前言:不是所有的爱情都能一帆风顺,也不是所有的家庭都能美满幸福,生活有时就是充满艰辛和磨难的。在皖北一个普通的村庄,有这样一个真实发生的故事:一个身高不到1米3的70后男人,和一个正常身高,热情漂亮的90后姑娘,经历重重困难和阻力组建了家庭,然后又生下了健康可爱的儿子,他们度过风雨终于见到阳光,可是阳光过后又是阴雨……
因为一场车祸改变了一切。
“被卷入车下被拖行六七米,当时就昏迷不省人事,耳朵鼻子嘴巴都在出血,当时就被送到阜阳的一家医院,被诊断为重度颅脑损伤、左侧肋骨骨折、呼吸衰竭,到医院就住进重症监护室,上了呼吸机。”事发1年后,爸爸再说起儿子亮亮的车祸,仍然感到心有余悸。
天有不测风云
今年5岁的亮亮(化名)出生在皖北一个普通的村庄,活泼可爱的他是父母和家族的希望之光:因为他的爸爸和两个叔伯都是肢体残疾(侏儒),大伯有一个儿子,叔叔尚未成家,亮亮上面还有一个姐姐,有一个80多岁的老祖母。
虽说家境贫寒,但是全家人都非常宠爱亮亮。日子虽然平淡,倒也其乐融融。看着小伢儿一天天长大,上了幼儿园,真是让人欣慰。谁也不会想到意外来得如此突然,一年多之前亮亮在放学路上碰到的那场车祸,把整个家庭都推向了深渊。

不幸遭遇车祸后,亮亮的情况让人揪心
发生车祸之后,亮亮在阜阳某医院治疗一周后转到合肥,到了合肥,亮亮每天高烧,病情无法控制,只好又转到到上海。因为脑部出血、感染、积水积脓,在上海某医院做了脑室外引流手术。但是手术效果不好,亮亮术后一直处于昏迷状态,在ICU(重症监护室)待了很久,病情不见好转,只好从ICU转到普通病房,情况也越来越糟。
因为救治希望渺茫,加上治疗费用高昂,医生甚至劝说家人放弃治疗。身高不到1.3米的爸爸不相信儿子没救了,他一方面和妻子在医院做好陪护,一方面到处打听上海在治疗车祸脑外伤方面比较好的医院。
在“蓝十字”点燃希望
功夫不负有心人,当爸爸听说上海蓝十字脑科医院的侯增欣大夫在看诊脑外伤方面很出名时,抱着最后一线希望来到这里求助。
车祸昏迷74天后,亮亮来到了“蓝十字”。完善相关检查之后,神经外科主任侯增欣(政府特殊津贴专家)、原上海复旦大学附属华山医院神经外科专家潘仁龙主任,以及亮亮的主治医生副主任医师经过病情讨论会诊之后,给亮亮下的结论是:重型颅脑损伤、化脓性脑膜炎、脑积水、多发性骨折。侯增欣主任和其他专家一致认为:虽然亮亮的伤情严重,但治疗的希望还是有的。头颅MR显示:脑积水明确,各项检查完善,未见明显手术禁忌,可以开展“脑室-腹腔分流术”。

亮亮术前的磁共振影像显示:重度脑积水伴间质性脑水肿
手术前,侯主任召集本科室医生、麻醉科、脑电监测等相关医护人员进行了术前讨论,就手术中可能遇到的风险和问题进行了充分论述。由于患者伤情严重复杂,加上年龄较小,承受能力弱,所以手术可能出现全麻药物过敏,过敏性休克。术中和术后容易出现颅内出血,术后可能引发颅内感染,出现硬膜下积液,术后还有可能诱发癫痫发作等。对于这些有可能出现的问题和风险,各科室都谨慎做好了一切应对准备。
一切就绪之后,由侯增欣主任亲自主刀为亮亮开展全麻下行脑室腹腔分流术,手术历经1多小时,麻醉安全,手术顺利。患者出血约50毫升,术后返回重症监护室继续治疗。后期经过精心用药治疗和全方位护理,配合定期高压氧治疗,改善大脑功能。在大家的共同努力下,昏迷了240天的亮亮终于苏醒了。一开始意识不是很清楚,但是情况一天比一天好转,精神慢慢恢复,对光反应逐渐灵敏,并能进行简单对话。要知道,儿子每昏迷一天,父母的心就会多揪一天;揪心了8个月、眼睛熬得又红又肿的父母看到儿子醒来,喜极而泣,对侯主任的救命之恩不胜感激,特地送去锦旗致谢。

