颅内动脉瘤病程隐匿、起病突然,一旦破裂,致死致残率极高,堪称“不定时炸弹”。近期,医院神经外科6A病区医生团队通过介入治疗,及时为一位颅内动脉瘤患者排除了“险情”。
名副其实的“不定时炸弹”
“颅内动脉瘤,可以说是最危险的脑血管病之一。”医院神经外科学术副院长兼神经外科6A病区主任于耀宇介绍,颅内动脉瘤虽然名字带了“瘤”字,但并非实质性的肿瘤。它实际上是颅内动脉血管由于先天异常或后天损伤等因素导致局部的血管壁损害,在血流动力学负荷和其他因素作用下,逐渐扩张形成的异常膨出。

由于动脉瘤的瘤壁比正常的动脉管壁脆弱,一旦血压增高或局部血流冲力加大,往往容易发生破裂。“就好比出现了‘鼓包’的轮胎,当内压升高时,‘鼓包’位置就容易破裂而导致爆胎。”于主任形象地比喻道。

颅内动脉瘤一旦破裂,其危害性不容小觑。援引《颅内动脉瘤血管内介入治疗中国专家共识》的数据,颅内动脉瘤一旦破裂出血,致死致残率极高,其中10%~15%的患者来不及就医直接猝死,首次出血病死率高达35%,再次出血病死率则达60%~80%,幸存者亦多有残疾。加之颅内动脉瘤往往病程隐匿、起病突然,可谓名副其实的“不定时炸弹”。
康复期间频频头晕 DSA查出动脉瘤
脑出血恢复期的秦女士此前在外院治疗。近期,经亲友的推荐,来到上海蓝十字脑科医院接受进一步康复治疗。刚入院不久,她频频感到头晕,起床活动时尤其明显,整个人精神和饮食状况不佳。
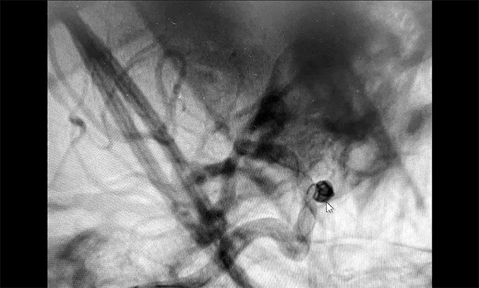
考虑脑出血后遗症可能,于耀宇主任为秦女士完善相关检查。通过DSA全脑血管造影检查,发现患者右侧颈内动脉眼动脉段动脉瘤形成,瘤囊直径约3mm,就像一颗长在动脉血管上的“葡萄”,里面充盈流淌着血液。

▲ DSA检查发现颅内动脉瘤
于主任介绍,眼动脉是眼眶及内容物最主要的血液供应,是颈内动脉主要分枝,也是交通颅内外血管的重要通道。该处是颈内动脉进入颅骨后的第一个主要分支,如果患者血管壁先天发育缺陷或有高血压等情况,在血流冲击下,容易形成动脉瘤。

▲ 脑出血示意图
随着病程进展,该位置的动脉瘤不仅可以产生眼睑下垂、视力下降、复视等神经压迫症状,还可因突然破裂出血造成剧烈头痛,引起严重的神经功能障碍,严重者可短时间内致患者昏迷,甚至死亡。
科学评估 介入治疗 及时“拆弹排险”
目前,临床上对于已破裂的颅内动脉瘤,一经确诊应积极采取手术治疗,防止动脉瘤再次破裂出血。而对于未破裂的动脉瘤,《颅内动脉瘤血管内介入治疗中国专家共识》明确,不论动脉瘤的大小,只要引起相关神经系统症状和体征,都应积极手术治疗。
颅内动脉瘤的手术治疗主要有开颅夹闭和血管内介入治疗两种方法,将动脉瘤隔绝在载瘤动脉血循环之外,从而达到防止其破裂出血的风险。临床决策中,需要根据患者自身情况和动脉瘤的特点,选择适宜的手术方法。
结合患者病情特点,神经外科6A病区于耀宇医生团队开展了科学严谨的评估后认为,患者颅内动脉瘤出血风险相对较高,应及时处理。考虑眼动脉动脉瘤手术存在操作空间狭小、暴露困难、容易损伤视神经等因素,更适合进行介入治疗。

▲动脉瘤栓塞

▲栓塞后,载瘤动脉血流通畅
在排除明显手术禁忌,告知患者家属手术风险并获得同意后,神经外科6A病区医生团队为秦女士开展了颅内动脉瘤栓塞手术。
术中,在微导丝的引导下将微导管头端小心送入动脉瘤腔内,之后顺着这个通路往动脉瘤内填塞弹簧圈,造影显示动脉瘤瘤内造影剂明显滞留,眼动脉(载瘤动脉)血流通畅。遂解脱弹簧圈并释放支架,再次造影,支架覆盖动脉瘤,贴壁良好。整台手术历时90分钟顺利完成,患者术后恢复情况良好。

▲ 于耀宇主任查房时与秦女士亲切交谈
于耀宇主任提醒,约90%的中小型颅内动脉瘤在未破裂出血前可无明显症状,少量患者可有反复轻微的头晕头痛发作,但其临床特异性不强。患者往往是由于动脉瘤压迫影响到邻近的神经,产生了相应症状就医检查时,才发现颅内动脉瘤的存在。
对于存在高血压等高危因素的人群,建议定期进行脑血管影像学检查。平时则应当对危险因素(如吸烟、饮酒等)加以控制,降低动脉瘤破裂的发生几率。
版权声明:部分图片源自摄图网,如有版权纠纷,请及时联系医院。一经查实,将立即删除。
此文章仅作为临床学术研究、学术交流使用!
上一篇:是“谁”偷走了老张的记忆?——罕见病甲基丙二酸血症 下一篇:六旬男子头晕伴视物重影 张静波主任抽丝剥茧确诊脑干梗死
2026年5月25日是世界预防中风日。脑卒中防治重在“早发现、早预...【详细】


