一谈到脑瘤,很多人如同谈虎色变,如临大敌般,但很多肿瘤只要早发现早治疗,预后是乐观的。蔡先生(化名)三年间经常阵发性头晕头痛,开始他以为只是高血压导致的,没当回事。近期头痛加重,到医院被查出是脑膜瘤在作祟。最终经过上海蓝十字脑科神经外科李士其教授顺利为其手术切除肿瘤,术后恢复良好,很快便能康复出院。
脑膜瘤致头痛头晕3年
今年60出头的蔡先生来自浙江温州,一直以务农为生,闲时去工地打工。从三年前开始,身体一向还硬朗的他偶尔出现头晕头痛,由于自己患有高血压,他一直以为是血压波动导致的,而且情况并不是太严重,每次头痛发作只要稍微休息一下就能够缓解,所以他没告诉家人,自己也没放在心上。
从今年五月下旬开始,蔡先生发现自己头痛程度较之前加重了,偶尔伴有恶心不适感。他到当地医院检查时,被告知他的颅内可能长了肿瘤,这才导致他出现头痛头晕等情况。
一听到长了肿瘤,蔡先生和家人都慌了神,为谨慎起见,他们决定到上海寻求进一步诊断治疗,在亲友的推荐下,蔡先生来到上海蓝十字脑科医院。
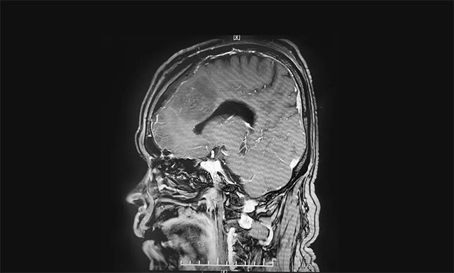
头颅MR显示,患者左侧额部大脑镰旁可见一块团状异常信号影,大小约2.2cm*2.1cm *2.6cm,伴有脑水肿。由神经外科6B病区主任潘仁龙、李士其教授、吴治群博士组成的专家组会诊后指出,患者颅内占位明确,根据影像学表现考虑为左侧额部大脑镰旁脑膜瘤。肿瘤的体积较大,相邻脑组织受压明显,应尽早接受手术治疗。

▲ 肿瘤位于左侧额部大脑镰旁
大多数脑膜瘤(90%)属于良性肿瘤,其余10%属于非典型或恶性肿瘤。在许多病例中,良性脑膜瘤生长缓慢。而大脑镰旁脑膜瘤是指位于大脑纵裂并与大脑镰相连的一类临床上常见的脑膜瘤,常突入一侧大脑半球内,有时可向双侧发展。
手术顺利切除大脑镰旁脑膜瘤
大脑镰是硬脑膜向大脑纵裂楔入的镰状皱襞,前端起于鸡冠,后端附着于小脑幕。其下缘游离,环绕胼胝体上方。在大脑镰上缘内含有上矢状窦,下缘内含下矢状窦,与小脑幕连接处有直窦。所以大脑镰这个位置是非常特殊的,而且其位置深在,由于肿瘤深埋于大脑纵裂内肿瘤显露比较困难,可操作空间狭窄,切除肿瘤必须跨过上矢状窦,容易损伤上矢状窦及功能区脑组织,具有较大手术风险和难度。

▲ 李士其教授正在为患者手术

▲ 术后影像显示肿瘤被切除
术前,神经外科团队制定了详实的手术方案。6月2日,在征得家属同意后,神经外科团队为患者进行了左侧额部大脑镰旁脑膜瘤切除手术。
术中可见肿瘤起源于大脑镰并跨越两侧,在显微镜下,李士其教授在吴治群博士、黄秀夫医生及医护团队协助下,凭借精湛的手术技巧和丰富的临床经验对肿瘤进行精细剥离。在充分保护好上矢状窦、中央区的静脉回流的前提下,经过5个多小时的手术,最终肿瘤被顺利切除。术后的病理结果显示是良性脑膜瘤。
目前,蔡先生正在康复中,四肢活动良好,再接受一段时间的住院治疗就能康复出院了。
大多数脑膜瘤是良性,预后良好
李士其教授介绍,脑膜瘤是起源于脑膜及脑膜间隙的衍生物,发病率占颅内肿瘤的19.2%,仅次于胶质瘤,居第2位。50%位于矢状窦旁,另大脑凸面、大脑镰旁者多见,其次为蝶骨嵴、鞍结节、嗅沟、小脑桥脑角与小脑幕等部位。脑膜瘤虽属于良性肿瘤,生长慢病程长,但其呈膨胀性生长,病人往往以头痛和癫痫为首发症状,还可能出现视力、视野、嗅觉或听觉障碍及肢体运动障碍等。
因脑膜瘤生长缓慢,等到发现时肿瘤往往长得很大,患者若忽视早期症状,可能会错过较佳治疗时机。若未及时治疗,患者病情将呈现进行性加重,会导致多种恶性循环因素,使病情迅速恶化甚至威胁生命。目前,手术切除脑膜瘤是首选的治疗手段;尤其随着显微手术技术的发展,手术切除脑膜瘤的成功率不断提高,使大多数患者得以康复。
此文章仅作为临床学术研究、学术交流使用!
上一篇:“网购季”火热来袭 常熬夜 “血拼” 或患这病…… 下一篇:他18岁突发“癫痫”,一查竟是颅内海绵状血管瘤!
2026年5月25日是世界预防中风日。脑卒中防治重在“早发现、早预...【详细】


