提起“血液净化”,很多人也许都会说:这不就是血液透析嘛,是帮助尿毒症患者清除体内代谢废物的一种治疗方式。其实,血液净化作为治疗的一种技术,虽源于肾脏病的血液透析,但其应用范围已经远远超出肾脏病。
血浆吸附作为一种成熟的血液净化技术,已广泛用于治疗多种自身免疫介导的神经系统疾病,如格林巴利综合征、自身免疫性脑炎、多发性硬化、视神经脊髓炎谱系病、重症肌无力等,在这些疾病的国际专家共识、指南推荐中,血浆吸附为这类疾病急性期一线治疗的手段之一。
上海蓝十字脑科医院【同济大学附属上海蓝十字脑科医院(筹)】神经内科始终砥砺前行,深化内涵建设,以“323学科建设计划”为引领,广泛运用新技术、新项目打造服务和技术特色,自2021年开始,应用血浆吸附治疗神经免疫性疾病,截至目前已经治疗了众多患者,为人民群众筑牢医疗保障网络,增进患者福祉。

▲ CRRT系统
频繁癫痫精神运动性发作,最终确诊自身免疫性脑炎
患者老张在入院前两个多月,突然频繁癫痫发作,如在情绪激动后出现发作性上肢抽动、摸索样动作伴身体转动;不能完全回忆发作时情形,无规律性;同时自言自语,语无伦次,别人听不懂其讲话内容,每次持续约10秒左右自行缓解,每天发作约3-6次,多于夜间发作;发作时无双眼上翻、口吐白沫、四肢强直等症状。
在当地医院就诊后,被诊断为癫痫,给予抗癫痫药物治疗,但是症状没有缓解,仍然反复发作。辗转多家医院,都诊断为癫痫,经过多次调整抗癫痫药物,言语错乱症状有所缓解,但仍有发作性上肢痉挛,加大药量后,仍然不能控制癫痫发作。之后,老张辗转慕名求医于对神经系统疑难疾病有丰富经验的上海蓝十字脑科医院7A神经内三科张静波主任。
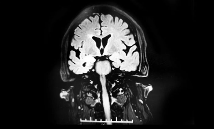
结合患者症状、病史,张静波主任考虑并不是单纯癫痫发作那么简单。头颅核磁平扫、增强没有发现问题,但是海马核磁检查发现异常:双侧海马萎缩,右侧为著伴右侧海马信号增高,需要考虑炎症、免疫、肿瘤等多种可能。
之后,脑电图检查发现双侧颞叶都有异常癫痫波,张静波主任进一步考虑自身免疫性脑炎可能性大。随后,腰穿及脑脊液检查印证了张静波主任的判断,脑脊液化验结果提示:自身免疫性脑炎16项(脑脊液):LGI1-IgG(脑脊液):1:10(+);自身免疫性脑炎16项(血清):LGI1-IgG(血清)1:100(+),确诊LGI1相关自身免疫性脑炎。张静波主任表示,自身免疫性脑炎导致的癫痫发作,通常称为自免性癫痫,单纯抗癫痫药物是无法控制的,这也是为什么之前患者多次调整抗癫痫药物,但是癫痫还是频繁发作的原因。

▲ 海马核磁检查发现异常:双侧海马萎缩,右侧为著伴右侧海马信号增高
五次血浆吸附后,“重获新生”
有了证据,找到了明确的病因,在张静波主任的指导下,立即开始治疗。在8A神经内六科张庆成主任团队的协助下开启了血浆吸附治疗,用血浆吸附把患者血清里的抗体逐一清除。5五次血浆吸附之后再结合激素治疗,老张的癫痫不再发作,言语也恢复正常,最终顺利康复出院。
张静波主任介绍,自身免疫性脑炎是一类自身免疫机制介导的针对中枢神经系统抗原产生免疫反应所导致的脑炎,占所有脑炎病例的10%~20%,急性或亚急性起病,临床主要表现为精神行为异常、认知功能障碍和急性或亚急性发作的癫痫等。自身免疫性脑炎是一种中枢神经系统炎性疾病,主要与自身免疫反应有关,中枢系统自身抗原被误认为外来抗原受到攻击,产生自身特异性抗体,引起的脑炎。
张静波主任表示,自身免疫性脑炎主要治疗手段是抑制亢进的免疫功能,可采用丙种球蛋白、激素、免疫抑制剂及血浆吸附,但其中激素、免疫抑制药物长期应用会带来很大副作用,而血浆吸附治疗是一种特异性免疫治疗,针对性强,没有副作用,让病人远离药物带来的不良反应,疗效显著。并且,该项目已纳入医保。

