“老姚,老姚,现在不要睡了,我来给你拔针了,有点疼,你忍着点,很快就好了。”李振并主任(副主任医师)一边安慰患者,一边熟练的消毒、铺巾、拔针、缝合、贴保护敷料,虽然患者痛的脸色都变了,但还是很好的配合医生完成了这次操作。

一系列操作一气呵成
为什么不用麻药
躺在病床上,被李振并主任亲切的称为“老姚”的病人是一名脑出血患者,这是在做完“颅内血肿微创清除术”3天后,李主任来为他拔除穿刺针。在被问到为什么不给患者用麻药时,李主任笑着说:“用麻药是扎一针,不用麻药也是一针(缝合针)的疼痛,再说打麻醉也有一点风险,所以能不用就不用了。”
在拔针之前,李主任将引流袋展示给编辑看——里面是暗红色的血液(由固态血肿液化成的混悬液),让人触目惊心。

“颅内血肿微创清除术”将血肿成功排出体外
现在老姚正在积极的做康复,恢复肢体功能,术后的浮肿也消失了。说起自己治病的经历,他能咯咯的笑出声来,并表示以后即使有人拿枪指着他,他也不喝酒了。你能想象一个多月前,他刚到医院时的情况是怎样的吗?

在康复师的帮助下,老姚正在积极锻炼
病情来势汹汹
高血压三级、冠心病、房颤、大面积脑梗死,左侧偏瘫、昏迷、肺部感染...爱人回到家,发现老姚昏倒在地,立马叫车将他送到蓝十字脑科医院。住院后,在李振并主任(神经内科5病区主任)的安排下,立即检查CT,右侧大脑半球大面积低密度影,考虑大面积脑梗死。又做MRI(磁共振成像)和MRA(脑血管磁共振成像),提示右侧大额颞叶,顶叶,枕叶大面积梗死,右侧大脑中动脉闭塞,病人处于昏迷状态,情况非常危急。

术前血管磁共振:右侧额叶、颞叶及基底节区大片脑梗塞,脑动脉硬化,右侧大脑中动脉闭塞(光标指向处)
因为高血压和动脉硬化,老姚出现了脑出血,颅压高,中线移位,随时有生命危险... 这样的病人,一方面大面积梗死,另一方面,大量出血,一般医生都会束手无策,因为既不能溶栓,又不能止血,治疗困难重重。
面对来势汹汹的病情,看着命悬一线的患者,李振并主任着即组织相关科室专家进行了会诊讨论。“蓝十字”神经内科李世平主任、戴秀珍主任等各位专家认为:患者情况不乐观,但还是可以做手术的。只是考虑患者年纪稍大(59岁),而且并发疾病较多,已不适合做开颅手术,所以尽快开展“颅内血肿微创清除术”才是良策。

术前CT:右侧基底节区大量出血,血肿破入脑室系统,右侧高颅压。
家属将生命托付
“成功的希望只有一半,不过我还是希望能给患者做这个手术。” 会诊后,李振并主任将情况如实告诉家属。没想到家属抓着李主任的手说:“主任,求您给他治一治。我们知道这次是凶多吉少,但只要有希望,我们就不放弃。”
得到家属的同意,9月11日下午,在九楼手术室,李振并主任为老姚做了“颅内血肿微创清除术”,手术不但及时清除了血肿,解决了颅内高压,而且减轻了血液分解物对脑组织的破坏,让病残率大大降低。

李振并主任在手术中
“颅内血肿微创清除术”是在CT引导下定位,使用一次性颅内血肿粉碎穿刺针穿刺颅内血肿,辅以生化酶血肿液化技术对血肿进行液化。这种技术的优势在于:治疗过程安全,不需开颅,仅需在颅骨上钻一个直径3mm的小孔,对患者大脑损伤小。并可快速清除血肿,手术时间短,患者康复快,治疗预后好。

术后CT:右侧额颞枕叶梗塞伴右侧基底节区出血吸收中,皮层血供再通,较前好转

“颅内血肿微创清除术”所用的特殊穿刺针
对自己的健康负责
其实,这是老姚第三次来到李振并主任这里看病。老姚患有高血压和脑梗病史多年,前两次发病,症状轻,住院几天就好了。性格豪爽的老姚认为自己身体很棒,出院后不顾医生叮嘱和家人劝阻,依旧经常和朋友一起喝酒,每天白酒啤酒,快意人生,却没想到巨大的危险正潜伏在他的生命中。
现在李振并主任成功将危险解除,老姚术后恢复良好,家属也松了一口气。李主任告诉编辑:像老姚这么严重的情况,现在能恢复的这么好,可以说是一个奇迹。再过一段时间,还会建议患者做支架植入(治疗脑梗)。患者这次是捡回了一条命,非常不易,希望把他以后能好好珍惜健康,不要再拿生命开玩笑。

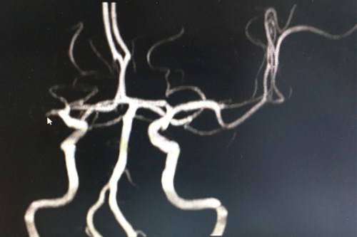
术后DSA血管造影:右侧大脑中动脉开通,并且中度狭窄(光标指向处)

正在做康复训练的老姚做出了胜利的手势
相关科普:脑出血疾病知识
脑出血又称脑溢血。发病年龄多在50-60岁,但30-40岁的高血压患者也可发病。脑出血不仅患病率高,死亡率也高,在所有脑血管病中,脑出血的死亡率位居榜首。
李振并主任介绍说:脑出血发病急促,往往会在发病数小时或几天之内夺走患者的生命。其实,在脑出血发病之前,是有一些先兆表现的。比如:经常出现反复性的流鼻血。突然发作较为剧烈的头痛头晕,并伴有恶心、呕吐的症状表现。突然出现口齿不清,听不懂别人所说的话。神志不清醒,大小便失禁。眼睛有重影出现,颈部变得僵直。走路不稳定,身体一侧通常会感到麻木、乏力、不能灵活运动,手持物掉落,嘴歪,流口水。原因不明的困倦、嗜睡现象等,—定要高度重视,很可能是缺血性中风的先兆。此外还会有手指麻木、原因不明跌倒等症状。若能仔细观察,及时发现异常,并尽快到医院治疗,可有效控制疾病发展。
而戒烟限酒、控制反式脂肪摄入,多素少荤、低盐饮食,心态平衡,适度运动等,是很好的预防高血压和脑出血的健康生活方式。
此文章仅作为临床学术研究、学术交流使用!
上一篇:唤醒“植物人” 救助郑元齐 ——爱心助力 专家汇聚 让生命燃起新的希望 下一篇:DSA血管栓塞术+脑瘤切除术 巨大脑膜瘤被成功摘除
3月16日上午,第十三届芝加哥大学医学中心—同济大学附属蓝十字...【详细】


