脑出血(ICH)又称“脑溢血”、“出血性卒中”,是指非外伤性脑实质内血管破裂引起的出血,是一种常见而又难治的疾病,占全部脑卒中的20%~30%。根据《中国脑出血诊疗规范(2021版)》,脑出血患者的致残、致死率较高,患者1个月死亡率高达35%~52%,6个月末仍有80%左右的存活患者遗留残疾,是中国居民死亡和残疾的主要原因之一。
患者徐老伯(化名)今年73岁。今年2月,其在打乒乓时,突感头晕伴左侧肢体活动不利,送医至就近医院。经查,患者右侧基底节出血、蛛网膜下腔出血,给予脱水降颅压等对症支持治疗。

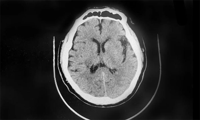
▲ 患者右侧基底节出血、蛛网膜下腔出血
病情平稳后,徐老伯来到上海蓝十字脑科医院【同济大学附属上海蓝十字脑科医院(筹)】寻求进一步治疗。5A神经内二科李振并主任、孔祥玉医生为患者完善查体,入院时,徐老伯神志清、精神稍萎靡、情绪不稳、记忆含糊不清及计算能力欠佳。伸舌右偏,左侧上下肢体肌力0级,左上肢外展上举时疼痛受限。
不期而至的脑出血虽然暂无性命之虞,仍然让年事已高的徐老伯失去了生活自理能力。生性要强的他不得不瘫卧在床,一度意志消沉,郁郁寡欢。
收治入院后,根据患者的病情特点,李振并主任和孔祥玉医生制定了以营养神经,改善促进脑代谢等对症药物支持治疗。期间,长期卧床的徐老伯患上了间质性肺炎。

▲ 经治疗,血肿逐渐吸收
肺炎是脑出血常见凶险的并发症,严重者可致命。李振并主任、孔祥玉医生立即为其开展了系统的抗感染治疗,李兰馨护士长带领的护理团队则对患者加强护理,密切关注患者体征变化。悉心专业的治疗和护理,很快帮助徐老伯度过了难关,也为患者康复打下了坚实的基础。
抓住“黄金康复期”患者恢复生活自理能力
对于脑出血患者来说,即使经过治疗,也可能遗留下一系列后遗症,如认知障碍、言语障碍和运动障碍等。此时,尽早进行科学系统的康复治疗,对降低后遗症的发生率和严重程度至关重要。
世界卫生组织(WHO)一项数据表明,早期康复治疗是经循环医学验证的,对降低残疾率是有效的方法。在包括脑出血在内的脑卒中幸存患者中,进行积极康复治疗,可使90%患者不同程度恢复步行和生活能力,30%患者恢复从事一些负担较轻的工作。
《自发性脑出血诊断治疗中国多学科专家共识》明确提出,急性脑出血后必须及早进行康复治疗,以提高患者的生活质量、防止复发。一般来说,患者生命体征平稳后即可开始康复治疗,发病后3个月是黄金康复期,6个月是有效康复期。康复治疗的方法包括:基础护理、保持抗痉挛体位、体位变换、肢体被动运动、床上翻身训练、桥式运动、坐位训练、站位训练、步行训练、日常生活功能训练(ADL训练)、语言功能的康复训练、心理康复治疗等。
孔祥玉医生邀请康复医学科开展会诊。康复医学科张敏主任、姚金荣主任等共同参加会诊,并对患者进行综合康复评估。
经量表评估,徐老伯Brunnstrom分期为:左上肢2期,左下肢2期,左手2期(注:Brunnstrom分期是中枢神经系统损伤后针对运动障碍的评估方法,分1-6期,数字越小提示偏瘫越重)。左侧上肢肌力0级,左下肢肌力0级。ADL评分40分,属于严重自理功能缺陷。Holden步行功能:0/V级,无步行功能……
针对徐老伯单侧肢体偏瘫,无法行走的困扰,康复医学科团队制定了渐进式的康复治疗方案:
首先在早期教会患者家属和护工床上良姿位摆放,尽可能避免肢体功能障碍进一步加重。
随后,循序渐进开展康复训练,诱发患者左侧上肢主动运动;躯干核心肌群训练(包括腹肌离心运动训练、翻身训练、桥式运动等);下肢训练: 步行训练等一系列针对性、专业性很强的康复治疗。

在五楼康复组长杨琴琴(主管技师)、物理治疗室(PT)肖冶平等悉心康复治疗下,徐老伯从左侧上肢逐渐恢复功能,到能自己坐起来,再到颤颤巍巍站起身、迈开步子……如今,他已经可以无人搀扶缓步行走,甚至自己扶着扶手上下楼梯了。
更重要的是,相较于刚入院时的消极沮丧,徐老伯的心态发生了积极的变化。重新回归到正常生活的希望被重新燃起,他变得乐观、自信和坚强。他深知,这一切的积极变化,离不开康复治疗师的努力和帮助。身高1米85,体重超140斤的徐老伯,对于身形瘦弱的肖冶平来说,要“保质保量”帮助这样的偏瘫患者完成每一个康复动作,都是体力和意志力的考验。“我刚开始练习走路,左腿软绵绵怎么也使不上劲,是小肖用自己的膝盖用力顶住我,几乎整个人的分量都压在她身上。”徐老伯动情地表示,看到小肖累得满头大汗的样子,更坚定了他一定要“尽快好起来”的决心。
7月底,经评估,徐老伯病情明显好转:左上肢肌力4+级,左下肢肌力5-级;Brunnstrom分期:左上肢5期,左手5期,左下肢5期,可独立行走,患者顺利出院。
出院前徐老伯和家人特意为李振并主任、孔祥玉医生、李兰馨护士长等5A医护团队,以及杨琴琴、肖冶平两位尽心尽责的康复治疗师送上两面精美的锦旗,为能在蓝十字脑科医院得到这样专业治疗和精心护理,得以重新回归生活、回归家庭、回归社会,表达最诚挚的感谢。
版权声明:部分图片源自摄图网,如有版权纠纷,请及时联系医院。一经查实,将立即删除。
此文章仅作为临床学术研究、学术交流使用!
上一篇:脊髓神经电刺激手术(SCS),为植物人苏醒带来新希望! 下一篇:外伤后一动就头晕,或是“耳石”脱落,这些人要注意
2026年5月25日是世界预防中风日。脑卒中防治重在“早发现、早预...【详细】


