,现在应该还处在急性期,请您马上拨打120急救,赶紧送医院进行急诊救治,我会帮您联系好医院示范防治卒中中心医生的”,原来,张先生是殷昌凤主任的老病患了,殷主任对其病情了如指掌。
当天,殷昌凤主任虽不当班未在医院,但她想病患所想、急病患所急,马上电话联系了医院示范防治卒中中心组长张琪主任,并将患者的具体病情告知,随后张琪主任、示范防治卒中中心周林华医生及急诊科医护人员紧急待命,在急诊处等候患者到达。

▲ 第三天,殷主任查房探视患者肢体肌力明显改善、已无大碍
对于急性脑卒中患者来说,时间就是大脑,医生必须争分夺秒,张琪主任表示,患者张先生溶栓还是很及时的,国内将卒中患者从入院到溶栓开始的时间(DNT)定为1小时,而张先生整个过程用时为29分钟,其溶栓效果也比较好,现在其肢体肌力明显改善,右手握拳也很有力,言语已恢复正常。

▲ 看着可以紧握筷子的老伴,邓女士很是感激
“老伴脑梗已多年,只要他不舒服,我们就来蓝十字找李世平主任和殷主任,他们对老伴精心医治,出院时还会叮嘱,一定要小心摔倒和再次脑梗。这次老伴能够化险为夷,多亏了蓝十字的医护人员,真的非常感谢”,看到安然无恙的老伴,邓女士连连道谢。
一旦发生脑中风,必须牢牢把握黄金4.5小时
根据世界医学期刊中影响因子排名前列的知名期刊——《柳叶刀》(The Lancet)——数据统计显示:脑中风(学名脑卒中)已经成为中国人第一大死亡原因,且因其具有高发病率、高致残率、高复发率和高死亡率,给家庭及社会带来巨大的经济负担。而急性缺血性脑中风的发病率占脑中风发病率的70%左右,具有较高的发病率和致残率,应在时间窗内(4.5小时)尽早给予静脉溶栓,这是国内外临床指南推荐的针对急性缺血性脑中风的治疗方案。

张琪主任解释到,缺血性脑中风是由于血管内形成血栓凝块或者其他部分血栓脱落阻塞血管所致,治疗原则就是要尽可能早地溶解血栓,使血管再通,而4.5小时是其治疗的“黄金时间窗”。
由于脑组织对缺血和缺氧非常敏感,如果患者发生缺血性脑中风后,未得到及时救治,患者将以每分钟190万个神经元的速度丧失脑神经功能,尤其是当患者发病时间超过4.5小时候后,脑细胞就会出现不可逆转地死亡。
如果能在4.5小时内,对患者进行及时地静脉溶栓治疗,可有效溶解脑血栓,较大限度地恢复脑血液循环及缺血区血液供应,实现脑组织再灌注;较好地挽救因缺血而濒死的脑组织,减轻脑细胞的损伤,极大改善患者恢复的机会,减少或避免残疾的发生。

▲ 成为“示范防治卒中中心”
目前,上海蓝十字脑科医院已成立脑血管病科(7B病区),专门设立了脑卒中急诊,配置多名能独立完成静脉溶栓的卒中医生值班,另有2名具备独立开展取栓治疗能力的神经介入治疗师,可全天候(7天*24小时)待命。搭建了集院前急救、专科救治、院后管理为一体的多学科、多模式“脑卒中急救绿色通道”,该项目成功获评首批上海市“创新医疗服务品牌”,并成为国家卫健委脑防委 “示范防治卒中中心”。
“中风120”,让你快速识别脑中风
美国宾夕法尼亚大学刘仁玉教授和复旦大学附属闵行医院赵静教授以美国FAST(面Face,臂Arm,语言Speech,时间Time)中风宣教为基础,结合汉语特点,提出了适合中国人群进行脑中风快速识别的宣传口号——“中风120”。

•“1”代表“:看“1”张脸,脸上是否会出现不对称、口角歪斜的表现;
•“2”代表“:查“2”只胳膊,同时平行举起两只胳膊,是否会出现单侧无力;
•“0”代表“:(聆)听语言,是否会言语不清,表达困难。
脑中风一旦发病,具有危、急、重的特点,时间就是大脑,就是生命,在患者发病后,早期救治,一分钟、一秒钟都不能耽误。对照上图自查,只要有其中一项表现,就应赶快拨打120急救,尽快赶至具备脑中风救治条件的医院进行抢救,尤其是已建立“脑卒中急救绿色通道”的医院,以免延误治疗。
此文章仅作为临床学术研究、学术交流使用!
上一篇:精心医治 暖心护理——命运多舛的她致谢蓝十字放疗科 下一篇:“网购季”火热来袭 常熬夜 “血拼” 或患这病……
2026年5月25日是世界预防中风日。脑卒中防治重在“早发现、早预...【详细】