亮亮父母给侯增欣主任赠送的锦旗已挂在了锦旗墙

高压氧治疗,可以帮助亮亮改善脑代谢,恢复脑功能
“奇迹”是因为不放弃
为什么亮亮之前的治疗效果不佳,在“蓝十字”奇迹般地苏醒了?在神经外科领域工作30多年的侯增欣主任是这么说的:“仅仅常规的治疗是不够的,促醒是关键,因此,除了手术,我们还联合运用了高压氧及中医的针灸推拿等多学科多策略治疗方法,还有一个不能被忽略的就是我们更耐心,更细致,会全面分析患者的病情和各项体征,不放过任何细微之处,有一丁点希望都会全力救治。而他的父母也是很伟大的,这么艰难的求生之路,他们始终没有放弃,这让我们做医生的都很感动。在我看来:面对年龄比较小的患者,他们的大脑尚在发育过程中,就像亮亮这样的孩子,虽然错过了动手术的较佳时机,但恢复的希望还是有的,只要有希望,我们就不放弃。”

看看儿子的情况一天天好转,爸爸的心终于放下了
神志清醒之后,亮亮又在“蓝十字”做了后期康复治疗。由于在医院待得久了,不管是医生、护士还是护工都对这个孩子爱护有加,大家都期盼着他能早日康复。
亮亮虽然只有5岁,但是表现出了超强的毅力,经过积极努力的康复训练,他终于可以自己走路了。虽然走得还不太稳当,吐字也不清楚,但看到他进步这么大,不管是亲属还是医护人员,心里都乐开了花。

亮亮的康复让父母脸上重新展开了笑颜
渡到彼岸鲜花盛开
前不久,爸爸妈妈又带着正式出院三个月的亮亮前来复诊,检查结果显示亮亮头部的创伤正在痊愈,大脑在正常发育。亮亮见了医生、护士、护工就像见到了亲人,大家亲切地和亮亮打着招呼,抱他、哄他、逗他开心,还专门买了水果和零食送给他吃。经过侯增欣主任的复查之后,爸爸开心地说:“再康复休养两年,亮亮差不多就可以回学校上学了。”

亮亮与“蓝十字”医护人员亲如一家

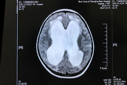
亮亮正式出院三个月后复查CT影像显示:慢性中度以上阻塞性脑积水,脑室分流术后改变
从一个在死亡边缘徘徊的小病号,到现在越来越接近正常的孩子,亮亮是“蓝十字”的奇迹,也是他自己的奇迹,是他父母不离不弃,陪他战斗到最后一刻的奇迹。尤其是作为一个5岁的孩子,亮亮身上没有一点傲娇的性格,他善良乖巧,有什么好吃的都会先分给别人,他和父母之间充满爱的交流时常令人动容。侯主任说:“亮亮在这么小的年纪就经历了这么多事,以后他可能会比同龄的孩子更聪明,更懂事。”

复查时,侯增欣主任在为亮亮细心检查

亮亮一个深情的吻,送给救命恩人侯增欣主任
看到这平凡又特殊的一家三口终于度过了阴霾,侯增欣主任和他的团队都感到非常欣慰和自豪,衷心祝愿他们今后的生活更加美满,全家人能永远幸福下去。
此文章仅作为临床学术研究、学术交流使用!
上一篇:十年震颤,最终消除 ——特发性震颤手术治疗 下一篇:DSA“血管艺术“让生命活力重新绽放 神经内科主任李振并成功手术救治大面积脑梗患者纪实
2026年5月25日是世界预防中风日。脑卒中防治重在“早发现、早预...【详细】


