从接到病危通知书的无助,到转院救治重获新生的喜悦,刚过去的国庆节长假,对于55岁的赵先生一家来说,可谓刻骨铭心。
长期在外务工的赵先生是家里的顶梁柱。9月26日,不幸发生意外,在工地上不慎从高处跌落,头部重重着地,被紧急送往当地县医院救治。
刚跌落时,赵先生并未昏迷,但言语不清,讲话颠三倒四、逻辑混乱。在医院就诊过程中,渐渐神志不清,意识模糊。
检查头颅CT显示,颅脑损伤严重,病情危急。当地医院立即行急诊外科手术,但术后效果不佳。9月30日又突发呼吸衰竭,遂行气管切开,仍处于昏迷状态,并向家属下达了病危通知书。

▲患者紧急进行了手术
眼见原本生龙活虎的丈夫只能靠呼吸机维持生命,赵先生的妻女不甘心就此向命运妥协,到上海为丈夫寻求更好的治疗。
10月3日,家属一行不辞辛苦风尘仆仆辗转三百多公里路,慕名来到上海蓝十字脑科医院为赵先生寻求进一步治疗。
国庆长假期间,我院坚守岗位的神经内科重症监护病房张庆成主任对赵先生作了详细地入院检查:意识昏迷,气管切开,肺部感染严重。同时,头部明显肿胀,颅内血肿并未完全清除,颅压较高,中线移位,不排除颅内感染的可能。
10月4日,经与神经外科6A病区侯增欣主任会诊后认为,患者赵先生右侧硬脑膜下血肿虽已清除,但CT检查显示其左侧硬脑膜下仍存在较大面积血肿,颅内压高,非常危险随时形成脑疝,必须马上手术。

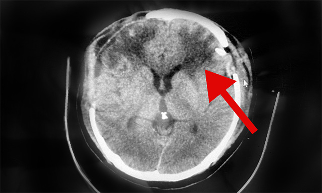
▲术后CT示:患者左侧脑内血肿已清除
在明确告知患者家属手术风险并获得签字同意后,侯增欣主任于10月4日中午在全麻状态下为赵先生进行了脑内血肿清除手术。
随着穿刺针的插入,暗红色血性液体开始沿导管涌出,共引流约40ml,手术进展顺利。术后,随着麻醉苏醒,赵先生睁开了眼睛。
在高空坠落昏迷一周后,原本已告病危的赵先生终于醒了,眼见赵先生重燃生命的希望曙光,家属也喜出望外。

▲术后,侯增欣主任为赵先生查体
目前,苏醒后的赵先生正在医院6A病区进一步观察治疗,其病情已趋于平稳,肢体运动等各项神经功能也正在逐渐恢复中。

2026年5月25日是世界预防中风日。脑卒中防治重在“早发现、早预...【详细】