▲ 血浆吸附治疗
血浆吸附的适应证不断扩大
张庆成主任介绍,上海蓝十字脑科医院配备的费森尤斯重症医疗系统multiFiltratePRO是全新一代的CRRT设备。CRRT的主要治疗模式包括:连续静脉-静脉血液滤过(CVVH)、连续静脉-静脉血液透析(CVVHD)、连续静脉-静脉血液透析滤过(CVVHDF)、缓慢连续超滤(slow continuous ultrafiltration, SCUF)、连续性血浆滤过吸附(CPFA)、内毒素吸附、血浆置换(PE)、双膜血浆置换(DFPP)。该技术与机械通气、体外膜肺合成并称为为危重病人的“三大生命支持技术”,是做好危重症病人救治的坚强保障。
血浆吸附是将高度特异性的抗原、抗体或有特定物理化学亲和力的物质(配体)与吸附材料(载体)结合制成吸附剂(柱),选择性或特异地清除血液中内源性和外源性致病因子的血液净化技术。
血浆吸附是从最初的单纯血浆置换发展而来的,从血浆置换发展到DFPP,再发展到血浆吸附。血浆吸附对血液中致病因子清除的选择性、完全性、特异性更高,并且回输给患者的是自身血浆,减低了过敏、输血相关性疾病、低钙血症等不良反应发生率。此外,血浆吸附不影响同时进行的药物治疗,耗材少。
张庆成主任表示,随着疾病发生机制的不断阐明,生物材料、技术的革新及临床实践,血浆吸附的适应证逐渐扩大,广泛用于神经病学、血液病学、肾脏病学、风湿性免疫疾病及代谢紊乱性疾病等多种临床疾病的治疗。
血浆吸附的适应症有哪些?
01、免疫性神经系统疾病
急性炎症性脱髓鞘性多发性神经病、多发性硬化、慢性炎症性脱髓鞘性多发性神经病、重症肌无力、抗 N-甲基-D-天冬氨酸受体脑炎、视神经脊髓炎谱系疾病、神经系统副肿瘤综合征、激素抵抗的急性播散性脑脊髓炎、桥本脑病、儿童链球菌感染相关性自身免疫性神经精神障碍、植烷酸贮积症、电压门控钾通道复合物相关抗体自身免疫性脑炎、复杂性区域疼痛综合征、僵人综合征等。
02、肾脏疾病
ANCA 相关的急进性肾小球肾炎、抗肾小球基底膜病、肾移植术后复发局灶节段性肾小球硬化症、骨髓瘤性肾病、新月体IgA 肾病、新月体性紫癜性肾炎、重症狼疮性肾炎等。
03、风湿免疫性疾病
重症系统性红斑狼疮、乙型肝炎病毒相关性结节性多动脉炎、嗜酸性粒细胞肉芽肿性血管炎、重症过敏性紫癜、抗磷脂抗体综合征、白塞病等。
04、消化系统疾病
急性肝衰竭、重症肝炎、肝性脑病、胆汁淤积性肝病、高胆红素血症等。
05、血液系统疾病
血栓性微血管病、冷球蛋白血症、高黏度单克隆丙球蛋白病、多发性骨髓瘤(伴高黏滞综合征)、自身免疫性溶血性贫血、溶血尿毒症综合征、新生儿溶血性疾病、输血后紫癜、肝素诱发的血小板减少症、难治性免疫性血小板减少症、血友病、纯红细胞再生障碍性贫血、噬血细胞综合征、巨噬细胞活化综合征等。
06、器官移植
器官移植前去除抗体(ABO血型不相容移植、免疫高致敏受者移植 等)、器官移植后排斥反应等。
07、自身免疫性皮肤疾病
大疱性皮肤病、天疱疮、中毒性表皮坏死松解症、硬皮病、特异性皮炎、特异性湿疹等。
08、代谢性疾病
家族性高胆固醇血症和高脂蛋白血症等。
09、药物、毒物中毒方面
药物中毒(与蛋白结合率高的抗抑郁药物、洋地黄药物中毒等)、 毒蕈中毒、动物毒液(蛇毒、蜘蛛毒、蝎子毒等)中毒等。
10、其他
肝豆状核变性(威尔逊病)、干性年龄相关性黄斑变性、特发性扩张型心肌病、突发性感音神经性聋、新生儿狼疮性心脏病、甲状腺危象、脓毒血症致多器官功能衰竭等。
血浆吸附的禁忌症是什么?
无绝对禁忌证。
相对禁忌证包括:
1、对血浆、人血白蛋白、肝素、血浆分离器、透析管路等有严重过敏史。
2、药物难以纠正的全身循环衰竭。
3、非稳定期的心肌梗死或缺血性脑卒中。
4、颅内出血或重度脑水肿伴有脑疝。
5、存在精神障碍而不能很好配合治疗者。
此文章仅作为临床学术研究、学术交流使用!
上一篇:外伤后一动就头晕,或是“耳石”脱落,这些人要注意 下一篇:关节疼痛患者的新希望——富血小板血浆(PRP)治疗技术
2026年5月25日是世界预防中风日。脑卒中防治重在“早发现、早预...【详细】


