在疫情防控常态化后,近日,又一名急性卒中患者籍由“脑卒中急救绿色通道”争分夺秒,与生死竞速,最终成功实施经皮颅内动脉取栓术+右侧大脑中动脉狭窄球囊扩张及支架置入术,获得及时救治。
惊险!行车途中突发急性卒中
脑卒中是我国人口死亡首因之一,急性脑梗死约占全部脑卒中的80%,其中颅内大血管闭塞导致的急性大面积脑梗死往往病情十分凶险,致残率致死率极高,严重威胁患者生命及生活质量。57岁的老王就是一名“受害者”。

▲ 行车途中身体不受控制
老王是一名出租车司机,经常跑夜车,有长期吸烟史和15年高血压病史,一直在规律服药。8月31日上午11点,行车途中突然自觉左手不听使唤。“想打方向,但左手就是使不上劲!”回想当时的情景,老王依然心有余悸。
靠边停车后,老王想是不是夜车跑累着了,没休息好的缘故,就提早收工回家休息了。结果,一直到下午四点左右情况也没见好转,结果还出现嘴歪、言语不清的症状。“吃了点麻花,喝了点水都呛出来了”。家人见情况不妙,当即拨打120,把老王送到了上海蓝十字脑科医院。
急性大血管闭塞 病情十分凶险
经急诊检查,老王左侧肢体活动不利,言语含糊,嘴歪,且2020年曾发生过脑梗,有脑梗病史。急诊科迅速作出研判,急性脑卒中可能性大,当即启动“脑卒中急救绿色通道”,进入脑卒中流程。
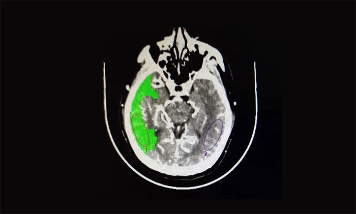
医院脑血管病病区主任张琪博士指出,患者从症状上看考虑急性大血管闭塞。急诊头颅CT平扫提示:右侧枕顶叶低密度灶;头颅CTA提示:右侧大脑中动脉M1段节段型重度狭窄;头颅CTP:右侧大脑半球脑组织灌注不足,存在缺血半暗带。

▲ CTA提示:右侧大脑中动脉M1段节段型重度狭窄

▲ 头颅CTP:右侧大脑半球脑组织灌注不足
综合患者病史和影像检查,诊断为:急性脑梗死(右侧大脑中动脉闭塞),如果不做手术,患者右侧大脑半球将大面积脑梗死,死亡率极高,病情十分凶险。在跟家属沟通并征得同意后,张琪博士决定为其实施血管内介入治疗。
紧急介入取栓 与时间赛跑
术中,经右侧桡动脉穿刺行全脑血管造影可见,右侧大脑中动脉MI段重度狭窄,约90%,远端血流缓慢,左侧椎动脉起始段迂曲,基底动脉冗扩。考虑患者反复出现脑梗死与右侧大脑中动脉狭窄有关,且其它血管对右侧大脑中动脉供血区域基本无代偿,一旦发生大脑中动脉闭塞将发生严重后果。遂决定行右侧大脑中动脉M1段球囊扩张术及取栓术。

▲ 张琪博士团队正在手术中
患者血管迂曲,张琪博士在周林华医生协助下,经过多次尝试后,微导管、微导丝终于成功到达狭窄部位,顺利进行球囊扩张并以支架拉栓,30分钟后再次行造影提示右侧大脑中动脉M1段无明显改善,遂决定行右侧大脑中动脉支架置入术。
支架导管到位右侧大脑中动脉M2段上干,随后经微导管顺利置入支架,造影见支架贴壁良好,完全覆盖狭窄段,狭窄改善明显,支架内血流通畅,远端血流良好,手术顺利完成。

▲ 术前DSA影像:右侧大脑中动脉MI段重度狭窄

▲ 术后DSA影像:右侧大脑中动脉血流恢复
术后,患者意识清楚,语言流利,左上肢无力感消失,四肢活动自如,由于经桡动脉造影,术后即可下床行走,无需制动24小时。复查颅脑CT未见出血及新发梗死,目前患者正在康复中。
值得临床推广的经桡动脉穿刺造影术
自2019年开始,上海蓝十字脑科医院脑血管病病区就在张琪博士的带领下,尝试开展经桡动脉插管全脑动脉造影术。
常规全脑血管造影术(DSA术)主要经股动脉穿刺进行,虽然效果良好,但患者术后需要卧床休养,下肢制动24小时。这就不可避免地给患者带来腰酸背痛、行动不便等糟糕的就诊体验。
经桡动脉穿刺全脑血管造影术与常规DSA股动脉入路相比,具有损伤小、出血少、恢复快、路径短、并发症发生率低、卧床时间短或无需卧床休息等优点。患者就诊体验好,接受程度高。
虽然与常规DSA相比,经桡动脉全脑血管造影在手术技术方面上具有一定的难度,但上海蓝十字脑科医院脑血管病病区秉承优质服务理念,勇于攀登,不断求新,截至目前累计已完成百余例该类手术。极大地减轻了患者术后的痛苦,缩短了住院时间,赢得了广大患者及家属一致好评。
— 创新医疗服务 救治争分夺秒 —
上海蓝十字脑科医院“示范防治卒中中心”

▲ 国家“示范防治卒中中心”

▲ “创新医疗服务品牌”
为了响应国家卫健委脑防委“中国卒中中心”建设计划,探索卒中救治新模式,2017年,上海蓝十字脑科医院正式启动卒中救治项目建设,搭建集院前急救、专科救治、院后管理为一体的多学科、多模式“脑卒中急救绿色通道”, 以构建高效、高质的卒中绿道救治体系。目前医院DNT平均时间为42分钟,最快21分钟;DPT平均时间为94分钟,最快58分钟。两项指标均达到国内先进水平。
“患者至上,质量为先”。凭借着过硬的医疗技术、先进的设施设备、合理的空间布局和便捷的就诊流程,医院被国家卫健委脑防委评为“示范防治卒中中心”,“脑卒中急救绿色通道”更获得上海市首批“创新医疗服务品牌”称号。
为了对卒中(中风)高危人群实施筛查和干预,降低中风发病风险,“示范防治卒中中心”积极承担社会责任,以“走进社区,请进医院”为宗旨,借助科普讲座、咨询、发放科普折页、提供血压测量及颈动脉彩超筛查等形式和手段,为83个社区提供公益服务,惠及2万余位居民,受到了社会各界的广泛赞誉。
版权声明:部分图片源自摄图网,如有版权纠纷,请及时联系医院。一经查实,将立即删除。
此文章仅作为临床学术研究、学术交流使用!
上一篇:“铁军”无畏 神经外科于耀宇团队连战5台高难手术 下一篇:优质服务 | 精心救治下 退休女教师成功走出脑血管意外的阴霾
2026年5月25日是世界预防中风日。脑卒中防治重在“早发现、早预...【详细】


