近日,上海蓝十字脑科医院卒中中心运用多学科联合诊疗模式,完成一例左侧颈内动脉闭塞开通术+支架置入术,顺利打通大脑“生命线”,及时挽救了患者的生命,帮助他重拾健康生活。
“中风120口诀”救了命
王先生今年43岁,河南人,在上海从事保安工作多年,居住在上海蓝十字脑科医院附近联明路上一小区。有着20年吸烟史的王先生,日常一天半包烟,而且有高血压病史。7月5日早上,他突觉右手右腿“冰凉”,出现麻木感,对照“中风120”口诀,他怀疑自己中风了,遂直奔上海蓝十字脑科医院。

▲“中风120”口诀
经急诊检查,患者右侧肢体麻木。急诊科迅速作出判断,患者急性脑卒中可能性大,随即启动“脑卒中急救绿色通道”,进入脑卒中流程。查头颅MRI提示:急性分水岭梗死。
医院卒中中心专家张琪博士指出:从影像上看,患者左侧颈动脉已经完全闭塞,考虑是急性大血管闭塞。由于患者血管代偿较好,所以症状较轻,但是风险依然很大。对于大血管闭塞所致的急性脑卒中则并发症更多,残疾率、死亡率高,约60%-70%的病人住院期间病情会加重,死亡率20%左右。
打通大脑“生命线”
张琪博士团队对王先生的病情进行了详细、科学地论证和评估,认为其具有颈内动脉支架置入术指征。只是大血管闭塞性脑梗死患者,在早期介入治疗容易出现高灌注反应,造成患者水肿,甚至出血,手术具有一定风险。但如3周后择期手术,病情可能会持续加重,甚至死亡。
为及时挽救患者生命,在和家属充分沟通征得同意,并做好充分的术前准备后,张琪博士团队决定迎难而上,为王先生开展左侧颈内动脉闭塞开通术+支架置入术。

▲术前DSA影像:左侧颈内动脉眼动脉段以远闭塞

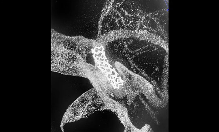
▲术后DSA影像:左侧颈内动脉血流恢复
术中脑血管造影可见:左侧颈内动脉眼动脉段以远闭塞……余血管未见明显异常。张琪博士在刘春、周林华、李喆医生协助下,通过右侧股动脉穿刺,将微导管、微导丝送达左侧大脑中动脉M1段,经多次抽吸+支架拉栓,顺利取出血栓。造影显示,颈内动脉眼动脉段血流恢复。
随后,微导丝超选至左侧大脑中动脉M1段远端,并以多枚球囊扩张残余重度狭窄处,造影提示狭窄较前明显改善,远端血流改善明显。最后顺利放入支架,造影提示支架贴壁良好,支架内血流通畅,远端血流良好,手术顺利完成。

▲手术中的张琪博士团队

▲手术中取出的血栓
术后,王先生恢复良好,肢体麻木感消失,目前正逐渐康复中。
警惕青年卒中 珍惜美好生活
青年脑卒中是指 45 岁以下(18-44岁)成人发生的卒中,占全部卒中的 5-15%。国内报道的青年卒中占全部卒中的 13.3%,在35-45岁年龄段,脑血管病的发病率男性为18/10万-142/10万,女性为23/10-95/10万。卒中呈年轻化趋势,且年轻化趋势越发明显,青年卒中的发病率越来越高,给个人、家庭和社会带来沉重负担。

▲ 工作中的张琪博士
张琪博士谈到,青年人因劳累、熬夜、吸烟,应酬多及生活作息没有规律等不良生活习惯,造成不少人年纪轻轻便出现“三高”症状(高血压、高血糖,高血脂)。另外,有心脑血管疾病家族史、体型肥胖以及长期抽烟、缺少运动和心理压力较大者,都属于心脑血管疾病的高危人群。这些人群都易患脑卒中。
此外,还有一些比较少见的危险因素,如脑血管畸形或先天发育异常、血管损伤、感染等,在一定程度上也会增加了青年卒中发生的可能。
预防卒中,日常生活中,青年人要尽量做到:
1、控制“三高”,即高血压、高血脂、高血糖;
2、保证良好的睡眠,规律作息;
3、健康饮食,多食水果蔬菜,少食高脂肪高热量食物;
4、坚持积极适度的体育锻炼;
5、戒烟限酒;
6、学会管理好自己的情绪,保持良好的精神状态。
最后,张琪博士提醒广大青年,如果突然出现一侧肢体无力、麻木;一侧面部麻木或口角歪斜;说话不清或理解语言困难;双眼向一侧凝视;单眼或双眼视物模糊、视力丧失;视物旋转或平衡障碍等症状,有可能是脑卒中先兆,应及早拨打120就近就医救治,以免错过治疗的最佳时机。
— 创新医疗 争分夺秒 —
上海蓝十字脑科医院示范防治卒中中心

▲国家“示范防治卒中中心”

▲“创新医疗服务品牌”
为响应国家卫健委脑防委“中国卒中中心”建设计划,探索卒中救治新模式,2017年,上海蓝十字脑科医院正式启动卒中中心建设,搭建集院前急救、专科救治、院后管理为一体的多学科、多模式“脑卒中急救绿色通道”, 以构建高效、高质的卒中绿道救治体系。
目前医院DNT平均时间为42分钟,最快21分钟;DPT平均时间为94分钟,最快58分钟;两项指标均达到国内先进水平。2019年,“卒中中心”获国家“示范防治卒中中心”称号,医院“脑卒中急救绿色通道”项目获上海市首批“创新医疗服务品牌”。
为了对卒中(中风)高危人群实施筛查和干预,降低中风发病风险,“卒中中心”自成立以来,秉承“走进社区,请进医院”的宗旨,借助科普讲座、咨询、发放科普折页、提供血压测量及颈动脉彩超筛查等形式和手段,为83个社区提供公益服务,2万余居民受益,赢得了社区和居民的一致好评。
数据来源:《人民资讯》(人民网人民科技官方账号)
此文章仅作为临床学术研究、学术交流使用!
上一篇:22岁男子突然四肢麻木“浑身疼” 竟是这种罕见病作祟 下一篇:25岁右眼失明、左眼0.1,被垂体瘤“封印”的心灵之窗
2026年5月25日是世界预防中风日。脑卒中防治重在“早发现、早预...【详细】


